Pseudoaneurysm in the Axillary Tail of the Breast After A Core Needle Biopsy.

IF 1.7 Q4 ONCOLOGY
Cedric Pluguez-Turull, Cinthia Del Toro, Nicole Brofman, Yara Z Feliciano
{"title":"Pseudoaneurysm in the Axillary Tail of the Breast After A Core Needle Biopsy.","authors":"Cedric Pluguez-Turull, Cinthia Del Toro, Nicole Brofman, Yara Z Feliciano","doi":"10.4274/ejbh.galenos.2024.2024-4-5","DOIUrl":null,"url":null,"abstract":"<p><p>We present the case of a forty-year-old asymptomatic female with no personal or family history of breast cancer, who underwent a core needle biopsy (CNB) following the identification of a focal asymmetry in the right breast on screening mammography. Eight months later, a prominent adjacent vascular structure with a round outpouching was detected on breast ultrasound, confirmed as a post-biopsy pseudoaneurysm. Breast pseudoaneurysms, although exceedingly rare, result from inadvertent vessel puncture during core needle biopsies, particularly when larger gauge needles are used. They present as palpable, throbbing lumps in the breast and are well-defined heterogeneous structures that exhibit turbulent flow with a feeding artery on color Doppler imaging. This swirling sign showing a to-and-fro waveform is also known as the \"yin-yang\" sign on Doppler ultrasound. Post-CNB pseudoaneurysms in the breast, while rare, should be considered as potential complications following core need biopsy. Understanding their characteristic imaging features, risk factors, and available management options is essential for early diagnosis and appropriate treatment. This case underscores the importance of vigilance in biopsy procedures and the need for prompt recognition and intervention in case of such complications.</p>","PeriodicalId":93996,"journal":{"name":"European journal of breast health","volume":"20 4","pages":"313-315"},"PeriodicalIF":1.7000,"publicationDate":"2024-09-26","publicationTypes":"Journal Article","fieldsOfStudy":null,"isOpenAccess":false,"openAccessPdf":"https://www.ncbi.nlm.nih.gov/pmc/articles/PMC11589191/pdf/","citationCount":"0","resultStr":null,"platform":"Semanticscholar","paperid":null,"PeriodicalName":"European journal of breast health","FirstCategoryId":"1085","ListUrlMain":"https://doi.org/10.4274/ejbh.galenos.2024.2024-4-5","RegionNum":0,"RegionCategory":null,"ArticlePicture":[],"TitleCN":null,"AbstractTextCN":null,"PMCID":null,"EPubDate":"","PubModel":"","JCR":"Q4","JCRName":"ONCOLOGY","Score":null,"Total":0}
引用次数: 0

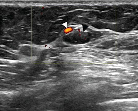
Abstract

We present the case of a forty-year-old asymptomatic female with no personal or family history of breast cancer, who underwent a core needle biopsy (CNB) following the identification of a focal asymmetry in the right breast on screening mammography. Eight months later, a prominent adjacent vascular structure with a round outpouching was detected on breast ultrasound, confirmed as a post-biopsy pseudoaneurysm. Breast pseudoaneurysms, although exceedingly rare, result from inadvertent vessel puncture during core needle biopsies, particularly when larger gauge needles are used. They present as palpable, throbbing lumps in the breast and are well-defined heterogeneous structures that exhibit turbulent flow with a feeding artery on color Doppler imaging. This swirling sign showing a to-and-fro waveform is also known as the "yin-yang" sign on Doppler ultrasound. Post-CNB pseudoaneurysms in the breast, while rare, should be considered as potential complications following core need biopsy. Understanding their characteristic imaging features, risk factors, and available management options is essential for early diagnosis and appropriate treatment. This case underscores the importance of vigilance in biopsy procedures and the need for prompt recognition and intervention in case of such complications.

Abstract Image

Abstract Image

Abstract Image

核心针活检后乳房腋尾的假性动脉瘤
本病例是一名四十岁的无症状女性,无个人或家族乳腺癌病史,在乳房 X 光筛查中发现右侧乳房有局灶性不对称,随后接受了核心针活检(CNB)。八个月后,她在乳腺超声波检查中发现了一个突出的邻近血管结构,并伴有圆形外囊,证实为活检后假性动脉瘤。乳腺假性动脉瘤虽然极为罕见,但却是在核心针活检过程中不慎刺穿血管造成的,尤其是在使用较大规格的针头时。乳房假性动脉瘤表现为乳房内可触及的搏动性肿块,是界限清晰的异质结构,在彩色多普勒成像中表现为进血动脉的湍流。在多普勒超声检查中,这种显示往返波形的漩涡征也被称为 "阴阳 "征。乳腺核芯穿刺活检后假性动脉瘤虽然罕见,但应被视为核芯穿刺活检后的潜在并发症。了解假性动脉瘤的影像学特征、风险因素和可用的治疗方案对于早期诊断和适当治疗至关重要。本病例强调了在活检过程中保持警惕的重要性,以及在出现此类并发症时及时识别和干预的必要性。
本文章由计算机程序翻译,如有差异,请以英文原文为准。
求助全文
约1分钟内获得全文 求助全文
来源期刊
CiteScore
2.60
自引率
0.00%
发文量
0
×
引用
GB/T 7714-2015
复制
MLA
复制
APA
复制
导出至
BibTeX EndNote RefMan NoteFirst NoteExpress
×
提示
您的信息不完整,为了账户安全,请先补充。
现在去补充
×
提示
您因"违规操作"
具体请查看互助需知
我知道了
×
提示
确定
请完成安全验证×
copy
已复制链接
快去分享给好友吧!
我知道了
右上角分享
点击右上角分享
0
联系我们:info@booksci.cn Book学术提供免费学术资源搜索服务,方便国内外学者检索中英文文献。致力于提供最便捷和优质的服务体验。 Copyright © 2023 布克学术 All rights reserved.
京ICP备2023020795号-1
ghs 京公网安备 11010802042870号
Book学术文献互助
Book学术文献互助群
群 号:604180095
Book学术官方微信