Real-world treatment outcomes for Hodgkin lymphoma in South Africa: a prospective observational study.

IF 2.8 2区 医学 Q3 IMMUNOLOGY
Samantha L Vogt, Garrick Laudin, Marianna Zahurak, Jenifer Vaughan, Atul Lakha, Sugeshnee Pather, Ziyaad Waja, Deshan Chetty, Tanvier Omar, Wendy Stevens, Philippa Ashmore, Kennedy Otwombe, Khuthadzo Hlongwane, Ravi Varadhan, Moosa Patel, Richard F Ambinder, Neil A Martinson, Rena R Xian, Vinitha Philip
{"title":"Real-world treatment outcomes for Hodgkin lymphoma in South Africa: a prospective observational study.","authors":"Samantha L Vogt, Garrick Laudin, Marianna Zahurak, Jenifer Vaughan, Atul Lakha, Sugeshnee Pather, Ziyaad Waja, Deshan Chetty, Tanvier Omar, Wendy Stevens, Philippa Ashmore, Kennedy Otwombe, Khuthadzo Hlongwane, Ravi Varadhan, Moosa Patel, Richard F Ambinder, Neil A Martinson, Rena R Xian, Vinitha Philip","doi":"10.1186/s13027-024-00612-4","DOIUrl":null,"url":null,"abstract":"<p><strong>Background: </strong>Prospective data from sub-Saharan Africa suggests that treatment outcomes for people living with HIV (PWH) with Hodgkin lymphoma (HL) are similar to those without HIV. However, real-world data from high-resource settings and retrospective studies from sub-Saharan Africa, suggest inferior outcomes. We set out to evaluate the real-world treatment outcomes for HL in South Africa to better understand the disparate outcomes.</p><p><strong>Methods: </strong>We established a prospective, observational cohort of newly diagnosed, adult (≥ 18 years) HL cases recruited from Chris Hani Baragwanath Academic and Netcare Olivedale Hospitals in Johannesburg, South Africa between March 2021 and March 2023. Participants were followed for up to 18 months after enrollment with data censored on December 23rd, 2023. The primary endpoint was 1-year overall survival.</p><p><strong>Results: </strong>We enrolled 47 participants with HL including 31 PWH and 16 HIV-negative. Advanced stage disease and B symptoms were common at time of diagnosis irrespective of HIV status. Bone marrow biopsy, performed during the work-up and evaluation of cytopenias, provided the initial diagnosis of HL in 16/31 (52%) PWH. HIV status and bone marrow involvement were associated with early mortality (within 3 months of diagnosis) and a poorer 1-year overall survival from diagnosis (HIV: 55% vs. 88%; p = 0.03; bone marrow involvement: 50% vs. 80%; p = 0.02). Among evaluable participants, those that received at least 6 cycles of chemotherapy and underwent response assessment, there was no difference between those with and without HIV.</p><p><strong>Conclusion: </strong>Traditional laboratory markers of poor prognosis including anemia, lymphopenia and hypoalbuminemia were more common among PWH and those with bone marrow involvement and suggest high risk disease. A better understanding of the drivers of these aggressive presentations is warranted to ensure more PWH are able to tolerate chemotherapy.</p>","PeriodicalId":13568,"journal":{"name":"Infectious Agents and Cancer","volume":"19 1","pages":"46"},"PeriodicalIF":2.8000,"publicationDate":"2024-09-27","publicationTypes":"Journal Article","fieldsOfStudy":null,"isOpenAccess":false,"openAccessPdf":"https://www.ncbi.nlm.nih.gov/pmc/articles/PMC11428538/pdf/","citationCount":"0","resultStr":null,"platform":"Semanticscholar","paperid":null,"PeriodicalName":"Infectious Agents and Cancer","FirstCategoryId":"3","ListUrlMain":"https://doi.org/10.1186/s13027-024-00612-4","RegionNum":2,"RegionCategory":"医学","ArticlePicture":[],"TitleCN":null,"AbstractTextCN":null,"PMCID":null,"EPubDate":"","PubModel":"","JCR":"Q3","JCRName":"IMMUNOLOGY","Score":null,"Total":0}
引用次数: 0

Abstract

Background: Prospective data from sub-Saharan Africa suggests that treatment outcomes for people living with HIV (PWH) with Hodgkin lymphoma (HL) are similar to those without HIV. However, real-world data from high-resource settings and retrospective studies from sub-Saharan Africa, suggest inferior outcomes. We set out to evaluate the real-world treatment outcomes for HL in South Africa to better understand the disparate outcomes.

Methods: We established a prospective, observational cohort of newly diagnosed, adult (≥ 18 years) HL cases recruited from Chris Hani Baragwanath Academic and Netcare Olivedale Hospitals in Johannesburg, South Africa between March 2021 and March 2023. Participants were followed for up to 18 months after enrollment with data censored on December 23rd, 2023. The primary endpoint was 1-year overall survival.

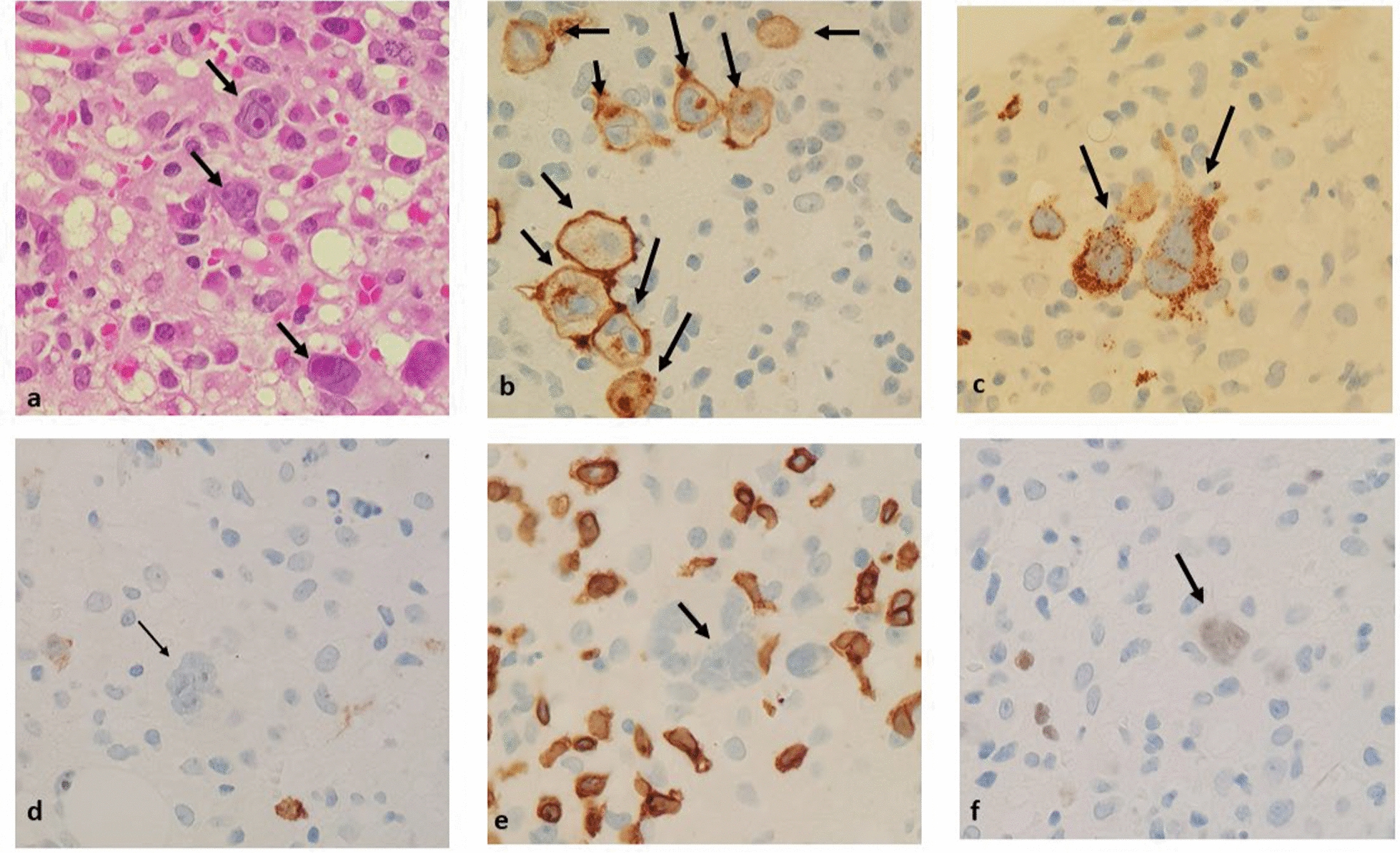
Results: We enrolled 47 participants with HL including 31 PWH and 16 HIV-negative. Advanced stage disease and B symptoms were common at time of diagnosis irrespective of HIV status. Bone marrow biopsy, performed during the work-up and evaluation of cytopenias, provided the initial diagnosis of HL in 16/31 (52%) PWH. HIV status and bone marrow involvement were associated with early mortality (within 3 months of diagnosis) and a poorer 1-year overall survival from diagnosis (HIV: 55% vs. 88%; p = 0.03; bone marrow involvement: 50% vs. 80%; p = 0.02). Among evaluable participants, those that received at least 6 cycles of chemotherapy and underwent response assessment, there was no difference between those with and without HIV.

Conclusion: Traditional laboratory markers of poor prognosis including anemia, lymphopenia and hypoalbuminemia were more common among PWH and those with bone marrow involvement and suggest high risk disease. A better understanding of the drivers of these aggressive presentations is warranted to ensure more PWH are able to tolerate chemotherapy.

Abstract Image

Abstract Image

Abstract Image

南非霍奇金淋巴瘤的实际治疗效果:一项前瞻性观察研究。
背景:撒哈拉以南非洲地区的前瞻性数据表明,患有霍奇金淋巴瘤(HL)的艾滋病病毒感染者(PWH)的治疗效果与未感染艾滋病病毒的患者相似。然而,来自高资源环境的实际数据和撒哈拉以南非洲的回顾性研究表明,治疗效果较差。我们开始评估南非 HL 的实际治疗效果,以更好地了解不同的治疗效果:我们在 2021 年 3 月至 2023 年 3 月期间从南非约翰内斯堡的克里斯-哈尼-巴拉夸那思学术医院和 Netcare Olivedale 医院招募了新诊断出的成人(≥ 18 岁)HL 病例,建立了一个前瞻性观察队列。参与者在入组后接受长达 18 个月的随访,数据于 2023 年 12 月 23 日截止。主要终点为1年总生存期:我们共招募了 47 名 HL 患者,包括 31 名 PWH 和 16 名 HIV 阴性患者。无论艾滋病毒感染状况如何,晚期疾病和 B 型症状在诊断时都很常见。骨髓活检是在检查和评估细胞减少症时进行的,16/31(52%)名 PWH 患者的初步诊断为 HL。艾滋病病毒感染状况和骨髓受累与早期死亡率(诊断后 3 个月内)和诊断后 1 年总生存率较低有关(艾滋病病毒感染:55% 对 88%;P = 0.03;骨髓受累:50% 对 80%;P = 0.02)。在接受了至少6个周期化疗并进行了反应评估的可评估参与者中,感染艾滋病毒和未感染艾滋病毒的参与者之间没有差异:结论:预后不良的传统实验室指标包括贫血、淋巴细胞减少和低白蛋白血症,这些指标在PWH和骨髓受累者中更为常见,表明疾病风险较高。有必要更好地了解这些侵袭性表现的驱动因素,以确保更多的PWH能够耐受化疗。
本文章由计算机程序翻译,如有差异,请以英文原文为准。
求助全文
约1分钟内获得全文 求助全文
来源期刊
Infectious Agents and Cancer
Infectious Agents and Cancer ONCOLOGY-IMMUNOLOGY
CiteScore
5.80
自引率
2.70%
发文量
54
期刊介绍: Infectious Agents and Cancer is an open access, peer-reviewed online journal that encompasses all aspects of basic, clinical, epidemiological and translational research providing an insight into the association between chronic infections and cancer. The journal welcomes submissions in the pathogen-related cancer areas and other related topics, in particular: • HPV and anogenital cancers, as well as head and neck cancers; • EBV and Burkitt lymphoma; • HCV/HBV and hepatocellular carcinoma as well as lymphoproliferative diseases; • HHV8 and Kaposi sarcoma; • HTLV and leukemia; • Cancers in Low- and Middle-income countries. The link between infection and cancer has become well established over the past 50 years, and infection-associated cancer contribute up to 16% of cancers in developed countries and 33% in less developed countries. Preventive vaccines have been developed for only two cancer-causing viruses, highlighting both the opportunity to prevent infection-associated cancers by vaccination and the gaps that remain before vaccines can be developed for other cancer-causing agents. These gaps are due to incomplete understanding of the basic biology, natural history, epidemiology of many of the pathogens that cause cancer, the mechanisms they exploit to cause cancer, and how to interrupt progression to cancer in human populations. Early diagnosis or identification of lesions at high risk of progression represent the current most critical research area of the field supported by recent advances in genomics and proteomics technologies.
×
引用
GB/T 7714-2015
复制
MLA
复制
APA
复制
导出至
BibTeX EndNote RefMan NoteFirst NoteExpress
×
提示
您的信息不完整,为了账户安全,请先补充。
现在去补充
×
提示
您因"违规操作"
具体请查看互助需知
我知道了
×
提示
确定
请完成安全验证×
copy
已复制链接
快去分享给好友吧!
我知道了
右上角分享
点击右上角分享
0
联系我们:info@booksci.cn Book学术提供免费学术资源搜索服务,方便国内外学者检索中英文文献。致力于提供最便捷和优质的服务体验。 Copyright © 2023 布克学术 All rights reserved.
京ICP备2023020795号-1
ghs 京公网安备 11010802042870号
Book学术文献互助
Book学术文献互助群
群 号:604180095
Book学术官方微信