Excision of Giant Chronic Expanding Hematoma of the Thorax Caused by Rib Fractures after Proton Radiotherapy for Lung Cancer.

IF 1.3
Yukitaka Sato, Hironori Ishibashi, Yuki Funauchi, Kenichi Okubo
{"title":"Excision of Giant Chronic Expanding Hematoma of the Thorax Caused by Rib Fractures after Proton Radiotherapy for Lung Cancer.","authors":"Yukitaka Sato, Hironori Ishibashi, Yuki Funauchi, Kenichi Okubo","doi":"10.5761/atcs.cr.24.00121","DOIUrl":null,"url":null,"abstract":"<p><p>Chronic expanding hematoma (CEH) is defined as a hematoma that gradually expands over months to years. An 82-year-old female underwent proton radiotherapy for left upper lobe lung cancer 10 years previously. Two years after the therapy, a hematoma developed from the left 3rd to 5th dorsal rib fractures and gradually expanded, causing contraction of the left shoulder. Transcatheter arterial embolization was performed; however, the hematoma continued to expand with thrombocytopenia, and the platelet was decreased to 4.2 × 10<sup>4</sup>/μL. Computed tomography showed a 17.2 × 14.0 × 10.0 cm mass between the left scapula and left dorsal ribs. The CEH of the thorax was completely excised with combined resection of the 3rd to 5th ribs, while the brachial plexus was preserved. Postoperatively, the platelet completely recovered and she could raise her left arm. A complete excision with surrounding organs preserved is the strategy used in the treatment of CEH of the thorax.</p>","PeriodicalId":93877,"journal":{"name":"Annals of thoracic and cardiovascular surgery : official journal of the Association of Thoracic and Cardiovascular Surgeons of Asia","volume":"30 1","pages":""},"PeriodicalIF":1.3000,"publicationDate":"2024-01-01","publicationTypes":"Journal Article","fieldsOfStudy":null,"isOpenAccess":false,"openAccessPdf":"https://www.ncbi.nlm.nih.gov/pmc/articles/PMC11439597/pdf/","citationCount":"0","resultStr":null,"platform":"Semanticscholar","paperid":null,"PeriodicalName":"Annals of thoracic and cardiovascular surgery : official journal of the Association of Thoracic and Cardiovascular Surgeons of Asia","FirstCategoryId":"1085","ListUrlMain":"https://doi.org/10.5761/atcs.cr.24.00121","RegionNum":0,"RegionCategory":null,"ArticlePicture":[],"TitleCN":null,"AbstractTextCN":null,"PMCID":null,"EPubDate":"","PubModel":"","JCR":"","JCRName":"","Score":null,"Total":0}
引用次数: 0

Abstract

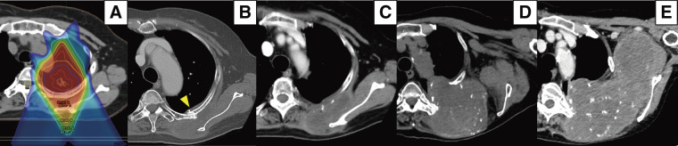
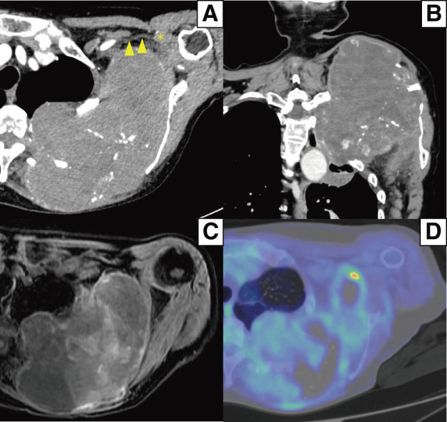
Chronic expanding hematoma (CEH) is defined as a hematoma that gradually expands over months to years. An 82-year-old female underwent proton radiotherapy for left upper lobe lung cancer 10 years previously. Two years after the therapy, a hematoma developed from the left 3rd to 5th dorsal rib fractures and gradually expanded, causing contraction of the left shoulder. Transcatheter arterial embolization was performed; however, the hematoma continued to expand with thrombocytopenia, and the platelet was decreased to 4.2 × 104/μL. Computed tomography showed a 17.2 × 14.0 × 10.0 cm mass between the left scapula and left dorsal ribs. The CEH of the thorax was completely excised with combined resection of the 3rd to 5th ribs, while the brachial plexus was preserved. Postoperatively, the platelet completely recovered and she could raise her left arm. A complete excision with surrounding organs preserved is the strategy used in the treatment of CEH of the thorax.

Abstract Image

Abstract Image

Abstract Image

肺癌质子放疗后肋骨骨折引起的胸部巨大慢性膨胀性血肿切除术
慢性膨胀性血肿(CEH)是指血肿在数月至数年内逐渐膨胀。一名 82 岁的女性在 10 年前因左上肺叶肺癌接受了质子放疗。治疗两年后,左侧第 3 至第 5 背肋骨骨折处出现血肿,并逐渐扩大,导致左肩挛缩。患者接受了经导管动脉栓塞治疗,但血肿继续扩大,血小板减少至 4.2 × 104/μL。计算机断层扫描显示,左侧肩胛骨和左侧背肋骨之间有一个 17.2 × 14.0 × 10.0 厘米的肿块。在联合切除第 3 至第 5 根肋骨的同时,完全切除了胸部的 CEH,并保留了臂丛神经。术后,血小板完全恢复,她可以抬起左臂。完全切除并保留周围器官是治疗胸部 CEH 的策略。
本文章由计算机程序翻译,如有差异,请以英文原文为准。
求助全文
约1分钟内获得全文 求助全文
来源期刊
自引率
0.00%
发文量
0
×
引用
GB/T 7714-2015
复制
MLA
复制
APA
复制
导出至
BibTeX EndNote RefMan NoteFirst NoteExpress
×
提示
您的信息不完整,为了账户安全,请先补充。
现在去补充
×
提示
您因"违规操作"
具体请查看互助需知
我知道了
×
提示
确定
请完成安全验证×
copy
已复制链接
快去分享给好友吧!
我知道了
右上角分享
点击右上角分享
0
联系我们:info@booksci.cn Book学术提供免费学术资源搜索服务,方便国内外学者检索中英文文献。致力于提供最便捷和优质的服务体验。 Copyright © 2023 布克学术 All rights reserved.
京ICP备2023020795号-1
ghs 京公网安备 11010802042870号
Book学术文献互助
Book学术文献互助群
群 号:604180095
Book学术官方微信