An Extremely Rare Case of Primary Malignant Melanoma of the Kidney.

IF 2.2 Q3 ONCOLOGY
World Journal of Oncology Pub Date : 2024-10-01 Epub Date: 2024-08-10 DOI:10.14740/wjon1899
Akane Onogi, Daichi Kodama, Naoki Watanabe, Takashi Ishida, Hisao Komeda, Shuji Mikami, Takuji Tanaka
{"title":"An Extremely Rare Case of Primary Malignant Melanoma of the Kidney.","authors":"Akane Onogi, Daichi Kodama, Naoki Watanabe, Takashi Ishida, Hisao Komeda, Shuji Mikami, Takuji Tanaka","doi":"10.14740/wjon1899","DOIUrl":null,"url":null,"abstract":"<p><p>Malignant melanoma (MM) is a tumor that usually occurs in the skin, but this malignant tumor can also develop in extracutaneous tissues, including urogenital tissues. In regard to MM occurring in urogenital tissues, bladder origin is common but renal primary MM is extremely rare. In the Department of Emergency and Urology at Gifu Municipal Hospital, a tumor of the right kidney was detected in a computed tomography scan to determine the cause of severe pain in the lower extremities of a 45-year-old Japanese woman. With the clinical diagnosis of renal cell carcinoma, resection of the right kidney was performed under laparoscopy. The cut surface of the tumor encapsulated by a thick fibrous capsule was dark brown, and the tumor cells with large nuclei, large nucleoli, acidophil cytoplasm, and numerous melanin granules showed papillary, solid, or alveolar growth. Immunohistochemically, the tumor cells were positive for Melan A and human melanoma black 45 (HMG45) but negative for transcription factor E3 (TFE3), transcription factor EB (TFEB), cytokeratin 7 (CK7), carbonic anhydrase 9 (CA9), and AEl/AE3. We conducted careful and detailed examinations, including an association of the patient's medical history, but there were no indications for tumors, particularly MM, in any organs. Therefore, she was ultimately diagnosed with primary kidney MM.</p>","PeriodicalId":46797,"journal":{"name":"World Journal of Oncology","volume":"15 5","pages":"837-843"},"PeriodicalIF":2.2000,"publicationDate":"2024-10-01","publicationTypes":"Journal Article","fieldsOfStudy":null,"isOpenAccess":false,"openAccessPdf":"https://www.ncbi.nlm.nih.gov/pmc/articles/PMC11424119/pdf/","citationCount":"0","resultStr":null,"platform":"Semanticscholar","paperid":null,"PeriodicalName":"World Journal of Oncology","FirstCategoryId":"1085","ListUrlMain":"https://doi.org/10.14740/wjon1899","RegionNum":0,"RegionCategory":null,"ArticlePicture":[],"TitleCN":null,"AbstractTextCN":null,"PMCID":null,"EPubDate":"2024/8/10 0:00:00","PubModel":"Epub","JCR":"Q3","JCRName":"ONCOLOGY","Score":null,"Total":0}
引用次数: 0

Abstract

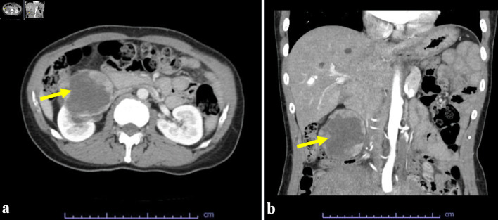
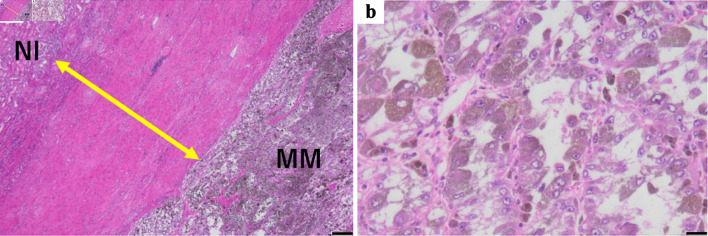
Malignant melanoma (MM) is a tumor that usually occurs in the skin, but this malignant tumor can also develop in extracutaneous tissues, including urogenital tissues. In regard to MM occurring in urogenital tissues, bladder origin is common but renal primary MM is extremely rare. In the Department of Emergency and Urology at Gifu Municipal Hospital, a tumor of the right kidney was detected in a computed tomography scan to determine the cause of severe pain in the lower extremities of a 45-year-old Japanese woman. With the clinical diagnosis of renal cell carcinoma, resection of the right kidney was performed under laparoscopy. The cut surface of the tumor encapsulated by a thick fibrous capsule was dark brown, and the tumor cells with large nuclei, large nucleoli, acidophil cytoplasm, and numerous melanin granules showed papillary, solid, or alveolar growth. Immunohistochemically, the tumor cells were positive for Melan A and human melanoma black 45 (HMG45) but negative for transcription factor E3 (TFE3), transcription factor EB (TFEB), cytokeratin 7 (CK7), carbonic anhydrase 9 (CA9), and AEl/AE3. We conducted careful and detailed examinations, including an association of the patient's medical history, but there were no indications for tumors, particularly MM, in any organs. Therefore, she was ultimately diagnosed with primary kidney MM.

Abstract Image

Abstract Image

Abstract Image

肾脏原发性恶性黑色素瘤的极罕见病例。
恶性黑色素瘤(MM)是一种通常发生在皮肤的肿瘤,但这种恶性肿瘤也可发生在皮肤外组织,包括泌尿生殖系统组织。就发生在泌尿生殖系统组织中的 MM 而言,膀胱原发 MM 很常见,但肾脏原发 MM 则极为罕见。在岐阜市立医院急诊和泌尿科,一名 45 岁的日本女性因下肢剧烈疼痛,在计算机断层扫描中发现右肾肿瘤。临床诊断为肾细胞癌,于是在腹腔镜下对右肾进行了切除。被厚纤维囊包裹的肿瘤切面呈黑褐色,肿瘤细胞核大、核仁大、胞浆嗜酸,并有大量黑色素颗粒,呈乳头状、实性或肺泡状生长。免疫组化结果显示,肿瘤细胞的黑色素 A 和人类黑色素瘤黑 45(HMG45)阳性,但转录因子 E3(TFE3)、转录因子 EB(TFEB)、细胞角蛋白 7(CK7)、碳酸酐酶 9(CA9)和 AEl/AE3 阴性。我们对患者进行了认真细致的检查,包括病史关联,但没有任何器官出现肿瘤,尤其是 MM 的迹象。因此,她最终被诊断为原发性肾脏 MM。
本文章由计算机程序翻译,如有差异,请以英文原文为准。
求助全文
约1分钟内获得全文 求助全文
来源期刊
CiteScore
6.10
自引率
15.40%
发文量
37
期刊介绍: World Journal of Oncology, bimonthly, publishes original contributions describing basic research and clinical investigation of cancer, on the cellular, molecular, prevention, diagnosis, therapy and prognosis aspects. The submissions can be basic research or clinical investigation oriented. This journal welcomes those submissions focused on the clinical trials of new treatment modalities for cancer, and those submissions focused on molecular or cellular research of the oncology pathogenesis. Case reports submitted for consideration of publication should explore either a novel genomic event/description or a new safety signal from an oncolytic agent. The areas of interested manuscripts are these disciplines: tumor immunology and immunotherapy; cancer molecular pharmacology and chemotherapy; drug sensitivity and resistance; cancer epidemiology; clinical trials; cancer pathology; radiobiology and radiation oncology; solid tumor oncology; hematological malignancies; surgical oncology; pediatric oncology; molecular oncology and cancer genes; gene therapy; cancer endocrinology; cancer metastasis; prevention and diagnosis of cancer; other cancer related subjects. The types of manuscripts accepted are original article, review, editorial, short communication, case report, letter to the editor, book review.
×
引用
GB/T 7714-2015
复制
MLA
复制
APA
复制
导出至
BibTeX EndNote RefMan NoteFirst NoteExpress
×
提示
您的信息不完整,为了账户安全,请先补充。
现在去补充
×
提示
您因"违规操作"
具体请查看互助需知
我知道了
×
提示
确定
请完成安全验证×
copy
已复制链接
快去分享给好友吧!
我知道了
右上角分享
点击右上角分享
0
联系我们:info@booksci.cn Book学术提供免费学术资源搜索服务,方便国内外学者检索中英文文献。致力于提供最便捷和优质的服务体验。 Copyright © 2023 布克学术 All rights reserved.
京ICP备2023020795号-1
ghs 京公网安备 11010802042870号
Book学术文献互助
Book学术文献互助群
群 号:604180095
Book学术官方微信