Atypical presentation of Cushing's disease with weight loss and hypokalemia.

IF 0.7 Q4 ENDOCRINOLOGY & METABOLISM
Sarah Badawod, Barna De, David B Clarke, Syed Ali Imran
{"title":"Atypical presentation of Cushing's disease with weight loss and hypokalemia.","authors":"Sarah Badawod, Barna De, David B Clarke, Syed Ali Imran","doi":"10.1530/EDM-24-0011","DOIUrl":null,"url":null,"abstract":"<p><strong>Summary: </strong>ACTH-secreting pituitary adenomas causing Cushing's disease (CD) typically present with weight gain, whereas weight loss and hypokalemia in endogenous Cushing's patients are suggestive of ectopic ACTH production. We report a case of CD presenting with atypical features of marked weight loss and hypokalemia. A 75-year-old female was admitted to the hospital with a history of profound weight loss, associated with uncontrolled hypertension, hyperglycemia, severe proximal muscle weakness, and hypokalemia. Subsequent investigations, including 24-h urinary free cortisol, 48-h low-dose dexamethasone suppression test, MRI of the sella, and bilateral inferior petrosal sinus sampling, confirmed CD without any evidence of ectopic ACTH production. She became eucortisolemic with medical therapy of ketoconazole and cabergoline, subsequently regained her weight, and became normokalemic. This case illustrates that patients with CD may present with symptoms and biochemical findings that would otherwise suggest ectopic ACTH production.</p><p><strong>Learning points: </strong>Patients with CD do not always present with classical clinical features and may present with symptoms and biochemical findings that would otherwise suggest ectopic ACTH production. While most patients with CD typically lose weight after biochemical remission, some patients gain weight after the normalization of cortisol levels. This case highlights the need to entertain a broad differential in patients presenting with hypokalemia and weight loss and the need to exclude hypercortisolemia.</p>","PeriodicalId":37467,"journal":{"name":"Endocrinology, Diabetes and Metabolism Case Reports","volume":"2024 3","pages":""},"PeriodicalIF":0.7000,"publicationDate":"2024-09-27","publicationTypes":"Journal Article","fieldsOfStudy":null,"isOpenAccess":false,"openAccessPdf":"https://www.ncbi.nlm.nih.gov/pmc/articles/PMC11466250/pdf/","citationCount":"0","resultStr":null,"platform":"Semanticscholar","paperid":null,"PeriodicalName":"Endocrinology, Diabetes and Metabolism Case Reports","FirstCategoryId":"1085","ListUrlMain":"https://doi.org/10.1530/EDM-24-0011","RegionNum":0,"RegionCategory":null,"ArticlePicture":[],"TitleCN":null,"AbstractTextCN":null,"PMCID":null,"EPubDate":"2024/7/1 0:00:00","PubModel":"Print","JCR":"Q4","JCRName":"ENDOCRINOLOGY & METABOLISM","Score":null,"Total":0}
引用次数: 0

Abstract

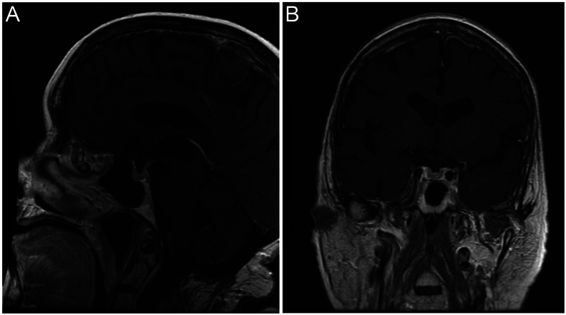
Summary: ACTH-secreting pituitary adenomas causing Cushing's disease (CD) typically present with weight gain, whereas weight loss and hypokalemia in endogenous Cushing's patients are suggestive of ectopic ACTH production. We report a case of CD presenting with atypical features of marked weight loss and hypokalemia. A 75-year-old female was admitted to the hospital with a history of profound weight loss, associated with uncontrolled hypertension, hyperglycemia, severe proximal muscle weakness, and hypokalemia. Subsequent investigations, including 24-h urinary free cortisol, 48-h low-dose dexamethasone suppression test, MRI of the sella, and bilateral inferior petrosal sinus sampling, confirmed CD without any evidence of ectopic ACTH production. She became eucortisolemic with medical therapy of ketoconazole and cabergoline, subsequently regained her weight, and became normokalemic. This case illustrates that patients with CD may present with symptoms and biochemical findings that would otherwise suggest ectopic ACTH production.

Learning points: Patients with CD do not always present with classical clinical features and may present with symptoms and biochemical findings that would otherwise suggest ectopic ACTH production. While most patients with CD typically lose weight after biochemical remission, some patients gain weight after the normalization of cortisol levels. This case highlights the need to entertain a broad differential in patients presenting with hypokalemia and weight loss and the need to exclude hypercortisolemia.

Abstract Image

Abstract Image

Abstract Image

库欣病的非典型表现,伴有体重减轻和低钾血症。
摘要:分泌促肾上腺皮质激素(ACTH)的垂体腺瘤引起的库欣病(CD)通常表现为体重增加,而内源性库欣病患者的体重减轻和低钾血症则提示ACTH异位分泌。我们报告了一例表现为体重明显减轻和低钾血症的非典型库欣病病例。一名 75 岁的女性因体重严重下降、伴有高血压失控、高血糖、近端重症肌无力和低钾血症而入院。随后进行的检查(包括 24 小时尿游离皮质醇、48 小时小剂量地塞米松抑制试验、蝶鞍核磁共振成像和双侧下蝶窦取样)证实她患有 CD,但没有任何异位促肾上腺皮质激素分泌的证据。在酮康唑和卡贝戈林的药物治疗下,她变得无皮质醇血症,随后恢复了体重,并变得正常钾血症。本病例说明,CD 患者可能会出现原本提示异位促肾上腺皮质激素分泌的症状和生化检查结果:学习要点:CD 患者并不总是表现出典型的临床特征,他们可能会表现出提示异位促肾上腺皮质激素分泌的症状和生化检查结果。虽然大多数 CD 患者在生化缓解后体重通常会减轻,但也有一些患者在皮质醇水平恢复正常后体重增加。本病例强调了对出现低钾血症和体重减轻的患者进行广泛鉴别的必要性,以及排除高皮质醇血症的必要性。
本文章由计算机程序翻译,如有差异,请以英文原文为准。
求助全文
约1分钟内获得全文 求助全文
来源期刊
CiteScore
1.50
自引率
0.00%
发文量
142
审稿时长
9 weeks
期刊介绍: Endocrinology, Diabetes & Metabolism Case Reports publishes case reports on common and rare conditions in all areas of clinical endocrinology, diabetes and metabolism. Articles should include clear learning points which readers can use to inform medical education or clinical practice. The types of cases of interest to Endocrinology, Diabetes & Metabolism Case Reports include: -Insight into disease pathogenesis or mechanism of therapy - Novel diagnostic procedure - Novel treatment - Unique/unexpected symptoms or presentations of a disease - New disease or syndrome: presentations/diagnosis/management - Unusual effects of medical treatment - Error in diagnosis/pitfalls and caveats
×
引用
GB/T 7714-2015
复制
MLA
复制
APA
复制
导出至
BibTeX EndNote RefMan NoteFirst NoteExpress
×
提示
您的信息不完整,为了账户安全,请先补充。
现在去补充
×
提示
您因"违规操作"
具体请查看互助需知
我知道了
×
提示
确定
请完成安全验证×
copy
已复制链接
快去分享给好友吧!
我知道了
右上角分享
点击右上角分享
0
联系我们:info@booksci.cn Book学术提供免费学术资源搜索服务,方便国内外学者检索中英文文献。致力于提供最便捷和优质的服务体验。 Copyright © 2023 布克学术 All rights reserved.
京ICP备2023020795号-1
ghs 京公网安备 11010802042870号
Book学术文献互助
Book学术文献互助群
群 号:604180095
Book学术官方微信