Predictive Value of the Postural Difference in Antero-Posterior Diameter of Renal Pelvis on Ultrasonography of Unilateral Ureteropelvic Junction Obstruction in Determining the Need For Surgery.

Bijay Kumar Suman, Ram Jeewan Singh, Aditya Arvind Manekar, Subrat Kumar Sahoo, Bikasha Bihari Tripathy, Manoj Kumar Mohanty, Sudipta Mohakud
{"title":"Predictive Value of the Postural Difference in Antero-Posterior Diameter of Renal Pelvis on Ultrasonography of Unilateral Ureteropelvic Junction Obstruction in Determining the Need For Surgery.","authors":"Bijay Kumar Suman, Ram Jeewan Singh, Aditya Arvind Manekar, Subrat Kumar Sahoo, Bikasha Bihari Tripathy, Manoj Kumar Mohanty, Sudipta Mohakud","doi":"10.4103/ajps.ajps_25_23","DOIUrl":null,"url":null,"abstract":"<p><strong>Background: </strong>Ureteropelvic junction obstruction (UPJO) is the most common cause of antenatal hydronephrosis. Although majority of them improve with time, none of the existing diagnostic modalities can accurately predict which hydronephrotic kidney is at the risk of progressive renal damage and will benefit from early surgery. Postural variations in the anteroposterior pelvic diameter (APPD) of the hydronephrotic kidney in children during follow-up postnatal ultrasonography (USG) reflect the intrapelvic tension, which might help in predicting the need of surgery amongst these patients.</p><p><strong>Materials and methods: </strong>We designed this prospective observational study in all unilateral UPJO patients on postural variation in the APPD of renal pelvis on ultrasonography. The mean age of all patients were 2.15 years (0-5 years) and managed at our institute at All India Institute of Medical Sciences, Bhubaneswar. The study duration was from July 2019 to May 2021. The management of these patients was done as per the standard institutional protocol and there was no deviation due to inclusion in this study. We documented the variations in postural APPD both amongst the conservatively managed group and the surgically managed group of patients. Linear correlation between two continuous variables was explored using Pearson's correlation (if the data were normally distributed) and Spearman's correlation (for non-normally distributed data).</p><p><strong>Results: </strong>We found a higher prone APPD than supine APPD in all these patients indicating the obstruction at ureteropelvic junction. However, in the surgical group, there was less variation in the postural APPD compared to the conservative group, and when there was no variation in the postural APPD, the need of surgery was 100%. The limitation of our study was the small sample size (n = 36). A study involving a larger population or involving multiple institutions may further add significance to our findings.</p><p><strong>Conclusion: </strong>We found less postural variation in APPD on USG to be more likely associated with severe UPJO requiring early surgery. This may indicate a non-compliant renal pelvis. However, it was statistically not significant.</p>","PeriodicalId":72123,"journal":{"name":"African journal of paediatric surgery : AJPS","volume":"21 4","pages":"242-246"},"PeriodicalIF":0.0000,"publicationDate":"2024-10-01","publicationTypes":"Journal Article","fieldsOfStudy":null,"isOpenAccess":false,"openAccessPdf":"https://www.ncbi.nlm.nih.gov/pmc/articles/PMC11493228/pdf/","citationCount":"0","resultStr":null,"platform":"Semanticscholar","paperid":null,"PeriodicalName":"African journal of paediatric surgery : AJPS","FirstCategoryId":"1085","ListUrlMain":"https://doi.org/10.4103/ajps.ajps_25_23","RegionNum":0,"RegionCategory":null,"ArticlePicture":[],"TitleCN":null,"AbstractTextCN":null,"PMCID":null,"EPubDate":"2024/9/13 0:00:00","PubModel":"Epub","JCR":"","JCRName":"","Score":null,"Total":0}
引用次数: 0

Abstract

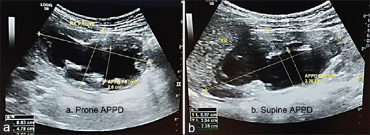
Background: Ureteropelvic junction obstruction (UPJO) is the most common cause of antenatal hydronephrosis. Although majority of them improve with time, none of the existing diagnostic modalities can accurately predict which hydronephrotic kidney is at the risk of progressive renal damage and will benefit from early surgery. Postural variations in the anteroposterior pelvic diameter (APPD) of the hydronephrotic kidney in children during follow-up postnatal ultrasonography (USG) reflect the intrapelvic tension, which might help in predicting the need of surgery amongst these patients.

Materials and methods: We designed this prospective observational study in all unilateral UPJO patients on postural variation in the APPD of renal pelvis on ultrasonography. The mean age of all patients were 2.15 years (0-5 years) and managed at our institute at All India Institute of Medical Sciences, Bhubaneswar. The study duration was from July 2019 to May 2021. The management of these patients was done as per the standard institutional protocol and there was no deviation due to inclusion in this study. We documented the variations in postural APPD both amongst the conservatively managed group and the surgically managed group of patients. Linear correlation between two continuous variables was explored using Pearson's correlation (if the data were normally distributed) and Spearman's correlation (for non-normally distributed data).

Results: We found a higher prone APPD than supine APPD in all these patients indicating the obstruction at ureteropelvic junction. However, in the surgical group, there was less variation in the postural APPD compared to the conservative group, and when there was no variation in the postural APPD, the need of surgery was 100%. The limitation of our study was the small sample size (n = 36). A study involving a larger population or involving multiple institutions may further add significance to our findings.

Conclusion: We found less postural variation in APPD on USG to be more likely associated with severe UPJO requiring early surgery. This may indicate a non-compliant renal pelvis. However, it was statistically not significant.

Abstract Image

Abstract Image

单侧输尿管肾盂交界处梗阻超声波检查中肾盂前后径的姿势差在确定手术必要性方面的预测价值
背景:输尿管肾盂连接处梗阻(UPJO)是产前肾积水最常见的原因。虽然大多数肾积水患者的病情会随着时间的推移而得到改善,但现有的诊断方法都无法准确预测哪些肾积水患者的肾脏有进行性肾损害的风险,并能从早期手术中获益。产后随访超声波检查(USG)中儿童肾积水肾盂前径(APPD)的姿势变化反映了肾盂内张力,这可能有助于预测这些患者是否需要手术:我们设计了这项前瞻性观察研究,对所有单侧 UPJO 患者进行超声波检查,观察肾盂 APPD 的姿势变化。所有患者的平均年龄为 2.15 岁(0-5 岁),均在我们位于布巴内斯瓦尔的全印度医学科学研究所接受治疗。研究时间为 2019 年 7 月至 2021 年 5 月。对这些患者的管理是按照标准的机构方案进行的,没有因为纳入本研究而出现偏差。我们记录了保守治疗组和手术治疗组患者体位性 APPD 的变化。我们使用皮尔逊相关性(如果数据呈正态分布)和斯皮尔曼相关性(如果数据呈非正态分布)来探讨两个连续变量之间的线性相关关系:结果:我们发现所有这些患者的俯卧位 APPD 均高于仰卧位 APPD,这表明输尿管盆腔交界处存在梗阻。然而,与保守组相比,手术组患者的体位 APPD 变化较小,当体位 APPD 无变化时,手术需求为 100%。我们研究的局限性在于样本量较小(n = 36)。涉及更多人群或多个机构的研究可能会进一步增加我们研究结果的意义:我们发现,在 USG 上 APPD 的体位变化较小,更有可能与需要早期手术的严重 UPJO 有关。这可能表明肾盂不顺应。然而,这在统计学上并不显著。
本文章由计算机程序翻译,如有差异,请以英文原文为准。
求助全文
约1分钟内获得全文 求助全文
来源期刊
自引率
0.00%
发文量
0
×
引用
GB/T 7714-2015
复制
MLA
复制
APA
复制
导出至
BibTeX EndNote RefMan NoteFirst NoteExpress
×
提示
您的信息不完整,为了账户安全,请先补充。
现在去补充
×
提示
您因"违规操作"
具体请查看互助需知
我知道了
×
提示
确定
请完成安全验证×
copy
已复制链接
快去分享给好友吧!
我知道了
右上角分享
点击右上角分享
0
联系我们:info@booksci.cn Book学术提供免费学术资源搜索服务,方便国内外学者检索中英文文献。致力于提供最便捷和优质的服务体验。 Copyright © 2023 布克学术 All rights reserved.
京ICP备2023020795号-1
ghs 京公网安备 11010802042870号
Book学术文献互助
Book学术文献互助群
群 号:604180095
Book学术官方微信