International Academy of Cytology standardized reporting of breast fine-needle aspiration cytology with cyto-histopathological correlation of breast carcinoma.

IF 3 Q3 PATHOLOGY
Shweta Pai
{"title":"International Academy of Cytology standardized reporting of breast fine-needle aspiration cytology with cyto-histopathological correlation of breast carcinoma.","authors":"Shweta Pai","doi":"10.4132/jptm.2024.07.14","DOIUrl":null,"url":null,"abstract":"<p><strong>Background: </strong>The International Academy of Cytology (IAC) has developed a standardized approach for reporting the findings of breast fine-needle aspiration cytology (FNAC). Accordingly, there are five chief categories of breast lesions, C1 (insufficient material), C2 (benign), C3 (atypical), C4 (suspicious), and C5 (malignant). The prognostication and management of breast carcinoma can be performed readily on the basis of this classification system. The aim of this study was to classify various breast lesions into one of the above-named categories and to further grade the C5 lesions specifically using the Robinson system. The latter grades were then correlated with modified Scarff-Bloom-Richardson (SBR) grades.</p><p><strong>Methods: </strong>This retrospective study was undertaken in the pathology department of a hospital located in the urban part of the city of Bangalore. All FNAC procedures performed on breast lumps spanning the year 2020 were included in the study.</p><p><strong>Results: </strong>A total of 205 breast lesions was classified according to the IAC guidelines into C1 (6 cases, 2.9%), C2 (151 cases, 73.7%), C3 (13 cases, 6.3%), C4 (5 cases, 2.5%), and C5 (30 cases, 14.6%) groups. The C5 cases were further graded using Robinson's system. The latter showed a significant correlation with the SBR system (concordance=83.3%, Spearman correlation=0.746, Kendall's tau-b=0.736, kappa=0.661, standard error=0.095, p≤.001).</p><p><strong>Conclusions: </strong>A standardized approach for FNAC reporting of breast lesions, as advocated for by the IAC, improves the quality and clarity of the reports and assures diagnostic reproducibility on a global scale. Further, the cytological grading of C5 lesions provides reliable cyto-prognostic scores that can help assess a tumor's aggressiveness and predict its histological grade.</p>","PeriodicalId":46933,"journal":{"name":"Journal of Pathology and Translational Medicine","volume":"58 5","pages":"241-248"},"PeriodicalIF":3.0000,"publicationDate":"2024-09-01","publicationTypes":"Journal Article","fieldsOfStudy":null,"isOpenAccess":false,"openAccessPdf":"https://www.ncbi.nlm.nih.gov/pmc/articles/PMC11424197/pdf/","citationCount":"0","resultStr":null,"platform":"Semanticscholar","paperid":null,"PeriodicalName":"Journal of Pathology and Translational Medicine","FirstCategoryId":"1085","ListUrlMain":"https://doi.org/10.4132/jptm.2024.07.14","RegionNum":0,"RegionCategory":null,"ArticlePicture":[],"TitleCN":null,"AbstractTextCN":null,"PMCID":null,"EPubDate":"2024/9/13 0:00:00","PubModel":"Epub","JCR":"Q3","JCRName":"PATHOLOGY","Score":null,"Total":0}
引用次数: 0

Abstract

Background: The International Academy of Cytology (IAC) has developed a standardized approach for reporting the findings of breast fine-needle aspiration cytology (FNAC). Accordingly, there are five chief categories of breast lesions, C1 (insufficient material), C2 (benign), C3 (atypical), C4 (suspicious), and C5 (malignant). The prognostication and management of breast carcinoma can be performed readily on the basis of this classification system. The aim of this study was to classify various breast lesions into one of the above-named categories and to further grade the C5 lesions specifically using the Robinson system. The latter grades were then correlated with modified Scarff-Bloom-Richardson (SBR) grades.

Methods: This retrospective study was undertaken in the pathology department of a hospital located in the urban part of the city of Bangalore. All FNAC procedures performed on breast lumps spanning the year 2020 were included in the study.

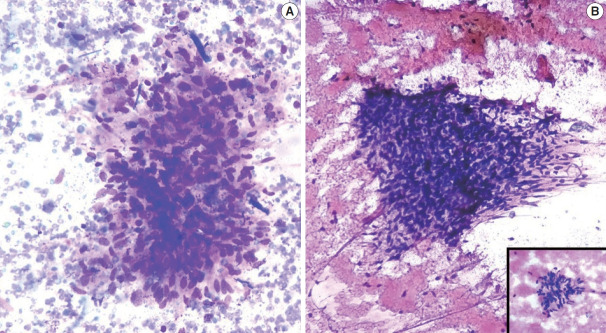
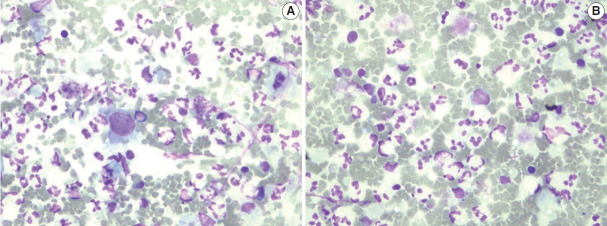
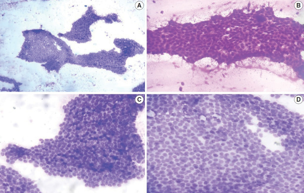
Results: A total of 205 breast lesions was classified according to the IAC guidelines into C1 (6 cases, 2.9%), C2 (151 cases, 73.7%), C3 (13 cases, 6.3%), C4 (5 cases, 2.5%), and C5 (30 cases, 14.6%) groups. The C5 cases were further graded using Robinson's system. The latter showed a significant correlation with the SBR system (concordance=83.3%, Spearman correlation=0.746, Kendall's tau-b=0.736, kappa=0.661, standard error=0.095, p≤.001).

Conclusions: A standardized approach for FNAC reporting of breast lesions, as advocated for by the IAC, improves the quality and clarity of the reports and assures diagnostic reproducibility on a global scale. Further, the cytological grading of C5 lesions provides reliable cyto-prognostic scores that can help assess a tumor's aggressiveness and predict its histological grade.

Abstract Image

Abstract Image

Abstract Image

国际细胞学学会乳腺细针穿刺细胞学标准报告与乳腺癌细胞组织病理学相关性。
背景:国际细胞学学会(IAC)为报告乳腺细针穿刺细胞学检查(FNAC)结果制定了一套标准化方法。据此,乳腺病变可分为五大类:C1(材料不足)、C2(良性)、C3(非典型)、C4(可疑)和 C5(恶性)。根据这一分类系统,可以很容易地对乳腺癌进行预后判断和治疗。本研究的目的是将各种乳腺病变归入上述类别之一,并使用罗宾逊系统对 C5 病变进行具体分级。然后将后一种分级与改良的斯卡夫-布卢姆-理查森(SBR)分级相关联:这项回顾性研究在班加罗尔市区一家医院的病理科进行。研究纳入了 2020 年期间对乳腺肿块进行的所有 FNAC 手术:根据 IAC 指南,共有 205 例乳腺病变被分为 C1(6 例,2.9%)、C2(151 例,73.7%)、C3(13 例,6.3%)、C4(5 例,2.5%)和 C5(30 例,14.6%)组。罗宾逊系统对 C5 病例进行了进一步分级。后者与SBR系统显示出明显的相关性(一致性=83.3%,Spearman相关性=0.746,Kendall's tau-b=0.736,kappa=0.661,标准误差=0.095,p≤.001):IAC倡导的乳腺病变FNAC报告标准化方法提高了报告的质量和清晰度,确保了全球范围内诊断的可重复性。此外,C5 病变的细胞学分级提供了可靠的细胞预后评分,有助于评估肿瘤的侵袭性并预测其组织学分级。
本文章由计算机程序翻译,如有差异,请以英文原文为准。
求助全文
约1分钟内获得全文 求助全文
来源期刊
CiteScore
5.00
自引率
4.20%
发文量
45
审稿时长
14 weeks
期刊介绍: The Journal of Pathology and Translational Medicine is an open venue for the rapid publication of major achievements in various fields of pathology, cytopathology, and biomedical and translational research. The Journal aims to share new insights into the molecular and cellular mechanisms of human diseases and to report major advances in both experimental and clinical medicine, with a particular emphasis on translational research. The investigations of human cells and tissues using high-dimensional biology techniques such as genomics and proteomics will be given a high priority. Articles on stem cell biology are also welcome. The categories of manuscript include original articles, review and perspective articles, case studies, brief case reports, and letters to the editor.
×
引用
GB/T 7714-2015
复制
MLA
复制
APA
复制
导出至
BibTeX EndNote RefMan NoteFirst NoteExpress
×
提示
您的信息不完整,为了账户安全,请先补充。
现在去补充
×
提示
您因"违规操作"
具体请查看互助需知
我知道了
×
提示
确定
请完成安全验证×
copy
已复制链接
快去分享给好友吧!
我知道了
右上角分享
点击右上角分享
0
联系我们:info@booksci.cn Book学术提供免费学术资源搜索服务,方便国内外学者检索中英文文献。致力于提供最便捷和优质的服务体验。 Copyright © 2023 布克学术 All rights reserved.
京ICP备2023020795号-1
ghs 京公网安备 11010802042870号
Book学术文献互助
Book学术文献互助群
群 号:604180095
Book学术官方微信