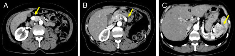
Contrast-enhanced harmonic EUS with time-intensity curve analysis useful for diagnosis of pancreatic metastasis from renal cell carcinoma (with videos).

IF 5.4 1区 医学 Q1 GASTROENTEROLOGY & HEPATOLOGY
Endoscopic Ultrasound Pub Date : 2024-05-01 Epub Date: 2024-06-25 DOI:10.1097/eus.0000000000000064
Asumi Saima, Hideaki Kazumori, Hiroaki Tsunoda, Koji Onishi, Kousaku Kawashima
{"title":"Contrast-enhanced harmonic EUS with time-intensity curve analysis useful for diagnosis of pancreatic metastasis from renal cell carcinoma (with videos).","authors":"Asumi Saima, Hideaki Kazumori, Hiroaki Tsunoda, Koji Onishi, Kousaku Kawashima","doi":"10.1097/eus.0000000000000064","DOIUrl":null,"url":null,"abstract":"","PeriodicalId":11577,"journal":{"name":"Endoscopic Ultrasound","volume":"13 3","pages":"201-204"},"PeriodicalIF":5.4000,"publicationDate":"2024-05-01","publicationTypes":"Journal Article","fieldsOfStudy":null,"isOpenAccess":false,"openAccessPdf":"https://www.ncbi.nlm.nih.gov/pmc/articles/PMC11419544/pdf/","citationCount":"0","resultStr":null,"platform":"Semanticscholar","paperid":null,"PeriodicalName":"Endoscopic Ultrasound","FirstCategoryId":"3","ListUrlMain":"https://doi.org/10.1097/eus.0000000000000064","RegionNum":1,"RegionCategory":"医学","ArticlePicture":[],"TitleCN":null,"AbstractTextCN":null,"PMCID":null,"EPubDate":"2024/6/25 0:00:00","PubModel":"Epub","JCR":"Q1","JCRName":"GASTROENTEROLOGY & HEPATOLOGY","Score":null,"Total":0}
引用次数: 0

Abstract Image

Abstract Image

Abstract Image

对比增强谐波 EUS 与时间强度曲线分析有助于诊断肾细胞癌的胰腺转移(附视频)。
本文章由计算机程序翻译,如有差异,请以英文原文为准。
求助全文
约1分钟内获得全文 求助全文
来源期刊
Endoscopic Ultrasound
Endoscopic Ultrasound GASTROENTEROLOGY & HEPATOLOGY-
CiteScore
6.20
自引率
11.10%
发文量
144
期刊介绍: Endoscopic Ultrasound, a publication of Euro-EUS Scientific Committee, Asia-Pacific EUS Task Force and Latin American Chapter of EUS, is a peer-reviewed online journal with Quarterly print on demand compilation of issues published. The journal’s full text is available online at http://www.eusjournal.com. The journal allows free access (Open Access) to its contents and permits authors to self-archive final accepted version of the articles on any OAI-compliant institutional / subject-based repository. The journal does not charge for submission, processing or publication of manuscripts and even for color reproduction of photographs.
×
引用
GB/T 7714-2015
复制
MLA
复制
APA
复制
导出至
BibTeX EndNote RefMan NoteFirst NoteExpress
×
提示
您的信息不完整,为了账户安全,请先补充。
现在去补充
×
提示
您因"违规操作"
具体请查看互助需知
我知道了
×
提示
确定
请完成安全验证×
copy
已复制链接
快去分享给好友吧!
我知道了
右上角分享
点击右上角分享
0
联系我们:info@booksci.cn Book学术提供免费学术资源搜索服务,方便国内外学者检索中英文文献。致力于提供最便捷和优质的服务体验。 Copyright © 2023 布克学术 All rights reserved.
京ICP备2023020795号-1
ghs 京公网安备 11010802042870号
Book学术文献互助
Book学术文献互助群
群 号:604180095
Book学术官方微信