Evaluation of optic nerve sheath diameter in patients undergoing laparoscopic surgery in the Trendelenburg position: a prospective observational study.

Annals of Saudi medicine Pub Date : 2024-09-01 Epub Date: 2024-10-03 DOI:10.5144/0256-4947.2024.319
Burak Ömür, Bahadır Çiftçi, Pelin Karaaslan
{"title":"Evaluation of optic nerve sheath diameter in patients undergoing laparoscopic surgery in the Trendelenburg position: a prospective observational study.","authors":"Burak Ömür, Bahadır Çiftçi, Pelin Karaaslan","doi":"10.5144/0256-4947.2024.319","DOIUrl":null,"url":null,"abstract":"<p><strong>Background: </strong>The Trendelenburg position and pneumoperitoneum may cause cerebral edema and increased intracranial pressure. Non-invasive measurement of the diameter of the optic nerve sheath by ultrasonography can provide early recognition of intracranial pressure.</p><p><strong>Objective: </strong>Evaluate the optic nerve sheath diameter (ONSD) changes in patients who undergo laparoscopic surgery in the Trendelenburg position and make indirect conclusions about changes in intracranial pressure.</p><p><strong>Design: </strong>Prospective, observational.</p><p><strong>Setting: </strong>Laparoscopic surgeries.</p><p><strong>Patients and methods: </strong>Patients aged 18-75 years who underwent laparoscopic surgery in the Trendelenburg position under general anesthesia were included in our study. The ONSD was measured four times: Immediately after tracheal intubation, in the neutral position (baseline value) (T0), 10 minutes after pneumoperitoneum and Trendelenburg position (T1), 60 minutes after pneumoperitoneum and Trendelenburg position (T2), and 10 minutes after the pneumoperitoneum is terminated and placed in the neutral position (T3).</p><p><strong>Main outcome measures: </strong>Compare ONSD measured by ultrasonography at different times of surgery.</p><p><strong>Sample size: </strong>40.</p><p><strong>Results: </strong>Arterial carbon dioxide pressure increased with laparoscopy and Trendelenburg position in parallel with ONSD measurements and decreased again after returning to the neutral position. It was still higher than the baseline value at the T3. There was also a significant difference[a] between the measurement made at the T2 and the measurement made at T1. This difference showed that the prolongation of the Trendelenburg time was associated with an increase in ONSD. At the end of the operation it was observed that the decreased statistically significantly (T3) 10 minutes after the pneumoperitoneum was terminated and the position was corrected. However, the ONSD was still higher at the end of the operation (T3) compared to the baseline value measured at the beginning of the operation (T0).</p><p><strong>Conclusion: </strong>The ONSD increased in relation to Trendelenburg position and pneumoperitoneum. With these results, we think the ultrasonographic measurement of ONSD, a non-invasive method, can be used for clinical follow-up when performing laparoscopic surgery in the Trendelenburg position in cases requiring intracranial pressure monitoring.</p><p><strong>Limitations: </strong>There may be variations in the measurement of ONSD, even in the measurements of the same practitioner, as in all imaging with an ultrasonography device.</p>","PeriodicalId":93875,"journal":{"name":"Annals of Saudi medicine","volume":"44 5","pages":"319-328"},"PeriodicalIF":0.0000,"publicationDate":"2024-09-01","publicationTypes":"Journal Article","fieldsOfStudy":null,"isOpenAccess":false,"openAccessPdf":"https://www.ncbi.nlm.nih.gov/pmc/articles/PMC11454954/pdf/","citationCount":"0","resultStr":null,"platform":"Semanticscholar","paperid":null,"PeriodicalName":"Annals of Saudi medicine","FirstCategoryId":"1085","ListUrlMain":"https://doi.org/10.5144/0256-4947.2024.319","RegionNum":0,"RegionCategory":null,"ArticlePicture":[],"TitleCN":null,"AbstractTextCN":null,"PMCID":null,"EPubDate":"2024/10/3 0:00:00","PubModel":"Epub","JCR":"","JCRName":"","Score":null,"Total":0}
引用次数: 0

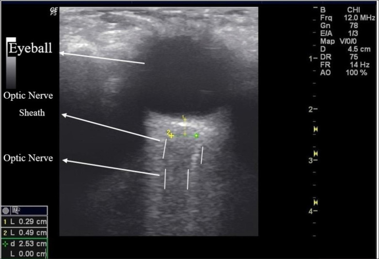
Abstract

Background: The Trendelenburg position and pneumoperitoneum may cause cerebral edema and increased intracranial pressure. Non-invasive measurement of the diameter of the optic nerve sheath by ultrasonography can provide early recognition of intracranial pressure.

Objective: Evaluate the optic nerve sheath diameter (ONSD) changes in patients who undergo laparoscopic surgery in the Trendelenburg position and make indirect conclusions about changes in intracranial pressure.

Design: Prospective, observational.

Setting: Laparoscopic surgeries.

Patients and methods: Patients aged 18-75 years who underwent laparoscopic surgery in the Trendelenburg position under general anesthesia were included in our study. The ONSD was measured four times: Immediately after tracheal intubation, in the neutral position (baseline value) (T0), 10 minutes after pneumoperitoneum and Trendelenburg position (T1), 60 minutes after pneumoperitoneum and Trendelenburg position (T2), and 10 minutes after the pneumoperitoneum is terminated and placed in the neutral position (T3).

Main outcome measures: Compare ONSD measured by ultrasonography at different times of surgery.

Sample size: 40.

Results: Arterial carbon dioxide pressure increased with laparoscopy and Trendelenburg position in parallel with ONSD measurements and decreased again after returning to the neutral position. It was still higher than the baseline value at the T3. There was also a significant difference[a] between the measurement made at the T2 and the measurement made at T1. This difference showed that the prolongation of the Trendelenburg time was associated with an increase in ONSD. At the end of the operation it was observed that the decreased statistically significantly (T3) 10 minutes after the pneumoperitoneum was terminated and the position was corrected. However, the ONSD was still higher at the end of the operation (T3) compared to the baseline value measured at the beginning of the operation (T0).

Conclusion: The ONSD increased in relation to Trendelenburg position and pneumoperitoneum. With these results, we think the ultrasonographic measurement of ONSD, a non-invasive method, can be used for clinical follow-up when performing laparoscopic surgery in the Trendelenburg position in cases requiring intracranial pressure monitoring.

Limitations: There may be variations in the measurement of ONSD, even in the measurements of the same practitioner, as in all imaging with an ultrasonography device.

Abstract Image

Abstract Image

Abstract Image

评估在 Trendelenburg 体位下接受腹腔镜手术的患者的视神经鞘直径:一项前瞻性观察研究。
背景:Trendelenburg 体位和腹腔积气可能导致脑水肿和颅内压升高。通过超声波对视神经鞘直径进行无创测量可及早识别颅内压:评估在 Trendelenburg 体位下接受腹腔镜手术的患者视神经鞘直径(ONSD)的变化,并间接得出颅内压变化的结论:前瞻性观察:腹腔镜手术:研究对象:18-75 岁在全身麻醉下以 Trendelenburg 体位接受腹腔镜手术的患者。对 ONSD 进行了四次测量:气管插管后立即取中立位(基线值)(T0),气腹和 Trendelenburg 体位后 10 分钟(T1),气腹和 Trendelenburg 体位后 60 分钟(T2),终止气腹并取中立位后 10 分钟(T3):样本量:40:结果:动脉二氧化碳压力在腹腔镜手术和 Trendelenburg 体位时与 ONSD 测量值同时升高,恢复中立位后再次降低。在 T3 时,该值仍高于基线值。T2测量值与T1测量值之间也存在明显差异[a]。这一差异表明, Trendelenburg 时间的延长与 ONSD 的增加有关。手术结束时,在终止腹腔积气并纠正体位10分钟后,观察到ONSD在统计学上明显下降(T3)。然而,与手术开始时测量的基线值(T0)相比,手术结束时(T3)的 ONSD 仍然较高:结论:ONSD 的增加与 Trendelenburg 体位和腹腔积气有关。根据上述结果,我们认为超声波测量ONSD是一种无创方法,可用于在需要监测颅内压的病例中以 Trendelenburg 体位进行腹腔镜手术时的临床随访:局限性:ONSD 的测量结果可能存在差异,即使是同一医生的测量结果也是如此。
本文章由计算机程序翻译,如有差异,请以英文原文为准。
求助全文
约1分钟内获得全文 求助全文
来源期刊
自引率
0.00%
发文量
0
×
引用
GB/T 7714-2015
复制
MLA
复制
APA
复制
导出至
BibTeX EndNote RefMan NoteFirst NoteExpress
×
提示
您的信息不完整,为了账户安全,请先补充。
现在去补充
×
提示
您因"违规操作"
具体请查看互助需知
我知道了
×
提示
确定
请完成安全验证×
copy
已复制链接
快去分享给好友吧!
我知道了
右上角分享
点击右上角分享
0
联系我们:info@booksci.cn Book学术提供免费学术资源搜索服务,方便国内外学者检索中英文文献。致力于提供最便捷和优质的服务体验。 Copyright © 2023 布克学术 All rights reserved.
京ICP备2023020795号-1
ghs 京公网安备 11010802042870号
Book学术文献互助
Book学术文献互助群
群 号:604180095
Book学术官方微信