Dirofilariasis in Male Genitalia: A Case Report and Literature Review.

IF 0.9 4区 医学 Q4 PARASITOLOGY
Rūta Žulpaitė, Aušvydas Patašius, Julius Drachneris
{"title":"Dirofilariasis in Male Genitalia: A Case Report and Literature Review.","authors":"Rūta Žulpaitė, Aušvydas Patašius, Julius Drachneris","doi":"10.18502/ijpa.v19i3.16396","DOIUrl":null,"url":null,"abstract":"<p><p>Human dirofilariasis is a rare anthropo-zoonotic disease, mainly detected in Southern and Eastern Europe, Asia Minor, Central Asia, and Sri Lanka. An increasing number of autochthonous <i>Dirofilaria</i> spp. infections has been recently reported in the areas previously considered free of the disease, including northern Europe and the Baltic States. A rare autochthonous case of scrotal dirofilariasis detected in Lithuania was described. Here, a 42-year-old male presented with a 1 cm nodule, limited in the scrotum. A nodule excision was performed. On histological examination, a degenerating roundworm with the features of <i>Dirofilaria</i> spp. (multilayered cuticle, well-developed musculature, focally preserved longitudinal ridges) was detected in the abscess cavity. No additional treatment was needed. Twenty-four publications reporting 28 male genitalia dirofilariasis cases in European countries have been identified.</p>","PeriodicalId":14669,"journal":{"name":"Iranian Journal of Parasitology","volume":"19 3","pages":"358-365"},"PeriodicalIF":0.9000,"publicationDate":"2024-07-01","publicationTypes":"Journal Article","fieldsOfStudy":null,"isOpenAccess":false,"openAccessPdf":"https://www.ncbi.nlm.nih.gov/pmc/articles/PMC11417985/pdf/","citationCount":"0","resultStr":null,"platform":"Semanticscholar","paperid":null,"PeriodicalName":"Iranian Journal of Parasitology","FirstCategoryId":"3","ListUrlMain":"https://doi.org/10.18502/ijpa.v19i3.16396","RegionNum":4,"RegionCategory":"医学","ArticlePicture":[],"TitleCN":null,"AbstractTextCN":null,"PMCID":null,"EPubDate":"","PubModel":"","JCR":"Q4","JCRName":"PARASITOLOGY","Score":null,"Total":0}
引用次数: 0

Abstract

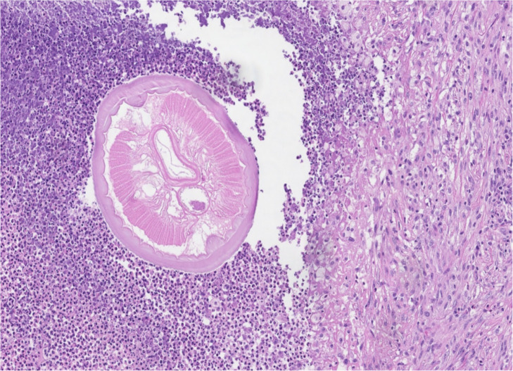
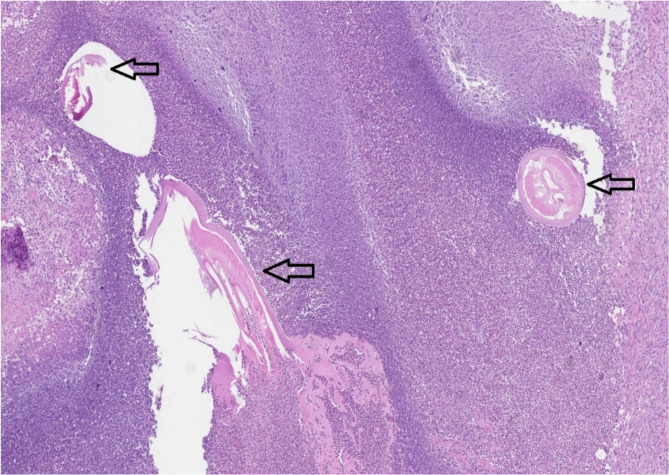
Human dirofilariasis is a rare anthropo-zoonotic disease, mainly detected in Southern and Eastern Europe, Asia Minor, Central Asia, and Sri Lanka. An increasing number of autochthonous Dirofilaria spp. infections has been recently reported in the areas previously considered free of the disease, including northern Europe and the Baltic States. A rare autochthonous case of scrotal dirofilariasis detected in Lithuania was described. Here, a 42-year-old male presented with a 1 cm nodule, limited in the scrotum. A nodule excision was performed. On histological examination, a degenerating roundworm with the features of Dirofilaria spp. (multilayered cuticle, well-developed musculature, focally preserved longitudinal ridges) was detected in the abscess cavity. No additional treatment was needed. Twenty-four publications reporting 28 male genitalia dirofilariasis cases in European countries have been identified.

Abstract Image

Abstract Image

男性生殖器中的 Dirofilariasis:病例报告与文献综述
人类口蹄疫是一种罕见的人畜共患疾病,主要发生在南欧和东欧、小亚细亚、中亚和斯里兰卡。最近,在北欧和波罗的海国家等以前被认为没有这种疾病的地区,也有越来越多的自体感染迪罗菲拉丝虫的报道。本报告描述了在立陶宛发现的一例罕见的自体阴囊二螺旋体病例。该病例中,一名 42 岁的男性出现了一个 1 厘米的结节,局限于阴囊。患者接受了结节切除术。经组织学检查,在脓腔中发现了一条退化的蛔虫,具有迪罗菲拉属的特征(多层角质层、发达的肌肉组织、局部保留的纵脊)。无需额外治疗。已发现 24 篇出版物报道了欧洲国家的 28 例男性生殖器包虫病病例。
本文章由计算机程序翻译,如有差异,请以英文原文为准。
求助全文
约1分钟内获得全文 求助全文
来源期刊
CiteScore
1.80
自引率
0.00%
发文量
55
审稿时长
6-12 weeks
期刊介绍: Iranian Journal of Parasitology (IJP) is the official publication of Iranian Society of Parasitology (ISP) launched in 2006. The society was inaugurated in 1994 and pursues the improvement of the knowledge on the parasites and parasitic diseases, exchange of scientific knowledge with foreign societies, publicity activities, and consultation on the parasitic diseases, and intimate relationship among society members. The main aims of the Journal are: contribution to the field of Parasitology, including all aspects of parasites and parasitic diseases (medical and veterinary) and related fields such as Entomology which may be submitted by scientists from Iran and all over the world.
×
引用
GB/T 7714-2015
复制
MLA
复制
APA
复制
导出至
BibTeX EndNote RefMan NoteFirst NoteExpress
×
提示
您的信息不完整,为了账户安全,请先补充。
现在去补充
×
提示
您因"违规操作"
具体请查看互助需知
我知道了
×
提示
确定
请完成安全验证×
copy
已复制链接
快去分享给好友吧!
我知道了
右上角分享
点击右上角分享
0
联系我们:info@booksci.cn Book学术提供免费学术资源搜索服务,方便国内外学者检索中英文文献。致力于提供最便捷和优质的服务体验。 Copyright © 2023 布克学术 All rights reserved.
京ICP备2023020795号-1
ghs 京公网安备 11010802042870号
Book学术文献互助
Book学术文献互助群
群 号:604180095
Book学术官方微信