Lichenoid drug reaction to technicium-99: a case report and review of the literature.

IF 3.1 Q2 Medicine
International Journal of Women''s Dermatology Pub Date : 2024-09-18 eCollection Date: 2024-10-01 DOI:10.1097/JW9.0000000000000179
Emily Kozera, Tania Elhage, Adrian Cachia, John W Frew
{"title":"Lichenoid drug reaction to technicium-99: a case report and review of the literature.","authors":"Emily Kozera, Tania Elhage, Adrian Cachia, John W Frew","doi":"10.1097/JW9.0000000000000179","DOIUrl":null,"url":null,"abstract":"","PeriodicalId":53478,"journal":{"name":"International Journal of Women''s Dermatology","volume":"10 3","pages":"e179"},"PeriodicalIF":3.1000,"publicationDate":"2024-09-18","publicationTypes":"Journal Article","fieldsOfStudy":null,"isOpenAccess":false,"openAccessPdf":"https://www.ncbi.nlm.nih.gov/pmc/articles/PMC11410317/pdf/","citationCount":"0","resultStr":null,"platform":"Semanticscholar","paperid":null,"PeriodicalName":"International Journal of Women''s Dermatology","FirstCategoryId":"1085","ListUrlMain":"https://doi.org/10.1097/JW9.0000000000000179","RegionNum":0,"RegionCategory":null,"ArticlePicture":[],"TitleCN":null,"AbstractTextCN":null,"PMCID":null,"EPubDate":"2024/10/1 0:00:00","PubModel":"eCollection","JCR":"Q2","JCRName":"Medicine","Score":null,"Total":0}
引用次数: 0

Abstract Image

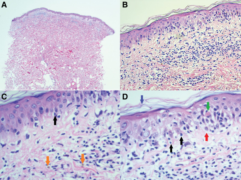
Abstract Image

锝-99引起的苔藓样药物反应:病例报告和文献综述。
本文章由计算机程序翻译,如有差异,请以英文原文为准。
求助全文
约1分钟内获得全文 求助全文
来源期刊
CiteScore
4.70
自引率
0.00%
发文量
52
审稿时长
18 weeks
期刊介绍: The IJWD publishes articles pertaining to dermatologic medical, surgical and cosmetic issues faced by female patients and their families. We are interested in original research articles, review articles, unusual case reports, new treatments, clinical trials, education, mentorship and viewpoint articles. Articles dealing with ethical issues in dermatology and medical legal scenarios are also welcome.Very important articles will have accompanying editorials. Topics which our subsections editors look forward to welcoming include: Women’s Health Oncology, Surgery and Aesthetics Pediatric Dermatology Medical Dermatology Society.
×
引用
GB/T 7714-2015
复制
MLA
复制
APA
复制
导出至
BibTeX EndNote RefMan NoteFirst NoteExpress
×
提示
您的信息不完整,为了账户安全,请先补充。
现在去补充
×
提示
您因"违规操作"
具体请查看互助需知
我知道了
×
提示
确定
请完成安全验证×
copy
已复制链接
快去分享给好友吧!
我知道了
右上角分享
点击右上角分享
0
联系我们:info@booksci.cn Book学术提供免费学术资源搜索服务,方便国内外学者检索中英文文献。致力于提供最便捷和优质的服务体验。 Copyright © 2023 布克学术 All rights reserved.
京ICP备2023020795号-1
ghs 京公网安备 11010802042870号
Book学术文献互助
Book学术文献互助群
群 号:604180095
Book学术官方微信