Re-Expansion Pulmonary Edema Following Minimally Invasive Cardiac Surgery: A Case Report.

IF 1.3 Q3 ANESTHESIOLOGY
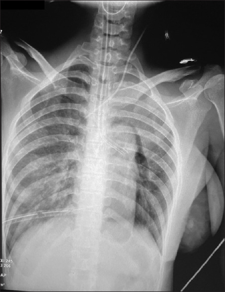
Annals of Cardiac Anaesthesia Pub Date : 2024-10-01 Epub Date: 2024-10-04 DOI:10.4103/aca.aca_30_24
Stephanus A Prakasa, Anas Alatas
{"title":"Re-Expansion Pulmonary Edema Following Minimally Invasive Cardiac Surgery: A Case Report.","authors":"Stephanus A Prakasa, Anas Alatas","doi":"10.4103/aca.aca_30_24","DOIUrl":null,"url":null,"abstract":"<p><strong>Abstract: </strong>Re-expansion pulmonary edema (RPE) is a rare complication of minimally invasive cardiac surgery (MICS). We present a case of RPE following atrial septal defect (ASD) closure using a thoracotomy approach and cardiopulmonary bypass (CPB). REP contributes to significant morbidity and extends the length of stays in the intensive care unit. Understanding the pathophysiology and risk factors of RPE allows us to prevent or minimize the incidence.</p>","PeriodicalId":7997,"journal":{"name":"Annals of Cardiac Anaesthesia","volume":"27 4","pages":"361-363"},"PeriodicalIF":1.3000,"publicationDate":"2024-10-01","publicationTypes":"Journal Article","fieldsOfStudy":null,"isOpenAccess":false,"openAccessPdf":"https://www.ncbi.nlm.nih.gov/pmc/articles/PMC11610773/pdf/","citationCount":"0","resultStr":null,"platform":"Semanticscholar","paperid":null,"PeriodicalName":"Annals of Cardiac Anaesthesia","FirstCategoryId":"1085","ListUrlMain":"https://doi.org/10.4103/aca.aca_30_24","RegionNum":0,"RegionCategory":null,"ArticlePicture":[],"TitleCN":null,"AbstractTextCN":null,"PMCID":null,"EPubDate":"2024/10/4 0:00:00","PubModel":"Epub","JCR":"Q3","JCRName":"ANESTHESIOLOGY","Score":null,"Total":0}
引用次数: 0

Abstract

Abstract: Re-expansion pulmonary edema (RPE) is a rare complication of minimally invasive cardiac surgery (MICS). We present a case of RPE following atrial septal defect (ASD) closure using a thoracotomy approach and cardiopulmonary bypass (CPB). REP contributes to significant morbidity and extends the length of stays in the intensive care unit. Understanding the pathophysiology and risk factors of RPE allows us to prevent or minimize the incidence.

Abstract Image

Abstract Image

微创心脏手术后再膨胀性肺水肿:病例报告。
摘要:再膨胀性肺水肿(RPE)是微创心脏手术(MICS)的一种罕见并发症。我们介绍了一例使用开胸手术方法和心肺旁路(CPB)关闭房间隔缺损(ASD)后发生再膨胀肺水肿的病例。REP 会导致严重的发病率并延长重症监护室的住院时间。了解了 RPE 的病理生理学和风险因素,我们就能预防或尽量减少其发生率。
本文章由计算机程序翻译,如有差异,请以英文原文为准。
求助全文
约1分钟内获得全文 求助全文
来源期刊
CiteScore
1.60
自引率
0.00%
发文量
147
审稿时长
26 weeks
期刊介绍: Annals of Cardiac Anaesthesia (ACA) is the official journal of the Indian Association of Cardiovascular Thoracic Anaesthesiologists. The journal is indexed with PubMed/MEDLINE, Excerpta Medica/EMBASE, IndMed and MedInd. The journal’s full text is online at www.annals.in. With the aim of faster and better dissemination of knowledge, we will be publishing articles ‘Ahead of Print’ immediately on acceptance. In addition, the journal would allow free access (Open Access) to its contents, which is likely to attract more readers and citations to articles published in ACA. Authors do not have to pay for submission, processing or publication of articles in ACA.
×
引用
GB/T 7714-2015
复制
MLA
复制
APA
复制
导出至
BibTeX EndNote RefMan NoteFirst NoteExpress
×
提示
您的信息不完整,为了账户安全,请先补充。
现在去补充
×
提示
您因"违规操作"
具体请查看互助需知
我知道了
×
提示
确定
请完成安全验证×
copy
已复制链接
快去分享给好友吧!
我知道了
右上角分享
点击右上角分享
0
联系我们:info@booksci.cn Book学术提供免费学术资源搜索服务,方便国内外学者检索中英文文献。致力于提供最便捷和优质的服务体验。 Copyright © 2023 布克学术 All rights reserved.
京ICP备2023020795号-1
ghs 京公网安备 11010802042870号
Book学术文献互助
Book学术文献互助群
群 号:604180095
Book学术官方微信