Double Segmental Femoral Fracture: A Rare Injury Following High-Energy Trauma.

IF 0.9
Journal of medical cases Pub Date : 2024-10-01 Epub Date: 2024-09-20 DOI:10.14740/jmc4298
Athanasios Galanis, Michail Vavourakis, Spyridon Karampitianis, Panagiotis Karampinas, Evangelos Sakellariou, Georgios Tsalimas, Iordanis Varsamos, Angelos Kaspiris, Elias Vasiliadis
{"title":"Double Segmental Femoral Fracture: A Rare Injury Following High-Energy Trauma.","authors":"Athanasios Galanis, Michail Vavourakis, Spyridon Karampitianis, Panagiotis Karampinas, Evangelos Sakellariou, Georgios Tsalimas, Iordanis Varsamos, Angelos Kaspiris, Elias Vasiliadis","doi":"10.14740/jmc4298","DOIUrl":null,"url":null,"abstract":"<p><p>Femoral fractures are indubitably common injuries that can occur either from high-energy trauma in young patients or due to fragility in the geriatric population. Femoral fractures affecting two or more regions of the femur are exceedingly infrequent injuries, ordinarily caused by high-energy trauma and are considered segmental femoral fractures. We present a rare case of a 33-year-old male patient presented to our Emergency Department with multiple femoral fractures at the subtrochanteric, diaphyseal and supracondylar femoral regions, a condition regarded as double segmental femoral fracture. After assiduous consideration of treatment options, intramedullary nailing was employed for osteosynthesis. Fracture reduction was laborious, as an entirely separated femoral fragment was present between the fracture lines. The reaming process required paramount attentiveness as the middle femoral fragment was prone to rotational displacement by the reamer. Finally, the intramedullary nail was successfully placed, and the patient was discharged without complications after 11 days of hospitalization. Currently, the patient is capable of full weight-bearing without crutches. This paper underlines the challenges that double-segmental femoral fractures' treatment can bring on to the orthopedic surgeon.</p>","PeriodicalId":101328,"journal":{"name":"Journal of medical cases","volume":"15 10","pages":"297-303"},"PeriodicalIF":0.9000,"publicationDate":"2024-10-01","publicationTypes":"Journal Article","fieldsOfStudy":null,"isOpenAccess":false,"openAccessPdf":"https://www.ncbi.nlm.nih.gov/pmc/articles/PMC11424103/pdf/","citationCount":"0","resultStr":null,"platform":"Semanticscholar","paperid":null,"PeriodicalName":"Journal of medical cases","FirstCategoryId":"1085","ListUrlMain":"https://doi.org/10.14740/jmc4298","RegionNum":0,"RegionCategory":null,"ArticlePicture":[],"TitleCN":null,"AbstractTextCN":null,"PMCID":null,"EPubDate":"2024/9/20 0:00:00","PubModel":"Epub","JCR":"","JCRName":"","Score":null,"Total":0}
引用次数: 0

Abstract

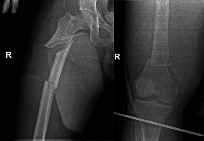
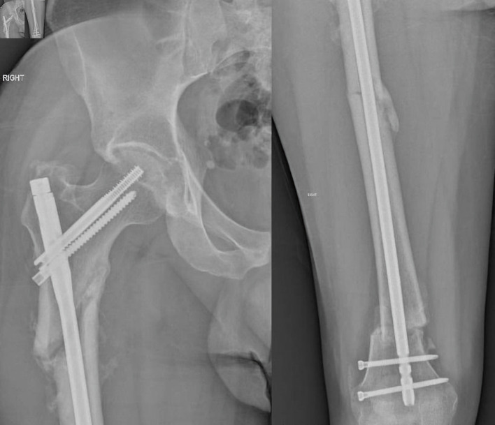
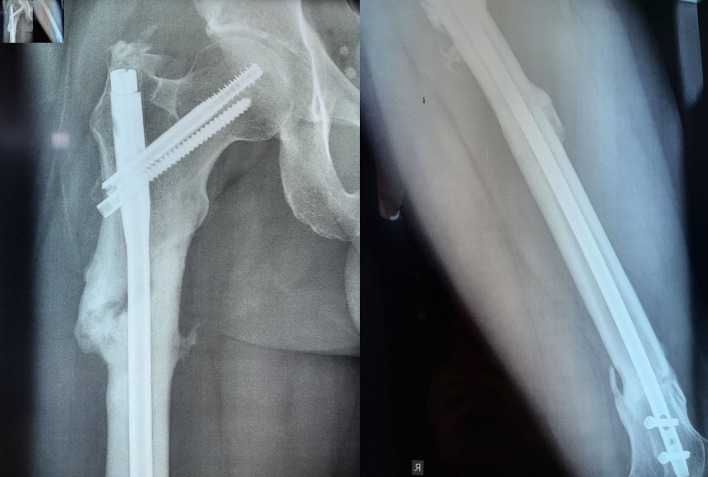
Femoral fractures are indubitably common injuries that can occur either from high-energy trauma in young patients or due to fragility in the geriatric population. Femoral fractures affecting two or more regions of the femur are exceedingly infrequent injuries, ordinarily caused by high-energy trauma and are considered segmental femoral fractures. We present a rare case of a 33-year-old male patient presented to our Emergency Department with multiple femoral fractures at the subtrochanteric, diaphyseal and supracondylar femoral regions, a condition regarded as double segmental femoral fracture. After assiduous consideration of treatment options, intramedullary nailing was employed for osteosynthesis. Fracture reduction was laborious, as an entirely separated femoral fragment was present between the fracture lines. The reaming process required paramount attentiveness as the middle femoral fragment was prone to rotational displacement by the reamer. Finally, the intramedullary nail was successfully placed, and the patient was discharged without complications after 11 days of hospitalization. Currently, the patient is capable of full weight-bearing without crutches. This paper underlines the challenges that double-segmental femoral fractures' treatment can bring on to the orthopedic surgeon.

Abstract Image

Abstract Image

Abstract Image

双节段股骨骨折:高能量创伤后的罕见损伤
股骨骨折无疑是一种常见的损伤,可因年轻患者的高能量创伤或老年人的脆弱而发生。影响股骨两个或多个区域的股骨骨折极为罕见,通常由高能量创伤引起,被认为是股骨节段性骨折。我们急诊科接诊了一例罕见病例,患者 33 岁,股骨转子下、二骺和股骨髁上多处骨折,属于股骨双节段骨折。在慎重考虑了各种治疗方案后,采用了髓内钉进行骨合成。由于骨折线之间存在完全分离的股骨碎片,因此骨折复位非常困难。由于股骨中段碎片很容易在铰刀的作用下发生旋转移位,因此铰接过程需要格外小心。最后,髓内钉被成功植入,患者在住院11天后无并发症出院。目前,患者无需拐杖即可完全负重。本文强调了股骨双段骨折治疗给骨科医生带来的挑战。
本文章由计算机程序翻译,如有差异,请以英文原文为准。
求助全文
约1分钟内获得全文 求助全文
来源期刊
CiteScore
1.10
自引率
0.00%
发文量
0
×
引用
GB/T 7714-2015
复制
MLA
复制
APA
复制
导出至
BibTeX EndNote RefMan NoteFirst NoteExpress
×
提示
您的信息不完整,为了账户安全,请先补充。
现在去补充
×
提示
您因"违规操作"
具体请查看互助需知
我知道了
×
提示
确定
请完成安全验证×
copy
已复制链接
快去分享给好友吧!
我知道了
右上角分享
点击右上角分享
0
联系我们:info@booksci.cn Book学术提供免费学术资源搜索服务,方便国内外学者检索中英文文献。致力于提供最便捷和优质的服务体验。 Copyright © 2023 布克学术 All rights reserved.
京ICP备2023020795号-1
ghs 京公网安备 11010802042870号
Book学术文献互助
Book学术文献互助群
群 号:604180095
Book学术官方微信