Involvement of the Constitutive Photomorphogenesis 9 Signalosome Subunit 5 With Programmed Cell Death Protein 1 Ligand in Asthma.

IF 4.3 2区 医学 Q2 ALLERGY
Seon-Muk Choi, Min-Hyeok An, Pureun-Haneul Lee, DaYeon Hwang, Yunha Nam, Shinhee Park, An-Soo Jang
{"title":"Involvement of the Constitutive Photomorphogenesis 9 Signalosome Subunit 5 With Programmed Cell Death Protein 1 Ligand in Asthma.","authors":"Seon-Muk Choi, Min-Hyeok An, Pureun-Haneul Lee, DaYeon Hwang, Yunha Nam, Shinhee Park, An-Soo Jang","doi":"10.4168/aair.2024.16.5.505","DOIUrl":null,"url":null,"abstract":"<p><strong>Purpose: </strong>The constitutive photomorphogenesis 9 signalosome (CSN) is a highly conserved protein complex comprised of eight subunits, each of which play crucial roles in diverse cellular processes, such as signal transduction, gene transcription, angiogenesis, and cell proliferation. In the context of asthma, a potential emerging target is the programmed death-ligand 1 (PD-L1)-mediated pathway, which serves as a significant immune checkpoint inhibitor in this condition. However, the precise involvement of CSN subunit 5 (CSN5) in bronchial asthma and the interplay between CSN5 and PD-L1 in asthma remain poorly understood.</p><p><strong>Methods: </strong>The potential association between CSN5 and bronchial asthma was explored in a mouse model of ovalbumin (OVA)-induced asthma. Samples were obtained from human lung microvascular endothelial cell (HMVEC-L) treated with <i>Dermatophagoides pteronyssinus</i> (<i>Der p 1</i>) and CSN5 small interfering RNA. The expression of nuclear factor (NF)-κB, IκBα, inhibitor of κB kinase β (IKKβ), PD-L1, and CSN5 was assessed. Additionally, plasma CSN5 levels in asthma patients, both in stable and exacerbated states, were examined.</p><p><strong>Results: </strong>Plasma levels of CSN5 were elevated in patients with exacerbated asthma (n = 19) compared to both healthy controls (n = 10) and patients with stable asthma (n = 19). The CSN5 level demonstrated a correlation with lung function in individuals with asthma. Silencing CSN5 in HMVEC-L led to a reduction in NF-κB protein levels at 4 hours and PD-L1 levels at 4, 8, and 24 hours after <i>Der p 1</i> treatment. In OVA-sensitized/challenged mice, goblet cell hyperplasia, lung fibrosis, and the levels of CSN5, PD-L1, interleukin-13, interferon-γ, phospho (p)-NF-κB, p-IκBα, and p-IKKβ proteins increased at 33 and 80 days compared to control mice. However, these changes were mitigated by treatment with a PD-L1 inhibitor.</p><p><strong>Conclusions: </strong>These findings suggest that CSN5, along with PD-L1, could serve as a promising target for the treatment of asthma.</p>","PeriodicalId":7547,"journal":{"name":"Allergy, Asthma & Immunology Research","volume":"16 5","pages":"505-519"},"PeriodicalIF":4.3000,"publicationDate":"2024-09-01","publicationTypes":"Journal Article","fieldsOfStudy":null,"isOpenAccess":false,"openAccessPdf":"https://www.ncbi.nlm.nih.gov/pmc/articles/PMC11450436/pdf/","citationCount":"0","resultStr":null,"platform":"Semanticscholar","paperid":null,"PeriodicalName":"Allergy, Asthma & Immunology Research","FirstCategoryId":"3","ListUrlMain":"https://doi.org/10.4168/aair.2024.16.5.505","RegionNum":2,"RegionCategory":"医学","ArticlePicture":[],"TitleCN":null,"AbstractTextCN":null,"PMCID":null,"EPubDate":"","PubModel":"","JCR":"Q2","JCRName":"ALLERGY","Score":null,"Total":0}
引用次数: 0

Abstract

Purpose: The constitutive photomorphogenesis 9 signalosome (CSN) is a highly conserved protein complex comprised of eight subunits, each of which play crucial roles in diverse cellular processes, such as signal transduction, gene transcription, angiogenesis, and cell proliferation. In the context of asthma, a potential emerging target is the programmed death-ligand 1 (PD-L1)-mediated pathway, which serves as a significant immune checkpoint inhibitor in this condition. However, the precise involvement of CSN subunit 5 (CSN5) in bronchial asthma and the interplay between CSN5 and PD-L1 in asthma remain poorly understood.

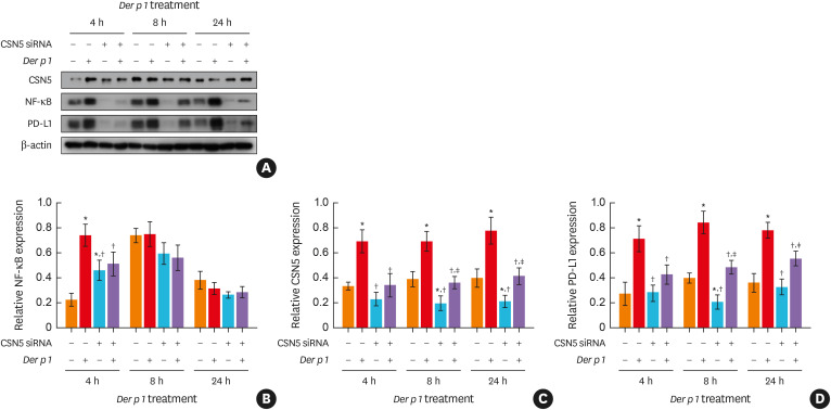
Methods: The potential association between CSN5 and bronchial asthma was explored in a mouse model of ovalbumin (OVA)-induced asthma. Samples were obtained from human lung microvascular endothelial cell (HMVEC-L) treated with Dermatophagoides pteronyssinus (Der p 1) and CSN5 small interfering RNA. The expression of nuclear factor (NF)-κB, IκBα, inhibitor of κB kinase β (IKKβ), PD-L1, and CSN5 was assessed. Additionally, plasma CSN5 levels in asthma patients, both in stable and exacerbated states, were examined.

Results: Plasma levels of CSN5 were elevated in patients with exacerbated asthma (n = 19) compared to both healthy controls (n = 10) and patients with stable asthma (n = 19). The CSN5 level demonstrated a correlation with lung function in individuals with asthma. Silencing CSN5 in HMVEC-L led to a reduction in NF-κB protein levels at 4 hours and PD-L1 levels at 4, 8, and 24 hours after Der p 1 treatment. In OVA-sensitized/challenged mice, goblet cell hyperplasia, lung fibrosis, and the levels of CSN5, PD-L1, interleukin-13, interferon-γ, phospho (p)-NF-κB, p-IκBα, and p-IKKβ proteins increased at 33 and 80 days compared to control mice. However, these changes were mitigated by treatment with a PD-L1 inhibitor.

Conclusions: These findings suggest that CSN5, along with PD-L1, could serve as a promising target for the treatment of asthma.

Abstract Image

Abstract Image

Abstract Image

哮喘中的程序性细胞死亡蛋白 1 配体与构成性光态发生 9 信号体亚基 5 的关系
目的:组成型光变9信号体(CSN)是一种高度保守的蛋白质复合物,由八个亚基组成,每个亚基在信号转导、基因转录、血管生成和细胞增殖等多种细胞过程中都发挥着关键作用。在哮喘方面,一个潜在的新靶点是程序性死亡配体 1(PD-L1)介导的途径,它是哮喘的重要免疫检查点抑制剂。然而,CSN亚基5(CSN5)在支气管哮喘中的确切参与情况以及CSN5和PD-L1在哮喘中的相互作用仍鲜为人知:在卵清蛋白(OVA)诱导的哮喘小鼠模型中探讨了 CSN5 与支气管哮喘之间的潜在联系。样本来自用 Dermatophagoides pteronyssinus(Der p 1)和 CSN5 小干扰 RNA 处理的人肺微血管内皮细胞(HMVEC-L)。评估了核因子(NF)-κB、IκBα、κB激酶β抑制剂(IKKβ)、PD-L1和CSN5的表达。此外,还研究了处于稳定和恶化状态的哮喘患者的血浆CSN5水平:结果:与健康对照组(10 人)和哮喘稳定期患者(19 人)相比,哮喘加重期患者(19 人)的血浆 CSN5 水平升高。CSN5 水平与哮喘患者的肺功能相关。沉默 HMVEC-L 中的 CSN5 会导致 NF-κB 蛋白水平在 Der p 1 处理后 4 小时下降,PD-L1 水平在 4、8 和 24 小时下降。与对照组小鼠相比,OVA致敏/呛咳小鼠在33天和80天时的小腺泡细胞增生、肺纤维化以及CSN5、PD-L1、白细胞介素-13、干扰素-γ、phospho (p)-NF-κB、p-IκBα和p-IKKβ蛋白水平都有所增加。然而,PD-L1抑制剂的治疗缓解了这些变化:这些研究结果表明,CSN5和PD-L1可作为治疗哮喘的靶点。
本文章由计算机程序翻译,如有差异,请以英文原文为准。
求助全文
约1分钟内获得全文 求助全文
来源期刊
CiteScore
6.10
自引率
6.80%
发文量
53
审稿时长
>12 weeks
期刊介绍: The journal features cutting-edge original research, brief communications, and state-of-the-art reviews in the specialties of allergy, asthma, and immunology, including clinical and experimental studies and instructive case reports. Contemporary reviews summarize information on topics for researchers and physicians in the fields of allergy and immunology. As of January 2017, AAIR do not accept case reports. However, if it is a clinically important case, authors can submit it in the form of letter to the Editor. Editorials and letters to the Editor explore controversial issues and encourage further discussion among physicians dealing with allergy, immunology, pediatric respirology, and related medical fields. AAIR also features topics in practice and management and recent advances in equipment and techniques for clinicians concerned with clinical manifestations of allergies and pediatric respiratory diseases.
×
引用
GB/T 7714-2015
复制
MLA
复制
APA
复制
导出至
BibTeX EndNote RefMan NoteFirst NoteExpress
×
提示
您的信息不完整,为了账户安全,请先补充。
现在去补充
×
提示
您因"违规操作"
具体请查看互助需知
我知道了
×
提示
确定
请完成安全验证×
copy
已复制链接
快去分享给好友吧!
我知道了
右上角分享
点击右上角分享
0
联系我们:info@booksci.cn Book学术提供免费学术资源搜索服务,方便国内外学者检索中英文文献。致力于提供最便捷和优质的服务体验。 Copyright © 2023 布克学术 All rights reserved.
京ICP备2023020795号-1
ghs 京公网安备 11010802042870号
Book学术文献互助
Book学术文献互助群
群 号:604180095
Book学术官方微信