Diabetes Myonecrosis: A Debilitating Complication in an Indigenous Young Woman With Long Standing Type 1 Diabetes Mellitus.

IF 0.9 Q4 ENDOCRINOLOGY & METABOLISM
Case Reports in Endocrinology Pub Date : 2024-09-27 eCollection Date: 2024-01-01 DOI:10.1155/2024/8839798
Jinwen He, Liyan Wang, Thomas Robertson, Swetha Rangaswamaiah, Usman H Malabu
{"title":"Diabetes Myonecrosis: A Debilitating Complication in an Indigenous Young Woman With Long Standing Type 1 Diabetes Mellitus.","authors":"Jinwen He, Liyan Wang, Thomas Robertson, Swetha Rangaswamaiah, Usman H Malabu","doi":"10.1155/2024/8839798","DOIUrl":null,"url":null,"abstract":"<p><p>A 24-year-old Indigenous Australian female with long-standing, poorly controlled type 1 diabetes mellitus (T1DM) presented with 3 months' history of unilateral thigh swelling and pain. Her laboratory investigations showed evidence of a persistent inflammatory state with normal creatine kinase. Infectious and autoimmune investigations were negative. Imaging demonstrated evidence of muscular oedema and atrophy. Muscular pain and swelling have a broad list of differential diagnoses. This case highlights a rare but potentially debilitating complication of diabetes mellitus-diabetic myonecrosis with its challenges in reaching a definitive diagnosis due to non-specific symptomology and laboratory findings. However, it is an important differential of leg pain and swelling to consider, particularly in those with long-standing diabetes and pre-existing microvascular complications. Glycaemic control is paramount in preventing this potentially severe diabetic complication.</p>","PeriodicalId":9621,"journal":{"name":"Case Reports in Endocrinology","volume":"2024 ","pages":"8839798"},"PeriodicalIF":0.9000,"publicationDate":"2024-09-27","publicationTypes":"Journal Article","fieldsOfStudy":null,"isOpenAccess":false,"openAccessPdf":"https://www.ncbi.nlm.nih.gov/pmc/articles/PMC11452241/pdf/","citationCount":"0","resultStr":null,"platform":"Semanticscholar","paperid":null,"PeriodicalName":"Case Reports in Endocrinology","FirstCategoryId":"1085","ListUrlMain":"https://doi.org/10.1155/2024/8839798","RegionNum":0,"RegionCategory":null,"ArticlePicture":[],"TitleCN":null,"AbstractTextCN":null,"PMCID":null,"EPubDate":"2024/1/1 0:00:00","PubModel":"eCollection","JCR":"Q4","JCRName":"ENDOCRINOLOGY & METABOLISM","Score":null,"Total":0}
引用次数: 0

Abstract

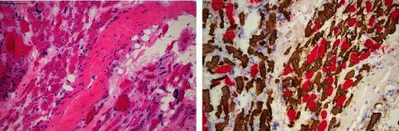
A 24-year-old Indigenous Australian female with long-standing, poorly controlled type 1 diabetes mellitus (T1DM) presented with 3 months' history of unilateral thigh swelling and pain. Her laboratory investigations showed evidence of a persistent inflammatory state with normal creatine kinase. Infectious and autoimmune investigations were negative. Imaging demonstrated evidence of muscular oedema and atrophy. Muscular pain and swelling have a broad list of differential diagnoses. This case highlights a rare but potentially debilitating complication of diabetes mellitus-diabetic myonecrosis with its challenges in reaching a definitive diagnosis due to non-specific symptomology and laboratory findings. However, it is an important differential of leg pain and swelling to consider, particularly in those with long-standing diabetes and pre-existing microvascular complications. Glycaemic control is paramount in preventing this potentially severe diabetic complication.

Abstract Image

Abstract Image

糖尿病肌坏死:一名长期患有 1 型糖尿病的土著年轻女性的衰弱并发症。
一名 24 岁的澳大利亚土著女性患有长期控制不佳的 1 型糖尿病(T1DM),3 个月前出现单侧大腿肿胀和疼痛。她的实验室检查显示存在持续的炎症状态,肌酸激酶正常。感染和自身免疫检查结果均为阴性。影像学检查显示肌肉水肿和萎缩。肌肉疼痛和肿胀的鉴别诊断范围很广。本病例强调了糖尿病的一种罕见但可能使人衰弱的并发症--糖尿病性肌坏死,由于症状和实验室检查结果不具特异性,因此很难做出明确诊断。然而,这是一个需要考虑的腿部疼痛和肿胀的重要鉴别诊断,尤其是对于那些长期患有糖尿病并已存在微血管并发症的患者。控制血糖对于预防这种潜在的严重糖尿病并发症至关重要。
本文章由计算机程序翻译,如有差异,请以英文原文为准。
求助全文
约1分钟内获得全文 求助全文
来源期刊
Case Reports in Endocrinology
Case Reports in Endocrinology ENDOCRINOLOGY & METABOLISM-
CiteScore
2.10
自引率
0.00%
发文量
45
审稿时长
13 weeks
×
引用
GB/T 7714-2015
复制
MLA
复制
APA
复制
导出至
BibTeX EndNote RefMan NoteFirst NoteExpress
×
提示
您的信息不完整,为了账户安全,请先补充。
现在去补充
×
提示
您因"违规操作"
具体请查看互助需知
我知道了
×
提示
确定
请完成安全验证×
copy
已复制链接
快去分享给好友吧!
我知道了
右上角分享
点击右上角分享
0
联系我们:info@booksci.cn Book学术提供免费学术资源搜索服务,方便国内外学者检索中英文文献。致力于提供最便捷和优质的服务体验。 Copyright © 2023 布克学术 All rights reserved.
京ICP备2023020795号-1
ghs 京公网安备 11010802042870号
Book学术文献互助
Book学术文献互助群
群 号:604180095
Book学术官方微信