Poroid Neoplasms: A Clinicopathological Study of 13 Cases.

IF 1.9 Q3 PATHOLOGY
Clinical Pathology Pub Date : 2024-09-12 eCollection Date: 2024-01-01 DOI:10.1177/2632010X241281460
Boubacar Efared, Idrissa Boubacar, Kadre Alio Ousmane Kadre, Aïchatou Balaraba Abani Bako, Habiba Salifou Boureima, Soumaila Amadou, Hassan Nouhou
{"title":"Poroid Neoplasms: A Clinicopathological Study of 13 Cases.","authors":"Boubacar Efared, Idrissa Boubacar, Kadre Alio Ousmane Kadre, Aïchatou Balaraba Abani Bako, Habiba Salifou Boureima, Soumaila Amadou, Hassan Nouhou","doi":"10.1177/2632010X241281460","DOIUrl":null,"url":null,"abstract":"<p><strong>Introduction: </strong>Poroid neoplasms (PN) are a heterogeneous group of tumors deriving from sweat glands and folliculo-sebaceous units. Their histological classification and clinical features are challenging. Our aim was to report clinicopathological features of poroid neoplasms.</p><p><strong>Methods: </strong>It is a retrospective study including all cases of poroid neoplasms registered at our Pathology laboratory of Niamey National Hospital (February 2020-February 2024).</p><p><strong>Results: </strong>We registered 13 cases of benign poroid neoplasms: 10 classic poromas (CP) (76.9%), 2 poroid hidradenomas (PH) (15.4%) and 1 dermal duct tumor (DDT) (7.7%). Nine cases (69.2%) had preoperative clinical diagnosis of malignancy. The mean age was 41.1 years (range of 12-70 years) with a slight female predominance. Only 4/13 cases (30.8%) had classical palmoplantar locations. The tumors mean size was 3.7 cm (range of 0.4-8 cm). Clear cells were present in 7 cases (53.8%), apocrine ductal differentiation (mixed or pure) in 6 cases (46.2%), keratin horns in 2 cases (15.4%), squamous eddies in 6 cases (46.2%), melanin pigments in 1 case (7.7%) and sebaceous differentiation in 2 cases (15.4%).</p><p><strong>Conclusions: </strong>Unlike what is classically reported, our study shows that apocrine ductal differentiation, younger age and non-palmoplantar locations are common in poroid neoplasms.</p>","PeriodicalId":53204,"journal":{"name":"Clinical Pathology","volume":"17 ","pages":"2632010X241281460"},"PeriodicalIF":1.9000,"publicationDate":"2024-09-12","publicationTypes":"Journal Article","fieldsOfStudy":null,"isOpenAccess":false,"openAccessPdf":"https://www.ncbi.nlm.nih.gov/pmc/articles/PMC11402061/pdf/","citationCount":"0","resultStr":null,"platform":"Semanticscholar","paperid":null,"PeriodicalName":"Clinical Pathology","FirstCategoryId":"1085","ListUrlMain":"https://doi.org/10.1177/2632010X241281460","RegionNum":0,"RegionCategory":null,"ArticlePicture":[],"TitleCN":null,"AbstractTextCN":null,"PMCID":null,"EPubDate":"2024/1/1 0:00:00","PubModel":"eCollection","JCR":"Q3","JCRName":"PATHOLOGY","Score":null,"Total":0}
引用次数: 0

Abstract

Introduction: Poroid neoplasms (PN) are a heterogeneous group of tumors deriving from sweat glands and folliculo-sebaceous units. Their histological classification and clinical features are challenging. Our aim was to report clinicopathological features of poroid neoplasms.

Methods: It is a retrospective study including all cases of poroid neoplasms registered at our Pathology laboratory of Niamey National Hospital (February 2020-February 2024).

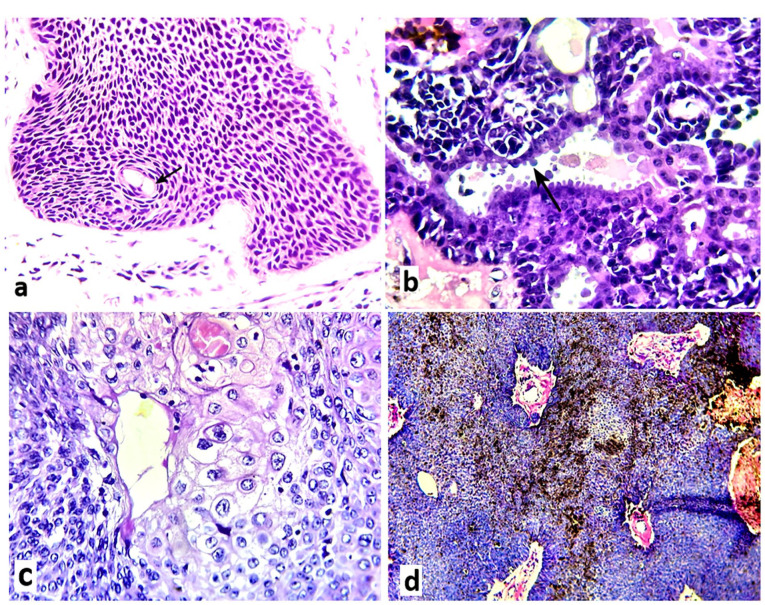
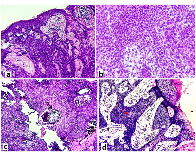
Results: We registered 13 cases of benign poroid neoplasms: 10 classic poromas (CP) (76.9%), 2 poroid hidradenomas (PH) (15.4%) and 1 dermal duct tumor (DDT) (7.7%). Nine cases (69.2%) had preoperative clinical diagnosis of malignancy. The mean age was 41.1 years (range of 12-70 years) with a slight female predominance. Only 4/13 cases (30.8%) had classical palmoplantar locations. The tumors mean size was 3.7 cm (range of 0.4-8 cm). Clear cells were present in 7 cases (53.8%), apocrine ductal differentiation (mixed or pure) in 6 cases (46.2%), keratin horns in 2 cases (15.4%), squamous eddies in 6 cases (46.2%), melanin pigments in 1 case (7.7%) and sebaceous differentiation in 2 cases (15.4%).

Conclusions: Unlike what is classically reported, our study shows that apocrine ductal differentiation, younger age and non-palmoplantar locations are common in poroid neoplasms.

Abstract Image

Abstract Image

Abstract Image

瘤样肿瘤:13 例临床病理学研究。
简介卟啉状肿瘤(PN)是一类来源于汗腺和毛囊皮脂腺单位的异质性肿瘤。其组织学分类和临床特征具有挑战性。我们的目的是报告类孔肿瘤的临床病理特征:这是一项回顾性研究,包括在尼亚美国立医院病理实验室登记的所有孔状肿瘤病例(2020 年 2 月至 2024 年 2 月):我们登记了13例良性孔状肿瘤病例:结果:我们共登记了 13 例良性孔状肿瘤:10 例典型孔状瘤(CP)(76.9%)、2 例孔状赘生物(PH)(15.4%)和 1 例真皮导管瘤(DDT)(7.7%)。9例(69.2%)术前临床诊断为恶性肿瘤。平均年龄为 41.1 岁(12-70 岁不等),女性略占多数。只有 4/13 例(30.8%)的肿瘤位于典型的掌跖部位。肿瘤平均大小为 3.7 厘米(0.4-8 厘米不等)。7例(53.8%)出现透明细胞,6例(46.2%)出现皮脂腺导管分化(混合或纯合),2例(15.4%)出现角质角,6例(46.2%)出现鳞状涡流,1例(7.7%)出现黑色素,2例(15.4%)出现皮脂腺分化:结论:与经典报道不同的是,我们的研究表明,孔状肿瘤常见于分泌腺导管分化、年龄较小及非掌跖部位。
本文章由计算机程序翻译,如有差异,请以英文原文为准。
求助全文
约1分钟内获得全文 求助全文
来源期刊
Clinical Pathology
Clinical Pathology PATHOLOGY-
CiteScore
2.20
自引率
7.70%
发文量
66
×
引用
GB/T 7714-2015
复制
MLA
复制
APA
复制
导出至
BibTeX EndNote RefMan NoteFirst NoteExpress
×
提示
您的信息不完整,为了账户安全,请先补充。
现在去补充
×
提示
您因"违规操作"
具体请查看互助需知
我知道了
×
提示
确定
请完成安全验证×
copy
已复制链接
快去分享给好友吧!
我知道了
右上角分享
点击右上角分享
0
联系我们:info@booksci.cn Book学术提供免费学术资源搜索服务,方便国内外学者检索中英文文献。致力于提供最便捷和优质的服务体验。 Copyright © 2023 布克学术 All rights reserved.
京ICP备2023020795号-1
ghs 京公网安备 11010802042870号
Book学术文献互助
Book学术文献互助群
群 号:604180095
Book学术官方微信