Bilateral purtscher-like retinopathy associated with DRESS syndrome: a case report.

IF 2.3 Q1 OPHTHALMOLOGY
Langxuan Yuan, Yuchen Li, Hanze Zhang, Yucen Hou, Qianyan Kang, Jianqin Lei
{"title":"Bilateral purtscher-like retinopathy associated with DRESS syndrome: a case report.","authors":"Langxuan Yuan, Yuchen Li, Hanze Zhang, Yucen Hou, Qianyan Kang, Jianqin Lei","doi":"10.1186/s12348-024-00433-x","DOIUrl":null,"url":null,"abstract":"<p><strong>Background: </strong>To report a case of Bilateral Purtscher-like retinopathy associated with DRESS syndrome managed with ocular and systemic treatments.</p><p><strong>Case presentation: </strong>A 29-year-old healthy female developed multi-organ (cutaneous, hematologic, renal and hepatic) disfunction and profound vision loss 1 month after Human papillomavirus vaccine injection. At the first presentation, her visual acuity was counting fingers in both eyes. Fundus exam showed remarkable cotton-wool spots, retinal hemorrhages and macular edema. She was diagnosed DRESS syndrome and Purtscher-like retinopathy and treated with intravitreal injection of ranibizumab, systemic steroids anticoagulants, and plasma exchange. The patient finally recovered from this life-threatening condition but left with permanent visual damage.</p><p><strong>Conclusion: </strong>Purtscher-like retinopathy could be complicated by DRESS syndrome which is usually considered a type IV hypersensitivity reaction.</p>","PeriodicalId":16600,"journal":{"name":"Journal of Ophthalmic Inflammation and Infection","volume":"14 1","pages":"46"},"PeriodicalIF":2.3000,"publicationDate":"2024-09-30","publicationTypes":"Journal Article","fieldsOfStudy":null,"isOpenAccess":false,"openAccessPdf":"https://www.ncbi.nlm.nih.gov/pmc/articles/PMC11442731/pdf/","citationCount":"0","resultStr":null,"platform":"Semanticscholar","paperid":null,"PeriodicalName":"Journal of Ophthalmic Inflammation and Infection","FirstCategoryId":"1085","ListUrlMain":"https://doi.org/10.1186/s12348-024-00433-x","RegionNum":0,"RegionCategory":null,"ArticlePicture":[],"TitleCN":null,"AbstractTextCN":null,"PMCID":null,"EPubDate":"","PubModel":"","JCR":"Q1","JCRName":"OPHTHALMOLOGY","Score":null,"Total":0}
引用次数: 0

Abstract

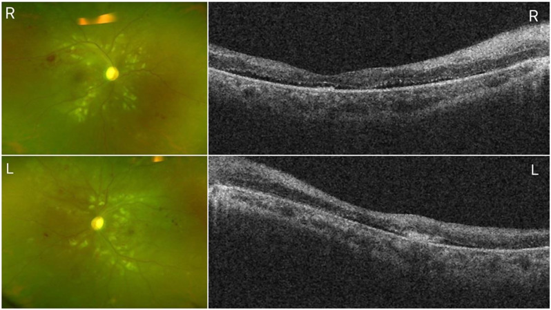
Background: To report a case of Bilateral Purtscher-like retinopathy associated with DRESS syndrome managed with ocular and systemic treatments.

Case presentation: A 29-year-old healthy female developed multi-organ (cutaneous, hematologic, renal and hepatic) disfunction and profound vision loss 1 month after Human papillomavirus vaccine injection. At the first presentation, her visual acuity was counting fingers in both eyes. Fundus exam showed remarkable cotton-wool spots, retinal hemorrhages and macular edema. She was diagnosed DRESS syndrome and Purtscher-like retinopathy and treated with intravitreal injection of ranibizumab, systemic steroids anticoagulants, and plasma exchange. The patient finally recovered from this life-threatening condition but left with permanent visual damage.

Conclusion: Purtscher-like retinopathy could be complicated by DRESS syndrome which is usually considered a type IV hypersensitivity reaction.

Abstract Image

Abstract Image

与 DRESS 综合征相关的双侧脓肿样视网膜病变:病例报告。
背景:报告一例与 DRESS 综合征相关的双侧紫癜样视网膜病变病例,该病例通过眼部和全身治疗得到了控制:一名 29 岁的健康女性在注射人乳头瘤病毒疫苗 1 个月后出现多器官(皮肤、血液、肾脏和肝脏)功能障碍和视力严重下降。首次就诊时,她的双眼视力均为数指。眼底检查显示明显的棉絮斑、视网膜出血和黄斑水肿。她被诊断为 DRESS 综合征和 Purtscher 类视网膜病变,并接受了雷尼珠单抗玻璃体内注射、全身类固醇抗凝剂和血浆置换治疗。患者最终从这一危及生命的疾病中康复,但留下了永久性视力损伤:结论:脓毒症样视网膜病变可能并发 DRESS 综合征,而 DRESS 综合征通常被认为是 IV 型超敏反应。
本文章由计算机程序翻译,如有差异,请以英文原文为准。
求助全文
约1分钟内获得全文 求助全文
来源期刊
CiteScore
3.80
自引率
3.40%
发文量
39
审稿时长
13 weeks
×
引用
GB/T 7714-2015
复制
MLA
复制
APA
复制
导出至
BibTeX EndNote RefMan NoteFirst NoteExpress
×
提示
您的信息不完整,为了账户安全,请先补充。
现在去补充
×
提示
您因"违规操作"
具体请查看互助需知
我知道了
×
提示
确定
请完成安全验证×
copy
已复制链接
快去分享给好友吧!
我知道了
右上角分享
点击右上角分享
0
联系我们:info@booksci.cn Book学术提供免费学术资源搜索服务,方便国内外学者检索中英文文献。致力于提供最便捷和优质的服务体验。 Copyright © 2023 布克学术 All rights reserved.
京ICP备2023020795号-1
ghs 京公网安备 11010802042870号
Book学术文献互助
Book学术文献互助群
群 号:604180095
Book学术官方微信