Speech-language performance and comorbid disorders in children with perisylvian syndrome induced by viral encephalitis.

IF 2 4区 医学 Q2 PEDIATRICS
Pediatric Investigation Pub Date : 2024-07-31 eCollection Date: 2024-09-01 DOI:10.1002/ped4.12444
Dianrong Sun, Jianhui Zhao, Leihong Zhang, Rong Yu, Mei Hou
{"title":"Speech-language performance and comorbid disorders in children with perisylvian syndrome induced by viral encephalitis.","authors":"Dianrong Sun, Jianhui Zhao, Leihong Zhang, Rong Yu, Mei Hou","doi":"10.1002/ped4.12444","DOIUrl":null,"url":null,"abstract":"<p><strong>Importance: </strong>Viral encephalitis is one of the main causes of the perisylvian syndrome, which can cause damage to children's language-speech, feeding, and swallowing functions. Comprehensive assessment of language-speech and swallowing function and comorbidity research on these children will help children's rehabilitation workers to better understand the disease and strengthen the systematic management of comorbid disorders.</p><p><strong>Objective: </strong>To describe speech and language pathology and the occurrence of comorbid disorders in children with perisylvian syndrome induced by viral encephalitis.</p><p><strong>Methods: </strong>Twenty-two children with acquired perisylvian syndrome were recruited in this study. Language and speech functions, including oral motor function, swallowing function, language ability, and dysarthria were assessed in these patients. Craniocerebral magnetic resonance imaging (MRI), electroencephalogram examination, and intelligence evaluation were performed to determine brain lesions and comorbid disorders.</p><p><strong>Results: </strong>All children exhibited different degrees of oral movement, dysphagia, and speech and language disorders. There was a significant difference between expressive and receptive language ability (<i>P</i> < 0.05). There were 10, 8, and 12 children who had an intellectual disability, limb disability, and epilepsy, respectively. In addition to the damage of the peri-tegmental cortex found in MRI, thalamus lesions occurred in 19 cases and white matter involvement in six cases.</p><p><strong>Interpretation: </strong>Children with acquired perisylvian syndrome caused by viral encephalitis are characterized by persistent pseudobulbar dysfunction, speech and language impairment, and orofacial diplegia. They have a high probability of secondary epilepsy and are prone to motor and cognitive impairment, which need systematic management.</p>","PeriodicalId":19992,"journal":{"name":"Pediatric Investigation","volume":"8 3","pages":"177-183"},"PeriodicalIF":2.0000,"publicationDate":"2024-07-31","publicationTypes":"Journal Article","fieldsOfStudy":null,"isOpenAccess":false,"openAccessPdf":"https://www.ncbi.nlm.nih.gov/pmc/articles/PMC11427891/pdf/","citationCount":"0","resultStr":null,"platform":"Semanticscholar","paperid":null,"PeriodicalName":"Pediatric Investigation","FirstCategoryId":"3","ListUrlMain":"https://doi.org/10.1002/ped4.12444","RegionNum":4,"RegionCategory":"医学","ArticlePicture":[],"TitleCN":null,"AbstractTextCN":null,"PMCID":null,"EPubDate":"2024/9/1 0:00:00","PubModel":"eCollection","JCR":"Q2","JCRName":"PEDIATRICS","Score":null,"Total":0}
引用次数: 0

Abstract

Importance: Viral encephalitis is one of the main causes of the perisylvian syndrome, which can cause damage to children's language-speech, feeding, and swallowing functions. Comprehensive assessment of language-speech and swallowing function and comorbidity research on these children will help children's rehabilitation workers to better understand the disease and strengthen the systematic management of comorbid disorders.

Objective: To describe speech and language pathology and the occurrence of comorbid disorders in children with perisylvian syndrome induced by viral encephalitis.

Methods: Twenty-two children with acquired perisylvian syndrome were recruited in this study. Language and speech functions, including oral motor function, swallowing function, language ability, and dysarthria were assessed in these patients. Craniocerebral magnetic resonance imaging (MRI), electroencephalogram examination, and intelligence evaluation were performed to determine brain lesions and comorbid disorders.

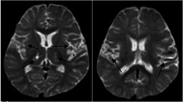
Results: All children exhibited different degrees of oral movement, dysphagia, and speech and language disorders. There was a significant difference between expressive and receptive language ability (P < 0.05). There were 10, 8, and 12 children who had an intellectual disability, limb disability, and epilepsy, respectively. In addition to the damage of the peri-tegmental cortex found in MRI, thalamus lesions occurred in 19 cases and white matter involvement in six cases.

Interpretation: Children with acquired perisylvian syndrome caused by viral encephalitis are characterized by persistent pseudobulbar dysfunction, speech and language impairment, and orofacial diplegia. They have a high probability of secondary epilepsy and are prone to motor and cognitive impairment, which need systematic management.

Abstract Image

Abstract Image

病毒性脑炎诱发的周围综合征患儿的语言表达能力和合并症。
重要性:病毒性脑炎是引起会厌综合征的主要原因之一,会对儿童的语言-言语、喂养和吞咽功能造成损害。对这些儿童进行全面的语言-言语和吞咽功能评估及合并症研究,有助于儿童康复工作者更好地了解该疾病,并加强对合并症的系统管理:描述病毒性脑炎诱发的会厌综合征患儿的言语和语言病理学以及合并症的发生情况:方法:本研究招募了 22 名患有后天性耳周综合征的儿童。评估这些患者的语言和言语功能,包括口腔运动功能、吞咽功能、语言能力和构音障碍。此外,还进行了颅脑磁共振成像(MRI)、脑电图检查和智力评估,以确定脑部病变和合并症:结果:所有患儿均表现出不同程度的口腔运动、吞咽困难以及言语和语言障碍。语言表达能力和语言接受能力之间存在明显差异(P 解释):病毒性脑炎引起的获得性会厌综合征患儿的特点是持续性假小叶功能障碍、言语和语言障碍以及口面部偏瘫。他们继发癫痫的几率很高,容易出现运动和认知障碍,需要系统的治疗。
本文章由计算机程序翻译,如有差异,请以英文原文为准。
求助全文
约1分钟内获得全文 求助全文
来源期刊
Pediatric Investigation
Pediatric Investigation Medicine-Pediatrics, Perinatology and Child Health
CiteScore
3.30
自引率
0.00%
发文量
176
审稿时长
12 weeks
×
引用
GB/T 7714-2015
复制
MLA
复制
APA
复制
导出至
BibTeX EndNote RefMan NoteFirst NoteExpress
×
提示
您的信息不完整,为了账户安全,请先补充。
现在去补充
×
提示
您因"违规操作"
具体请查看互助需知
我知道了
×
提示
确定
请完成安全验证×
copy
已复制链接
快去分享给好友吧!
我知道了
右上角分享
点击右上角分享
0
联系我们:info@booksci.cn Book学术提供免费学术资源搜索服务,方便国内外学者检索中英文文献。致力于提供最便捷和优质的服务体验。 Copyright © 2023 布克学术 All rights reserved.
京ICP备2023020795号-1
ghs 京公网安备 11010802042870号
Book学术文献互助
Book学术文献互助群
群 号:604180095
Book学术官方微信