Computed tomography and magnetic resonance imaging findings of intracranial and extracranial meningioma with perineural spread through the foramen rotundum: A case report.

IF 1.3 Q3 RADIOLOGY, NUCLEAR MEDICINE & MEDICAL IMAGING
Journal of Clinical Imaging Science Pub Date : 2024-09-23 eCollection Date: 2024-01-01 DOI:10.25259/JCIS_97_2024
Taketo Suto, Hiroki Kato, Takenori Ogawa, Masayuki Matsuo
{"title":"Computed tomography and magnetic resonance imaging findings of intracranial and extracranial meningioma with perineural spread through the foramen rotundum: A case report.","authors":"Taketo Suto, Hiroki Kato, Takenori Ogawa, Masayuki Matsuo","doi":"10.25259/JCIS_97_2024","DOIUrl":null,"url":null,"abstract":"<p><p>We report a case of a 73-year-old woman presenting with intracranial and extracranial meningioma with perineural spread crossing the foramen rotundum and pterygopalatine fossa, primarily along the maxillary nerve. She visited our hospital with the chief complaint of the left cheek swelling. Subsequent magnetic resonance imaging revealed a well-demarcated mass containing intracranial (cavernous sinus, Meckel's cave, and middle cranial fossa) and extracranial components (pterygopalatine fossa, orbit, nasal cavity, ethmoid and sphenoid sinuses, infratemporal fossa, and buccal space) through the foramen rotundum. A biopsy specimen was obtained from the cheek mass, and the histopathological diagnosis was meningothelial meningioma.</p>","PeriodicalId":15512,"journal":{"name":"Journal of Clinical Imaging Science","volume":"14 ","pages":"36"},"PeriodicalIF":1.3000,"publicationDate":"2024-09-23","publicationTypes":"Journal Article","fieldsOfStudy":null,"isOpenAccess":false,"openAccessPdf":"https://www.ncbi.nlm.nih.gov/pmc/articles/PMC11450496/pdf/","citationCount":"0","resultStr":null,"platform":"Semanticscholar","paperid":null,"PeriodicalName":"Journal of Clinical Imaging Science","FirstCategoryId":"1085","ListUrlMain":"https://doi.org/10.25259/JCIS_97_2024","RegionNum":0,"RegionCategory":null,"ArticlePicture":[],"TitleCN":null,"AbstractTextCN":null,"PMCID":null,"EPubDate":"2024/1/1 0:00:00","PubModel":"eCollection","JCR":"Q3","JCRName":"RADIOLOGY, NUCLEAR MEDICINE & MEDICAL IMAGING","Score":null,"Total":0}
引用次数: 0

Abstract

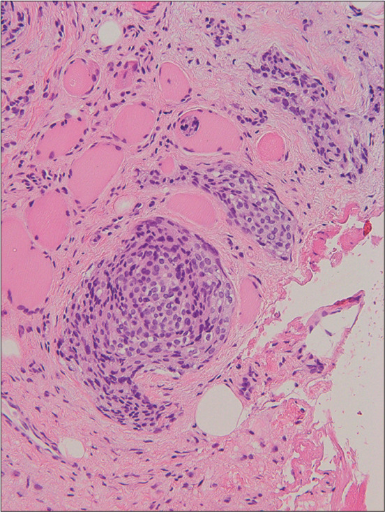
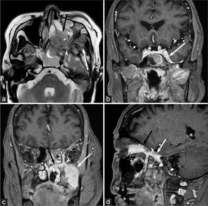
We report a case of a 73-year-old woman presenting with intracranial and extracranial meningioma with perineural spread crossing the foramen rotundum and pterygopalatine fossa, primarily along the maxillary nerve. She visited our hospital with the chief complaint of the left cheek swelling. Subsequent magnetic resonance imaging revealed a well-demarcated mass containing intracranial (cavernous sinus, Meckel's cave, and middle cranial fossa) and extracranial components (pterygopalatine fossa, orbit, nasal cavity, ethmoid and sphenoid sinuses, infratemporal fossa, and buccal space) through the foramen rotundum. A biopsy specimen was obtained from the cheek mass, and the histopathological diagnosis was meningothelial meningioma.

Abstract Image

Abstract Image

Abstract Image

计算机断层扫描和磁共振成像发现颅内和颅外脑膜瘤通过圆孔进行神经周围扩散:病例报告。
我们报告了一例 73 岁女性患者的病例,她患有颅内和颅外脑膜瘤,瘤周硬膜外蔓延,穿过圆形孔和翼腭窝,主要沿上颌神经蔓延。她以左脸颊肿胀为主诉来我院就诊。随后的磁共振成像显示,该肿块分界清晰,包含颅内(海绵窦、梅克尔洞和中颅窝)和颅外(翼腭窝、眼眶、鼻腔、乙状窦和鼻窦、颞下窝和颊间隙)穿过圆孔的部分。从脸颊肿块中获取了活检标本,组织病理学诊断为脑膜上皮脑膜瘤。
本文章由计算机程序翻译,如有差异,请以英文原文为准。
求助全文
约1分钟内获得全文 求助全文
来源期刊
Journal of Clinical Imaging Science
Journal of Clinical Imaging Science RADIOLOGY, NUCLEAR MEDICINE & MEDICAL IMAGING-
CiteScore
2.00
自引率
0.00%
发文量
65
期刊介绍: The Journal of Clinical Imaging Science (JCIS) is an open access peer-reviewed journal committed to publishing high-quality articles in the field of Imaging Science. The journal aims to present Imaging Science and relevant clinical information in an understandable and useful format. The journal is owned and published by the Scientific Scholar. Audience Our audience includes Radiologists, Researchers, Clinicians, medical professionals and students. Review process JCIS has a highly rigorous peer-review process that makes sure that manuscripts are scientifically accurate, relevant, novel and important. Authors disclose all conflicts, affiliations and financial associations such that the published content is not biased.
×
引用
GB/T 7714-2015
复制
MLA
复制
APA
复制
导出至
BibTeX EndNote RefMan NoteFirst NoteExpress
×
提示
您的信息不完整,为了账户安全,请先补充。
现在去补充
×
提示
您因"违规操作"
具体请查看互助需知
我知道了
×
提示
确定
请完成安全验证×
copy
已复制链接
快去分享给好友吧!
我知道了
右上角分享
点击右上角分享
0
联系我们:info@booksci.cn Book学术提供免费学术资源搜索服务,方便国内外学者检索中英文文献。致力于提供最便捷和优质的服务体验。 Copyright © 2023 布克学术 All rights reserved.
京ICP备2023020795号-1
ghs 京公网安备 11010802042870号
Book学术文献互助
Book学术文献互助群
群 号:604180095
Book学术官方微信