Pseudomonas aeruginosa Mediates Host Necroptosis through Rhl-Pqs Quorum Sensing Interaction.

Q3 Medicine
Zihao Liu, Lu Sun, Lupeng Li, Edward A Miao, Amal O Amer, Daniel J Wozniak, Haitao Wen
{"title":"Pseudomonas aeruginosa Mediates Host Necroptosis through Rhl-Pqs Quorum Sensing Interaction.","authors":"Zihao Liu, Lu Sun, Lupeng Li, Edward A Miao, Amal O Amer, Daniel J Wozniak, Haitao Wen","doi":"10.4049/immunohorizons.2400012","DOIUrl":null,"url":null,"abstract":"<p><p>Pseudomonas aeruginosa (P. aeruginosa) is an opportunistic pathogen that can cause serious infections in immunocompromised patients. Quorum sensing (QS), a communication system evolved by P. aeruginosa to survey its density, is well acknowledged to be involved in various activities during bacterial infection. Recent studies have revealed the link between P. aeruginosa QS and host innate immune response. Previous evidence suggests that programmed cell death exists in response to P. aeruginosa infection. However, it remains unclear whether QS plays a role in the host programmed cell death process during the infection. In this study, we found that the deficiency of one of QS subsystems, rhl, markedly increased mouse bone marrow macrophage cell death induced by P. aeruginosa, which was accompanied by elevated phosphorylation of RIPK3 and MLKL. This highly increased necroptosis activation was caused by the upregulation of another QS subsystem, pqs, because the deletion of pqs in rhl-deficient P. aeruginosa abolished macrophage necroptosis in vitro and in vivo. In sum, our data highlight the cross-talk between P. aeruginosa QS and host necroptosis, which is executed through the rhl-pqs axis.</p>","PeriodicalId":94037,"journal":{"name":"ImmunoHorizons","volume":"8 9","pages":"721-728"},"PeriodicalIF":0.0000,"publicationDate":"2024-09-01","publicationTypes":"Journal Article","fieldsOfStudy":null,"isOpenAccess":false,"openAccessPdf":"https://www.ncbi.nlm.nih.gov/pmc/articles/PMC11447673/pdf/","citationCount":"0","resultStr":null,"platform":"Semanticscholar","paperid":null,"PeriodicalName":"ImmunoHorizons","FirstCategoryId":"1085","ListUrlMain":"https://doi.org/10.4049/immunohorizons.2400012","RegionNum":0,"RegionCategory":null,"ArticlePicture":[],"TitleCN":null,"AbstractTextCN":null,"PMCID":null,"EPubDate":"","PubModel":"","JCR":"Q3","JCRName":"Medicine","Score":null,"Total":0}
引用次数: 0

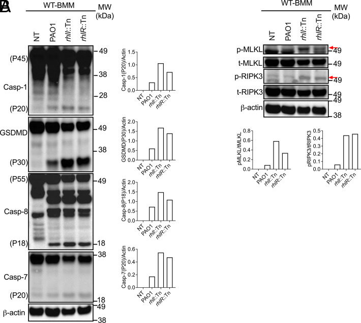
Abstract

Pseudomonas aeruginosa (P. aeruginosa) is an opportunistic pathogen that can cause serious infections in immunocompromised patients. Quorum sensing (QS), a communication system evolved by P. aeruginosa to survey its density, is well acknowledged to be involved in various activities during bacterial infection. Recent studies have revealed the link between P. aeruginosa QS and host innate immune response. Previous evidence suggests that programmed cell death exists in response to P. aeruginosa infection. However, it remains unclear whether QS plays a role in the host programmed cell death process during the infection. In this study, we found that the deficiency of one of QS subsystems, rhl, markedly increased mouse bone marrow macrophage cell death induced by P. aeruginosa, which was accompanied by elevated phosphorylation of RIPK3 and MLKL. This highly increased necroptosis activation was caused by the upregulation of another QS subsystem, pqs, because the deletion of pqs in rhl-deficient P. aeruginosa abolished macrophage necroptosis in vitro and in vivo. In sum, our data highlight the cross-talk between P. aeruginosa QS and host necroptosis, which is executed through the rhl-pqs axis.

Abstract Image

Abstract Image

Abstract Image

铜绿假单胞菌通过 Rhl-Pqs 法定量感应相互作用介导宿主坏死。
铜绿假单胞菌(P. aeruginosa)是一种机会性病原体,可对免疫力低下的患者造成严重感染。定量感应(QS)是铜绿假单胞菌为调查其密度而进化出的一种通信系统,被公认参与了细菌感染过程中的各种活动。最近的研究揭示了铜绿假单胞菌 QS 与宿主先天性免疫反应之间的联系。以前的证据表明,铜绿假单胞菌感染时存在程序性细胞死亡。然而,QS 是否在感染期间宿主程序性细胞死亡过程中发挥作用仍不清楚。在这项研究中,我们发现 QS 子系统之一 rhl 的缺乏明显增加了铜绿假单胞菌诱导的小鼠骨髓巨噬细胞死亡,同时伴随着 RIPK3 和 MLKL 磷酸化的升高。这种高度增加的坏死激活是由另一个 QS 子系统 pqs 的上调引起的,因为缺失 rhl 的铜绿假单胞菌中 pqs 的缺失会取消巨噬细胞在体外和体内的坏死。总之,我们的数据强调了铜绿假单胞菌 QS 与宿主坏死之间的交叉对话,这种对话是通过 rhl-pqs 轴执行的。
本文章由计算机程序翻译,如有差异,请以英文原文为准。
求助全文
约1分钟内获得全文 求助全文
来源期刊
CiteScore
3.70
自引率
0.00%
发文量
0
审稿时长
4 weeks
×
引用
GB/T 7714-2015
复制
MLA
复制
APA
复制
导出至
BibTeX EndNote RefMan NoteFirst NoteExpress
×
提示
您的信息不完整,为了账户安全,请先补充。
现在去补充
×
提示
您因"违规操作"
具体请查看互助需知
我知道了
×
提示
确定
请完成安全验证×
copy
已复制链接
快去分享给好友吧!
我知道了
右上角分享
点击右上角分享
0
联系我们:info@booksci.cn Book学术提供免费学术资源搜索服务,方便国内外学者检索中英文文献。致力于提供最便捷和优质的服务体验。 Copyright © 2023 布克学术 All rights reserved.
京ICP备2023020795号-1
ghs 京公网安备 11010802042870号
Book学术文献互助
Book学术文献互助群
群 号:604180095
Book学术官方微信