Ulcerative Colitis Associated with Cardiometabolic Disease and Complicated with Autoimmune Pancreatitis.

Mitsuro Chiba, Takeshi Miura, Hisanori Matsuzawa, Tsuyotoshi Tsuji, Haruhiko Tozawa, Akira Zeniya
{"title":"Ulcerative Colitis Associated with Cardiometabolic Disease and Complicated with Autoimmune Pancreatitis.","authors":"Mitsuro Chiba, Takeshi Miura, Hisanori Matsuzawa, Tsuyotoshi Tsuji, Haruhiko Tozawa, Akira Zeniya","doi":"10.15280/jlm.2024.14.2.98","DOIUrl":null,"url":null,"abstract":"<p><p>Diet-related cardiometabolic diseases and inflammatory bowel disease, common previously in Western countries, are global problems. We hypothesized that inflammatory bowel disease is a lifestyle disease primarily mediated by the current Western diet. We report here the simultaneous onset of ulcerative colitis and autoimmune pancreatitis, a rare systemic complication of inflammatory bowel disease, 2 months after acute myocardial infarction in a patient with type 2 diabetes. A 67-year-old man with type 2 diabetes was referred to us because of newly diagnosed ulcerative colitis 2 months after acute myocardial infarction. A plant-based diet was provided during hospitalization. An abrupt deterioration in plasma glucose and hemoglobin A1c due to asymptomatic type 2 autoimmune pancreatitis was observed. Prednisolone administration under intensive insulin therapy led to the remission of both diseases. This case was an illustrative one of association between cardiometabolic diseases and inflammatory bowel diseases caused by current unhealthy diets and their shared pathogenesis.</p>","PeriodicalId":73805,"journal":{"name":"Journal of lifestyle medicine","volume":"14 2","pages":"98-102"},"PeriodicalIF":0.0000,"publicationDate":"2024-08-31","publicationTypes":"Journal Article","fieldsOfStudy":null,"isOpenAccess":false,"openAccessPdf":"https://www.ncbi.nlm.nih.gov/pmc/articles/PMC11391335/pdf/","citationCount":"0","resultStr":null,"platform":"Semanticscholar","paperid":null,"PeriodicalName":"Journal of lifestyle medicine","FirstCategoryId":"1085","ListUrlMain":"https://doi.org/10.15280/jlm.2024.14.2.98","RegionNum":0,"RegionCategory":null,"ArticlePicture":[],"TitleCN":null,"AbstractTextCN":null,"PMCID":null,"EPubDate":"","PubModel":"","JCR":"","JCRName":"","Score":null,"Total":0}
引用次数: 0

Abstract

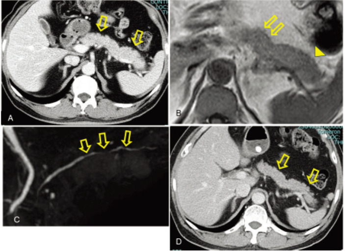
Diet-related cardiometabolic diseases and inflammatory bowel disease, common previously in Western countries, are global problems. We hypothesized that inflammatory bowel disease is a lifestyle disease primarily mediated by the current Western diet. We report here the simultaneous onset of ulcerative colitis and autoimmune pancreatitis, a rare systemic complication of inflammatory bowel disease, 2 months after acute myocardial infarction in a patient with type 2 diabetes. A 67-year-old man with type 2 diabetes was referred to us because of newly diagnosed ulcerative colitis 2 months after acute myocardial infarction. A plant-based diet was provided during hospitalization. An abrupt deterioration in plasma glucose and hemoglobin A1c due to asymptomatic type 2 autoimmune pancreatitis was observed. Prednisolone administration under intensive insulin therapy led to the remission of both diseases. This case was an illustrative one of association between cardiometabolic diseases and inflammatory bowel diseases caused by current unhealthy diets and their shared pathogenesis.

Abstract Image

Abstract Image

溃疡性结肠炎伴发心脏代谢疾病并并发自身免疫性胰腺炎
与饮食有关的心血管代谢疾病和炎症性肠病是西方国家常见的全球性问题。我们假设,炎症性肠病是一种生活方式疾病,主要由目前的西方饮食习惯介导。我们在此报告了一名 2 型糖尿病患者在急性心肌梗死 2 个月后同时出现溃疡性结肠炎和自身免疫性胰腺炎的病例,这是一种罕见的炎症性肠病全身并发症。一名 67 岁的 2 型糖尿病患者因在急性心肌梗死 2 个月后新诊断出溃疡性结肠炎而转诊至我院。住院期间,他的饮食以植物性食物为主。由于无症状的 2 型自身免疫性胰腺炎,血浆葡萄糖和血红蛋白 A1c 突然恶化。在强化胰岛素治疗的同时服用泼尼松龙后,两种疾病均得到缓解。该病例说明了当前不健康饮食导致的心脏代谢疾病和炎症性肠病之间的关联及其共同的发病机制。
本文章由计算机程序翻译,如有差异,请以英文原文为准。
求助全文
约1分钟内获得全文 求助全文
来源期刊
自引率
0.00%
发文量
0
×
引用
GB/T 7714-2015
复制
MLA
复制
APA
复制
导出至
BibTeX EndNote RefMan NoteFirst NoteExpress
×
提示
您的信息不完整,为了账户安全,请先补充。
现在去补充
×
提示
您因"违规操作"
具体请查看互助需知
我知道了
×
提示
确定
请完成安全验证×
copy
已复制链接
快去分享给好友吧!
我知道了
右上角分享
点击右上角分享
0
联系我们:info@booksci.cn Book学术提供免费学术资源搜索服务,方便国内外学者检索中英文文献。致力于提供最便捷和优质的服务体验。 Copyright © 2023 布克学术 All rights reserved.
京ICP备2023020795号-1
ghs 京公网安备 11010802042870号
Book学术文献互助
Book学术文献互助群
群 号:604180095
Book学术官方微信