Bilateral Carotid-Cavernous Fistula Following Traumatic Fall: A Case Report.

IF 1.3 4区 医学 Q4 RADIOLOGY, NUCLEAR MEDICINE & MEDICAL IMAGING
Journal of the Belgian Society of Radiology Pub Date : 2024-09-17 eCollection Date: 2024-01-01 DOI:10.5334/jbsr.3696
Fatim Camara, Chiara Mabiglia, Thomas Bonnet
{"title":"Bilateral Carotid-Cavernous Fistula Following Traumatic Fall: A Case Report.","authors":"Fatim Camara, Chiara Mabiglia, Thomas Bonnet","doi":"10.5334/jbsr.3696","DOIUrl":null,"url":null,"abstract":"<p><p>Carotid-cavernous fistulas (CCFs) are abnormal connections between the carotid arteries and the cavernous sinus, posing significant neuro-ophthalmologic risks. This report presents a rare case of bilateral post-traumatic CCFs, focusing on clinical presentation, diagnosis, and management. Symptoms mimic conjunctivitis, causing diplopia, exophthalmos, and ophthalmoplegia. Diagnosis relied on computed tomography, magnetic resonance angiography, and digital subtraction angiography. Management involved transarterial embolization with coils, achieving successful outcomes. This highlights the importance of timely intervention and comprehensive imaging to prevent complications. <i>Teaching point:</i> This case report details a rare instance of bilateral post-traumatic carotid-cavernous fistulas, emphasizing clinical presentation, diagnostic evaluation, and management.</p>","PeriodicalId":55987,"journal":{"name":"Journal of the Belgian Society of Radiology","volume":"108 1","pages":"83"},"PeriodicalIF":1.3000,"publicationDate":"2024-09-17","publicationTypes":"Journal Article","fieldsOfStudy":null,"isOpenAccess":false,"openAccessPdf":"https://www.ncbi.nlm.nih.gov/pmc/articles/PMC11414464/pdf/","citationCount":"0","resultStr":null,"platform":"Semanticscholar","paperid":null,"PeriodicalName":"Journal of the Belgian Society of Radiology","FirstCategoryId":"3","ListUrlMain":"https://doi.org/10.5334/jbsr.3696","RegionNum":4,"RegionCategory":"医学","ArticlePicture":[],"TitleCN":null,"AbstractTextCN":null,"PMCID":null,"EPubDate":"2024/1/1 0:00:00","PubModel":"eCollection","JCR":"Q4","JCRName":"RADIOLOGY, NUCLEAR MEDICINE & MEDICAL IMAGING","Score":null,"Total":0}
引用次数: 0

Abstract

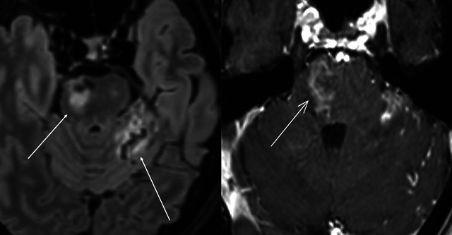
Carotid-cavernous fistulas (CCFs) are abnormal connections between the carotid arteries and the cavernous sinus, posing significant neuro-ophthalmologic risks. This report presents a rare case of bilateral post-traumatic CCFs, focusing on clinical presentation, diagnosis, and management. Symptoms mimic conjunctivitis, causing diplopia, exophthalmos, and ophthalmoplegia. Diagnosis relied on computed tomography, magnetic resonance angiography, and digital subtraction angiography. Management involved transarterial embolization with coils, achieving successful outcomes. This highlights the importance of timely intervention and comprehensive imaging to prevent complications. Teaching point: This case report details a rare instance of bilateral post-traumatic carotid-cavernous fistulas, emphasizing clinical presentation, diagnostic evaluation, and management.

Abstract Image

Abstract Image

Abstract Image

创伤性坠落导致的双侧颈动脉-海绵瘘:病例报告
颈动脉海绵窦瘘(CCFs)是颈动脉和海绵窦之间的异常连接,对神经眼科构成重大风险。本报告介绍了一例罕见的双侧外伤后 CCF 病例,重点阐述了临床表现、诊断和处理方法。症状类似结膜炎,导致复视、眼球外翻和眼肌麻痹。诊断主要依靠计算机断层扫描、磁共振血管造影和数字减影血管造影。治疗包括使用线圈进行经动脉栓塞,取得了成功。这凸显了及时干预和全面成像对预防并发症的重要性。教学要点:本病例报告详细介绍了一个罕见的双侧创伤后颈动脉海绵瘘病例,强调了临床表现、诊断评估和处理方法。
本文章由计算机程序翻译,如有差异,请以英文原文为准。
求助全文
约1分钟内获得全文 求助全文
来源期刊
Journal of the Belgian Society of Radiology
Journal of the Belgian Society of Radiology Medicine-Radiology, Nuclear Medicine and Imaging
CiteScore
0.70
自引率
5.00%
发文量
96
期刊介绍: The purpose of the Journal of the Belgian Society of Radiology is the publication of articles dealing with diagnostic and interventional radiology, related imaging techniques, allied sciences, and continuing education.
×
引用
GB/T 7714-2015
复制
MLA
复制
APA
复制
导出至
BibTeX EndNote RefMan NoteFirst NoteExpress
×
提示
您的信息不完整,为了账户安全,请先补充。
现在去补充
×
提示
您因"违规操作"
具体请查看互助需知
我知道了
×
提示
确定
请完成安全验证×
copy
已复制链接
快去分享给好友吧!
我知道了
右上角分享
点击右上角分享
0
联系我们:info@booksci.cn Book学术提供免费学术资源搜索服务,方便国内外学者检索中英文文献。致力于提供最便捷和优质的服务体验。 Copyright © 2023 布克学术 All rights reserved.
京ICP备2023020795号-1
ghs 京公网安备 11010802042870号
Book学术文献互助
Book学术文献互助群
群 号:604180095
Book学术官方微信