Clinical Profile of Patients with Hemifacial Spasm at a Tertiary Eye Care Center in South India: A Retrospective Study.

IF 0.9 Q3 OPHTHALMOLOGY
Journal of Current Ophthalmology Pub Date : 2024-08-10 eCollection Date: 2023-10-01 DOI:10.4103/joco.joco_295_22
Manisha Kalher, Madhurima Kaushik, Haritha Vasudevan, Siddharth Narendran, Karthik Kumar Mani, Kavitha Ramakrishnan, Viji Rangarajan, Virna Mahesh Shah
{"title":"Clinical Profile of Patients with Hemifacial Spasm at a Tertiary Eye Care Center in South India: A Retrospective Study.","authors":"Manisha Kalher, Madhurima Kaushik, Haritha Vasudevan, Siddharth Narendran, Karthik Kumar Mani, Kavitha Ramakrishnan, Viji Rangarajan, Virna Mahesh Shah","doi":"10.4103/joco.joco_295_22","DOIUrl":null,"url":null,"abstract":"<p><strong>Purpose: </strong>To assess the incidence and clinical profile of hemifacial spasm (HFS) and the association between HFS and systemic diseases.</p><p><strong>Methods: </strong>This retrospective study was carried out on 85 patients with HFS, presenting at a tertiary eye care center in South India. Demographic and clinical details were recorded for all patients. Of these, the patients who had undergone magnetic resonance imaging (MRI) of the brain were analyzed for primary and secondary HFS.</p><p><strong>Results: </strong>The mean age of the patients was 56.11 ± 12.51 years. The age at onset of HFS was 54.9 ± 12.7 years. The disease duration was 9.51 ± 7.28 years. Male:female ratio was 1:1.17. The right side was involved in 31 patients (36.47%) and the left side in 54 patients (63.52%). MRI was performed in 54 (63.52%) patients and showed neurovascular conflict in 22 (40.74%) patients and space-occupying lesions in 2 (3.70%) patients. Forty-nine (57.64%) patients had primary HFS, while five (5.88%) patients had secondary HFS due to old facial palsy in 3 and space-occupying lesions in two patients. Twenty (23.52%) patients received botulinum toxin A with a good response. Type of HFS had a significant association with hypertension (<i>P</i> = 0.046) while no significant association was present between laterality of HFS and systemic diseases (<i>P</i> > 0.05 each). Multivariate analysis showed a marginally significant association between type of HFS and hypertension (<i>P</i> = 0.057).</p><p><strong>Conclusions: </strong>Primary HFS was the main type of HFS with female dominance and predilection for the left side. Hypertension had a relationship with HFS that needs to be investigated further for its causal nature.</p>","PeriodicalId":15423,"journal":{"name":"Journal of Current Ophthalmology","volume":"35 4","pages":"395-400"},"PeriodicalIF":0.9000,"publicationDate":"2024-08-10","publicationTypes":"Journal Article","fieldsOfStudy":null,"isOpenAccess":false,"openAccessPdf":"https://www.ncbi.nlm.nih.gov/pmc/articles/PMC11392308/pdf/","citationCount":"0","resultStr":null,"platform":"Semanticscholar","paperid":null,"PeriodicalName":"Journal of Current Ophthalmology","FirstCategoryId":"1085","ListUrlMain":"https://doi.org/10.4103/joco.joco_295_22","RegionNum":0,"RegionCategory":null,"ArticlePicture":[],"TitleCN":null,"AbstractTextCN":null,"PMCID":null,"EPubDate":"2023/10/1 0:00:00","PubModel":"eCollection","JCR":"Q3","JCRName":"OPHTHALMOLOGY","Score":null,"Total":0}
引用次数: 0

Abstract

Purpose: To assess the incidence and clinical profile of hemifacial spasm (HFS) and the association between HFS and systemic diseases.

Methods: This retrospective study was carried out on 85 patients with HFS, presenting at a tertiary eye care center in South India. Demographic and clinical details were recorded for all patients. Of these, the patients who had undergone magnetic resonance imaging (MRI) of the brain were analyzed for primary and secondary HFS.

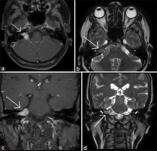
Results: The mean age of the patients was 56.11 ± 12.51 years. The age at onset of HFS was 54.9 ± 12.7 years. The disease duration was 9.51 ± 7.28 years. Male:female ratio was 1:1.17. The right side was involved in 31 patients (36.47%) and the left side in 54 patients (63.52%). MRI was performed in 54 (63.52%) patients and showed neurovascular conflict in 22 (40.74%) patients and space-occupying lesions in 2 (3.70%) patients. Forty-nine (57.64%) patients had primary HFS, while five (5.88%) patients had secondary HFS due to old facial palsy in 3 and space-occupying lesions in two patients. Twenty (23.52%) patients received botulinum toxin A with a good response. Type of HFS had a significant association with hypertension (P = 0.046) while no significant association was present between laterality of HFS and systemic diseases (P > 0.05 each). Multivariate analysis showed a marginally significant association between type of HFS and hypertension (P = 0.057).

Conclusions: Primary HFS was the main type of HFS with female dominance and predilection for the left side. Hypertension had a relationship with HFS that needs to be investigated further for its causal nature.

Abstract Image

南印度一家三级眼科医疗中心的面肌痉挛患者临床概况:回顾性研究。
目的:评估半面肌痉挛(HFS)的发病率和临床特征,以及 HFS 与全身性疾病之间的关联:这项回顾性研究的对象是在南印度一家三级眼科医疗中心就诊的 85 名半面痉挛患者。研究记录了所有患者的人口统计学和临床细节。对其中接受过脑部磁共振成像(MRI)检查的患者进行了原发性和继发性 HFS 分析:结果:患者的平均年龄为(56.11 ± 12.51)岁。结果:患者的平均年龄为(56.11±12.51)岁,HFS的发病年龄为(54.9±12.7)岁。病程为(9.51 ± 7.28)年。男女比例为 1:1.17。31名患者(36.47%)右侧受累,54名患者(63.52%)左侧受累。54名患者(63.52%)接受了磁共振成像检查,结果显示22名患者(40.74%)存在神经血管冲突,2名患者(3.70%)存在空间占位性病变。49例(57.64%)患者为原发性 HFS,5 例(5.88%)患者为继发性 HFS,其中 3 例患者为陈旧性面瘫,2 例患者为空间占位性病变。20(23.52%)名患者接受了 A 型肉毒毒素治疗,并取得了良好的效果。HFS的类型与高血压有显著相关性(P = 0.046),而HFS的偏侧性与全身性疾病无显著相关性(P > 0.05)。多变量分析显示,HFS类型与高血压之间存在微弱的相关性(P = 0.057):结论:原发性 HFS 是 HFS 的主要类型,以女性为主,且偏爱左侧。结论:原发性 HFS 是 HFS 的主要类型,以女性为主,且偏爱左侧。高血压与 HFS 有一定关系,需要进一步研究其因果关系。
本文章由计算机程序翻译,如有差异,请以英文原文为准。
求助全文
约1分钟内获得全文 求助全文
来源期刊
CiteScore
2.50
自引率
6.70%
发文量
45
审稿时长
8 weeks
期刊介绍: Peer Review under the responsibility of Iranian Society of Ophthalmology Journal of Current Ophthalmology, the official publication of the Iranian Society of Ophthalmology, is a peer-reviewed, open-access, scientific journal that welcomes high quality original articles related to vision science and all fields of ophthalmology. Journal of Current Ophthalmology is the continuum of Iranian Journal of Ophthalmology published since 1969.
×
引用
GB/T 7714-2015
复制
MLA
复制
APA
复制
导出至
BibTeX EndNote RefMan NoteFirst NoteExpress
×
提示
您的信息不完整,为了账户安全,请先补充。
现在去补充
×
提示
您因"违规操作"
具体请查看互助需知
我知道了
×
提示
确定
请完成安全验证×
copy
已复制链接
快去分享给好友吧!
我知道了
右上角分享
点击右上角分享
0
联系我们:info@booksci.cn Book学术提供免费学术资源搜索服务,方便国内外学者检索中英文文献。致力于提供最便捷和优质的服务体验。 Copyright © 2023 布克学术 All rights reserved.
京ICP备2023020795号-1
ghs 京公网安备 11010802042870号
Book学术文献互助
Book学术文献互助群
群 号:604180095
Book学术官方微信