Hereditary Leiomyomatosis and Renal Cell Cancer (HLRCC) Syndrome.

IF 1.3 4区 医学 Q4 RADIOLOGY, NUCLEAR MEDICINE & MEDICAL IMAGING
Journal of the Belgian Society of Radiology Pub Date : 2024-09-11 eCollection Date: 2024-01-01 DOI:10.5334/jbsr.3687
Karel Mercken, Brecht Van Berkel, Liesbeth De Wever
{"title":"Hereditary Leiomyomatosis and Renal Cell Cancer (HLRCC) Syndrome.","authors":"Karel Mercken, Brecht Van Berkel, Liesbeth De Wever","doi":"10.5334/jbsr.3687","DOIUrl":null,"url":null,"abstract":"<p><p>In hereditary leiomyomatosis and renal cell carcinoma syndrome, fumarate hydratase-deficient renal cell carcinomas typically present as aggressive, unilateral, often cystic masses with heterogeneous enhancement. These tumors can metastasize early, making appropriate imaging and staging critical for diagnosis and management. <i>Teaching point:</i> When a renal lesion suspected of RCC is identified in a patient with cutaneous and uterine leiomyomas, HLRCC should be evaluated, which is important for future genetic counseling.</p>","PeriodicalId":55987,"journal":{"name":"Journal of the Belgian Society of Radiology","volume":"108 1","pages":"79"},"PeriodicalIF":1.3000,"publicationDate":"2024-09-11","publicationTypes":"Journal Article","fieldsOfStudy":null,"isOpenAccess":false,"openAccessPdf":"https://www.ncbi.nlm.nih.gov/pmc/articles/PMC11396326/pdf/","citationCount":"0","resultStr":null,"platform":"Semanticscholar","paperid":null,"PeriodicalName":"Journal of the Belgian Society of Radiology","FirstCategoryId":"3","ListUrlMain":"https://doi.org/10.5334/jbsr.3687","RegionNum":4,"RegionCategory":"医学","ArticlePicture":[],"TitleCN":null,"AbstractTextCN":null,"PMCID":null,"EPubDate":"2024/1/1 0:00:00","PubModel":"eCollection","JCR":"Q4","JCRName":"RADIOLOGY, NUCLEAR MEDICINE & MEDICAL IMAGING","Score":null,"Total":0}
引用次数: 0

Abstract

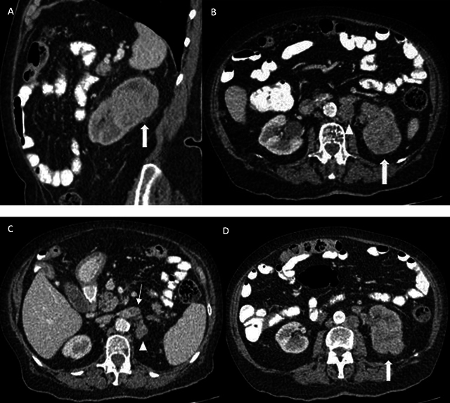
In hereditary leiomyomatosis and renal cell carcinoma syndrome, fumarate hydratase-deficient renal cell carcinomas typically present as aggressive, unilateral, often cystic masses with heterogeneous enhancement. These tumors can metastasize early, making appropriate imaging and staging critical for diagnosis and management. Teaching point: When a renal lesion suspected of RCC is identified in a patient with cutaneous and uterine leiomyomas, HLRCC should be evaluated, which is important for future genetic counseling.

Abstract Image

Abstract Image

Abstract Image

遗传性骨髓瘤病和肾细胞癌(HLRCC)综合征。
在遗传性骨髓瘤病和肾细胞癌综合征中,富马酸氢化酶缺陷型肾细胞癌通常表现为侵袭性、单侧、常为囊性肿块并伴有异质强化。这些肿瘤可早期转移,因此适当的成像和分期对诊断和治疗至关重要。教学要点:当在患有皮肤和子宫肌瘤的患者中发现疑似 RCC 的肾脏病变时,应评估 HLRCC,这对未来的遗传咨询非常重要。
本文章由计算机程序翻译,如有差异,请以英文原文为准。
求助全文
约1分钟内获得全文 求助全文
来源期刊
Journal of the Belgian Society of Radiology
Journal of the Belgian Society of Radiology Medicine-Radiology, Nuclear Medicine and Imaging
CiteScore
0.70
自引率
5.00%
发文量
96
期刊介绍: The purpose of the Journal of the Belgian Society of Radiology is the publication of articles dealing with diagnostic and interventional radiology, related imaging techniques, allied sciences, and continuing education.
×
引用
GB/T 7714-2015
复制
MLA
复制
APA
复制
导出至
BibTeX EndNote RefMan NoteFirst NoteExpress
×
提示
您的信息不完整,为了账户安全,请先补充。
现在去补充
×
提示
您因"违规操作"
具体请查看互助需知
我知道了
×
提示
确定
请完成安全验证×
copy
已复制链接
快去分享给好友吧!
我知道了
右上角分享
点击右上角分享
0
联系我们:info@booksci.cn Book学术提供免费学术资源搜索服务,方便国内外学者检索中英文文献。致力于提供最便捷和优质的服务体验。 Copyright © 2023 布克学术 All rights reserved.
京ICP备2023020795号-1
ghs 京公网安备 11010802042870号
Book学术文献互助
Book学术文献互助群
群 号:604180095
Book学术官方微信