Q Fever Endocarditis with Bilateral Multifocal Retinitis: A Case Report.

IF 0.9 Q3 OPHTHALMOLOGY
Journal of Current Ophthalmology Pub Date : 2024-08-10 eCollection Date: 2023-10-01 DOI:10.4103/joco.joco_81_23
Rym Maamouri, Olfa Beizig, Khadija Mzoughi, Monia Cheour
{"title":"Q Fever Endocarditis with Bilateral Multifocal Retinitis: A Case Report.","authors":"Rym Maamouri, Olfa Beizig, Khadija Mzoughi, Monia Cheour","doi":"10.4103/joco.joco_81_23","DOIUrl":null,"url":null,"abstract":"<p><strong>Purpose: </strong>To describe a case of bilateral retinitis in a patient with endocarditis and a serologically confirmed Q fever.</p><p><strong>Methods: </strong>A single case report documented with multimodal imaging.</p><p><strong>Results: </strong>A 55-year-old patient with culture-negative endocarditis was referred to our department for an ocular examination. His visual acuity was 20/20 in both eyes. Fundus examination showed white retinal infiltrates with few superficial retinal hemorrhages scattered in the posterior pole. There was no staining on fluorescein angiography. Swept-source optical coherence tomography (SS-OCT) revealed increased inner retinal reflectivity with a focal area of retinal thickening. Laboratory tests showed a high titer of antibodies against <i>Coxiella burnetii</i>. The patient was treated with doxycycline. Two weeks later, fundus examination showed partial resolution of retinitis with inner retinal thinning in SS-OCT.</p><p><strong>Conclusions: </strong>Multifocal retinitis is an uncommon presentation of Q fever. The diagnosis should be considered, especially when associated with culture-negative infective endocarditis, highlighting the importance of routine ocular examination.</p>","PeriodicalId":15423,"journal":{"name":"Journal of Current Ophthalmology","volume":"35 4","pages":"405-407"},"PeriodicalIF":0.9000,"publicationDate":"2024-08-10","publicationTypes":"Journal Article","fieldsOfStudy":null,"isOpenAccess":false,"openAccessPdf":"https://www.ncbi.nlm.nih.gov/pmc/articles/PMC11392299/pdf/","citationCount":"0","resultStr":null,"platform":"Semanticscholar","paperid":null,"PeriodicalName":"Journal of Current Ophthalmology","FirstCategoryId":"1085","ListUrlMain":"https://doi.org/10.4103/joco.joco_81_23","RegionNum":0,"RegionCategory":null,"ArticlePicture":[],"TitleCN":null,"AbstractTextCN":null,"PMCID":null,"EPubDate":"2023/10/1 0:00:00","PubModel":"eCollection","JCR":"Q3","JCRName":"OPHTHALMOLOGY","Score":null,"Total":0}
引用次数: 0

Abstract

Purpose: To describe a case of bilateral retinitis in a patient with endocarditis and a serologically confirmed Q fever.

Methods: A single case report documented with multimodal imaging.

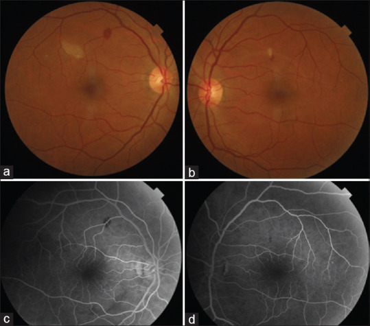
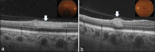
Results: A 55-year-old patient with culture-negative endocarditis was referred to our department for an ocular examination. His visual acuity was 20/20 in both eyes. Fundus examination showed white retinal infiltrates with few superficial retinal hemorrhages scattered in the posterior pole. There was no staining on fluorescein angiography. Swept-source optical coherence tomography (SS-OCT) revealed increased inner retinal reflectivity with a focal area of retinal thickening. Laboratory tests showed a high titer of antibodies against Coxiella burnetii. The patient was treated with doxycycline. Two weeks later, fundus examination showed partial resolution of retinitis with inner retinal thinning in SS-OCT.

Conclusions: Multifocal retinitis is an uncommon presentation of Q fever. The diagnosis should be considered, especially when associated with culture-negative infective endocarditis, highlighting the importance of routine ocular examination.

Abstract Image

Abstract Image

Abstract Image

Q 热心内膜炎伴双侧多灶性视网膜炎:病例报告。
目的:描述一例患有心内膜炎并经血清学确诊为 Q 热的患者的双侧视网膜炎病例:方法:通过多模态成像记录单个病例报告:结果:一名55岁的心内膜炎培养阴性患者被转诊至我科进行眼部检查。他的双眼视力均为 20/20。眼底检查显示白色视网膜浸润,后极部散布着少量浅表视网膜出血。荧光素血管造影未见染色。扫源光学相干断层扫描(SS-OCT)显示视网膜内层反射率增加,视网膜局灶区域增厚。实验室检测结果显示,患者体内存在高滴度的烧伤柯西氏杆菌抗体。患者接受了强力霉素治疗。两周后,眼底检查显示视网膜炎部分缓解,SS-OCT检查显示视网膜内层变薄:结论:多灶性视网膜炎是 Q 热的一种不常见表现。结论:多灶性视网膜炎是 Q 热的一种不常见表现,应考虑确诊,尤其是在伴有培养阴性的感染性心内膜炎时,更应强调常规眼底检查的重要性。
本文章由计算机程序翻译,如有差异,请以英文原文为准。
求助全文
约1分钟内获得全文 求助全文
来源期刊
CiteScore
2.50
自引率
6.70%
发文量
45
审稿时长
8 weeks
期刊介绍: Peer Review under the responsibility of Iranian Society of Ophthalmology Journal of Current Ophthalmology, the official publication of the Iranian Society of Ophthalmology, is a peer-reviewed, open-access, scientific journal that welcomes high quality original articles related to vision science and all fields of ophthalmology. Journal of Current Ophthalmology is the continuum of Iranian Journal of Ophthalmology published since 1969.
×
引用
GB/T 7714-2015
复制
MLA
复制
APA
复制
导出至
BibTeX EndNote RefMan NoteFirst NoteExpress
×
提示
您的信息不完整,为了账户安全,请先补充。
现在去补充
×
提示
您因"违规操作"
具体请查看互助需知
我知道了
×
提示
确定
请完成安全验证×
copy
已复制链接
快去分享给好友吧!
我知道了
右上角分享
点击右上角分享
0
联系我们:info@booksci.cn Book学术提供免费学术资源搜索服务,方便国内外学者检索中英文文献。致力于提供最便捷和优质的服务体验。 Copyright © 2023 布克学术 All rights reserved.
京ICP备2023020795号-1
ghs 京公网安备 11010802042870号
Book学术文献互助
Book学术文献互助群
群 号:604180095
Book学术官方微信