Life-Threatening Bleeding in Atypical Pleomorphic Adenoma of the Soft Palate.

Q3 Medicine
Francesca Piccinini, Mario Borgione, Giuseppe Riva, Giancarlo Pecorari
{"title":"Life-Threatening Bleeding in Atypical Pleomorphic Adenoma of the Soft Palate.","authors":"Francesca Piccinini, Mario Borgione, Giuseppe Riva, Giancarlo Pecorari","doi":"10.22038/ijorl.2024.75295.3538","DOIUrl":null,"url":null,"abstract":"<p><strong>Introduction: </strong>Atypical pleomorphic adenoma (PA) is an uncommon tumor, more frequent in submandibular and parotid glands. PA is classified as atypical when it presents hypercellularity, necrosis or hyalinization, dysplasia, capsular violation or distant metastases.</p><p><strong>Case report: </strong>We described a case of a 39-year-old female presented with a slowly growing mass involving the soft palate. A life-threatening bleeding from PA with hemorrhagic shock occurred and required ligation of the external carotid artery with tracheotomy. A transoral en-bloc excision of the mass (70 x 50 x 40 mm) was performed. Pathological exam demonstrated an atypical PA, with hypercellular fields and myoepithelial and squamous differentiation.</p><p><strong>Conclusion: </strong>An appropriate diagnostic evaluation and a prompt intervention are essential to avoid dangerous complications, even for benign neoplasms.</p>","PeriodicalId":14607,"journal":{"name":"Iranian Journal of Otorhinolaryngology","volume":"36 5","pages":"627-630"},"PeriodicalIF":0.0000,"publicationDate":"2024-09-01","publicationTypes":"Journal Article","fieldsOfStudy":null,"isOpenAccess":false,"openAccessPdf":"https://www.ncbi.nlm.nih.gov/pmc/articles/PMC11421767/pdf/","citationCount":"0","resultStr":null,"platform":"Semanticscholar","paperid":null,"PeriodicalName":"Iranian Journal of Otorhinolaryngology","FirstCategoryId":"1085","ListUrlMain":"https://doi.org/10.22038/ijorl.2024.75295.3538","RegionNum":0,"RegionCategory":null,"ArticlePicture":[],"TitleCN":null,"AbstractTextCN":null,"PMCID":null,"EPubDate":"","PubModel":"","JCR":"Q3","JCRName":"Medicine","Score":null,"Total":0}
引用次数: 0

Abstract

Introduction: Atypical pleomorphic adenoma (PA) is an uncommon tumor, more frequent in submandibular and parotid glands. PA is classified as atypical when it presents hypercellularity, necrosis or hyalinization, dysplasia, capsular violation or distant metastases.

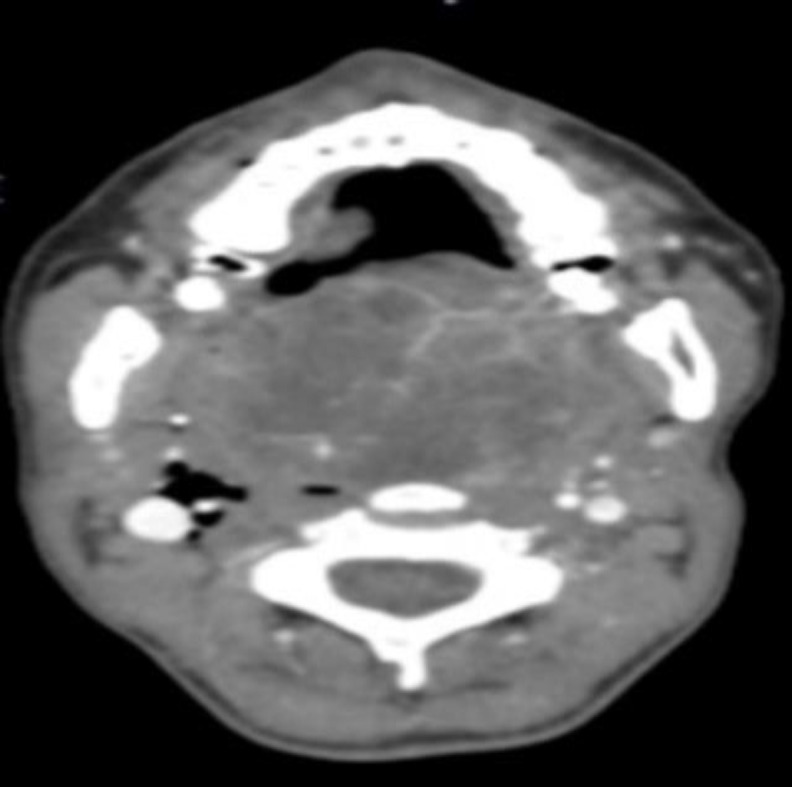
Case report: We described a case of a 39-year-old female presented with a slowly growing mass involving the soft palate. A life-threatening bleeding from PA with hemorrhagic shock occurred and required ligation of the external carotid artery with tracheotomy. A transoral en-bloc excision of the mass (70 x 50 x 40 mm) was performed. Pathological exam demonstrated an atypical PA, with hypercellular fields and myoepithelial and squamous differentiation.

Conclusion: An appropriate diagnostic evaluation and a prompt intervention are essential to avoid dangerous complications, even for benign neoplasms.

Abstract Image

Abstract Image

Abstract Image

软腭非典型多形性腺瘤危及生命的出血。
导言:非典型多形性腺瘤(PA)是一种不常见的肿瘤,多发于颌下腺和腮腺。当PA出现高细胞性、坏死或透明化、发育不良、囊侵犯或远处转移时,就会被归类为非典型多形性腺瘤:我们描述了一例 39 岁女性的病例,她的软腭肿块生长缓慢。PA大出血并伴有失血性休克,危及生命,需要结扎颈外动脉并进行气管切开。手术对肿块(70 x 50 x 40 毫米)进行了经口全切。病理检查显示为非典型PA,有高细胞野、肌上皮和鳞状分化:结论:要避免危险的并发症,即使是良性肿瘤,也必须进行适当的诊断评估和及时干预。
本文章由计算机程序翻译,如有差异,请以英文原文为准。
求助全文
约1分钟内获得全文 求助全文
来源期刊
Iranian Journal of Otorhinolaryngology
Iranian Journal of Otorhinolaryngology Medicine-Otorhinolaryngology
CiteScore
1.30
自引率
0.00%
发文量
72
审稿时长
12 weeks
×
引用
GB/T 7714-2015
复制
MLA
复制
APA
复制
导出至
BibTeX EndNote RefMan NoteFirst NoteExpress
×
提示
您的信息不完整,为了账户安全,请先补充。
现在去补充
×
提示
您因"违规操作"
具体请查看互助需知
我知道了
×
提示
确定
请完成安全验证×
copy
已复制链接
快去分享给好友吧!
我知道了
右上角分享
点击右上角分享
0
联系我们:info@booksci.cn Book学术提供免费学术资源搜索服务,方便国内外学者检索中英文文献。致力于提供最便捷和优质的服务体验。 Copyright © 2023 布克学术 All rights reserved.
京ICP备2023020795号-1
ghs 京公网安备 11010802042870号
Book学术文献互助
Book学术文献互助群
群 号:604180095
Book学术官方微信