Refractory Myasthenia Gravis and Concurrent Alopecia Areata Postthymectomy With Improvements After Cortisone Taper: A Case Report.

IF 0.9 Q4 ENDOCRINOLOGY & METABOLISM
Case Reports in Endocrinology Pub Date : 2024-09-19 eCollection Date: 2024-01-01 DOI:10.1155/2024/5556012
Baraa Alghalyini, Huda Dahman, Abdul Rehman Zia Zaidi, Fathima Aasiya Tehreemah Raziq, Mohammad Amin Alswes
{"title":"Refractory Myasthenia Gravis and Concurrent Alopecia Areata Postthymectomy With Improvements After Cortisone Taper: A Case Report.","authors":"Baraa Alghalyini, Huda Dahman, Abdul Rehman Zia Zaidi, Fathima Aasiya Tehreemah Raziq, Mohammad Amin Alswes","doi":"10.1155/2024/5556012","DOIUrl":null,"url":null,"abstract":"<p><p>This case report presents a unique clinical scenario of a 58-year-old male suffering from severe refractory myasthenia gravis and concurrent alopecia areata postthymectomy. Myasthenia gravis, a common autoimmune disorder, is characterized by muscle weakness due to autoantibodies targeting neuromuscular junction proteins. Alopecia areata, another autoimmune disease, is often seen in individuals with myasthenia gravis, suggesting a shared immunological basis. The patient's condition was resistant to conventional treatment, and he developed alopecia areata following thymectomy. Despite the challenges in managing refractory myasthenia gravis and the associated alopecia areata, significant improvements were observed following a cortisone taper. This case highlights the potential therapeutic role of cortisone tapering in managing refractory myasthenia gravis and associated alopecia areata. This case also prompts further exploration into the immunological shifts following thymectomy, particularly its potential role in triggering alopecia areata.</p>","PeriodicalId":9621,"journal":{"name":"Case Reports in Endocrinology","volume":"2024 ","pages":"5556012"},"PeriodicalIF":0.9000,"publicationDate":"2024-09-19","publicationTypes":"Journal Article","fieldsOfStudy":null,"isOpenAccess":false,"openAccessPdf":"https://www.ncbi.nlm.nih.gov/pmc/articles/PMC11427716/pdf/","citationCount":"0","resultStr":null,"platform":"Semanticscholar","paperid":null,"PeriodicalName":"Case Reports in Endocrinology","FirstCategoryId":"1085","ListUrlMain":"https://doi.org/10.1155/2024/5556012","RegionNum":0,"RegionCategory":null,"ArticlePicture":[],"TitleCN":null,"AbstractTextCN":null,"PMCID":null,"EPubDate":"2024/1/1 0:00:00","PubModel":"eCollection","JCR":"Q4","JCRName":"ENDOCRINOLOGY & METABOLISM","Score":null,"Total":0}
引用次数: 0

Abstract

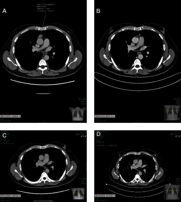
This case report presents a unique clinical scenario of a 58-year-old male suffering from severe refractory myasthenia gravis and concurrent alopecia areata postthymectomy. Myasthenia gravis, a common autoimmune disorder, is characterized by muscle weakness due to autoantibodies targeting neuromuscular junction proteins. Alopecia areata, another autoimmune disease, is often seen in individuals with myasthenia gravis, suggesting a shared immunological basis. The patient's condition was resistant to conventional treatment, and he developed alopecia areata following thymectomy. Despite the challenges in managing refractory myasthenia gravis and the associated alopecia areata, significant improvements were observed following a cortisone taper. This case highlights the potential therapeutic role of cortisone tapering in managing refractory myasthenia gravis and associated alopecia areata. This case also prompts further exploration into the immunological shifts following thymectomy, particularly its potential role in triggering alopecia areata.

Abstract Image

Abstract Image

Abstract Image

胸腺切除术后,难治性肌无力和并发脱发在减少可的松用量后有所改善:病例报告。
本病例报告介绍了一个独特的临床病例,患者是一名 58 岁的男性,患有严重的难治性肌无力症,并在胸腺切除术后并发斑秃。重症肌无力是一种常见的自身免疫性疾病,其特征是由于针对神经肌肉接头蛋白的自身抗体导致肌肉无力。斑秃是另一种自身免疫性疾病,经常出现在重症肌无力患者身上,这表明斑秃与重症肌无力有着共同的免疫学基础。患者的病情对常规治疗产生了抗药性,胸腺切除术后出现了斑秃。尽管治疗难治性重症肌无力和相关性脱发是一项挑战,但在减少可的松用量后,病情得到了明显改善。本病例强调了可的松减量在治疗难治性肌无力和相关性脱发方面的潜在治疗作用。该病例还促使人们进一步探索胸腺切除术后的免疫学变化,特别是其在诱发斑秃方面的潜在作用。
本文章由计算机程序翻译,如有差异,请以英文原文为准。
求助全文
约1分钟内获得全文 求助全文
来源期刊
Case Reports in Endocrinology
Case Reports in Endocrinology ENDOCRINOLOGY & METABOLISM-
CiteScore
2.10
自引率
0.00%
发文量
45
审稿时长
13 weeks
×
引用
GB/T 7714-2015
复制
MLA
复制
APA
复制
导出至
BibTeX EndNote RefMan NoteFirst NoteExpress
×
提示
您的信息不完整,为了账户安全,请先补充。
现在去补充
×
提示
您因"违规操作"
具体请查看互助需知
我知道了
×
提示
确定
请完成安全验证×
copy
已复制链接
快去分享给好友吧!
我知道了
右上角分享
点击右上角分享
0
联系我们:info@booksci.cn Book学术提供免费学术资源搜索服务,方便国内外学者检索中英文文献。致力于提供最便捷和优质的服务体验。 Copyright © 2023 布克学术 All rights reserved.
京ICP备2023020795号-1
ghs 京公网安备 11010802042870号
Book学术文献互助
Book学术文献互助群
群 号:604180095
Book学术官方微信