Case report: is necrotizing fasciitis in a rectal cancer patient after targeted systemic therapy related to the tumor site? - evidence from a hepatocellular carcinoma patient.

IF 2.8 2区 医学 Q3 IMMUNOLOGY
Xiaowen Han, Xiaodong Huang, Jiayi Zhang, Weidong Li, Zhen Ma, Bin Ma, Ewestse Paul Maswikiti, Zhenyu Yin, Yuhan Wang, Lei Gao, Hao Chen
{"title":"Case report: is necrotizing fasciitis in a rectal cancer patient after targeted systemic therapy related to the tumor site? - evidence from a hepatocellular carcinoma patient.","authors":"Xiaowen Han, Xiaodong Huang, Jiayi Zhang, Weidong Li, Zhen Ma, Bin Ma, Ewestse Paul Maswikiti, Zhenyu Yin, Yuhan Wang, Lei Gao, Hao Chen","doi":"10.1186/s13027-024-00607-1","DOIUrl":null,"url":null,"abstract":"<p><p>Necrotizing fasciitis (NF) is a rare and life-threatening serious infectious disease, characterized by acute onset and rapid progress, leading to extensive necrosis of skin, soft tissue as well as fascia by a variety of aerobic and anaerobic bacteria, localized on external genitalia, scrotum, groin and perianal areas in males. There exist numerous common etiologies for NF, yet NF induced by malignant neoplasms is exceedingly rare. Several studies have reported that NF may be associated with tumor site (rectal/sigmoid colon cancer) and blood supply dysfunction caused by targeted therapy drugs (bevacizumab, aflibercept, ramucirumab). The perforation of colorectal cancer poses a unique risk factor for NF. However, in our two cases, the patient with rectal cancer received CapeOX (oxaliplatin + capecitabine) + bevacizumab + tislelizumab for 3 cycles without perforation but did develop NF. One month after debridement, the patient continued immunotherapy with tislelizumab alone for the fourth cycle and maintained for an additional 3 cycles without any recurrence of NF. Therefore, does the occurrence of NF correlate with the tumor site (rectum) and targeted immunotherapy? Another patient with hepatocellular carcinoma also developed NF after receiving 2 cycles of lenvatinib + sintilimab treatment. The third cycle of sintilimab immunotherapy was administered on the 13th day after operation, which was subsequently maintained for an additional 2 cycles without recurrence of NF. The absence of a direct correlation between hepatocellular carcinoma and rectal tumor location as well as immunotherapy, suggests that NF may be closely linked to targeted therapy.</p>","PeriodicalId":13568,"journal":{"name":"Infectious Agents and Cancer","volume":"19 1","pages":"45"},"PeriodicalIF":2.8000,"publicationDate":"2024-09-20","publicationTypes":"Journal Article","fieldsOfStudy":null,"isOpenAccess":false,"openAccessPdf":"https://www.ncbi.nlm.nih.gov/pmc/articles/PMC11414244/pdf/","citationCount":"0","resultStr":null,"platform":"Semanticscholar","paperid":null,"PeriodicalName":"Infectious Agents and Cancer","FirstCategoryId":"3","ListUrlMain":"https://doi.org/10.1186/s13027-024-00607-1","RegionNum":2,"RegionCategory":"医学","ArticlePicture":[],"TitleCN":null,"AbstractTextCN":null,"PMCID":null,"EPubDate":"","PubModel":"","JCR":"Q3","JCRName":"IMMUNOLOGY","Score":null,"Total":0}
引用次数: 0

Abstract

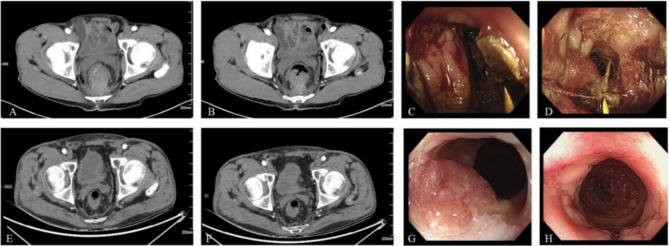
Necrotizing fasciitis (NF) is a rare and life-threatening serious infectious disease, characterized by acute onset and rapid progress, leading to extensive necrosis of skin, soft tissue as well as fascia by a variety of aerobic and anaerobic bacteria, localized on external genitalia, scrotum, groin and perianal areas in males. There exist numerous common etiologies for NF, yet NF induced by malignant neoplasms is exceedingly rare. Several studies have reported that NF may be associated with tumor site (rectal/sigmoid colon cancer) and blood supply dysfunction caused by targeted therapy drugs (bevacizumab, aflibercept, ramucirumab). The perforation of colorectal cancer poses a unique risk factor for NF. However, in our two cases, the patient with rectal cancer received CapeOX (oxaliplatin + capecitabine) + bevacizumab + tislelizumab for 3 cycles without perforation but did develop NF. One month after debridement, the patient continued immunotherapy with tislelizumab alone for the fourth cycle and maintained for an additional 3 cycles without any recurrence of NF. Therefore, does the occurrence of NF correlate with the tumor site (rectum) and targeted immunotherapy? Another patient with hepatocellular carcinoma also developed NF after receiving 2 cycles of lenvatinib + sintilimab treatment. The third cycle of sintilimab immunotherapy was administered on the 13th day after operation, which was subsequently maintained for an additional 2 cycles without recurrence of NF. The absence of a direct correlation between hepatocellular carcinoma and rectal tumor location as well as immunotherapy, suggests that NF may be closely linked to targeted therapy.

Abstract Image

Abstract Image

Abstract Image

病例报告:直肠癌患者接受系统靶向治疗后出现坏死性筋膜炎是否与肿瘤部位有关?- 来自一名肝癌患者的证据。
坏死性筋膜炎(NF)是一种罕见的危及生命的严重感染性疾病,其特点是起病急、进展快,由多种需氧和厌氧菌导致皮肤、软组织和筋膜大面积坏死,好发于男性的外生殖器、阴囊、腹股沟和肛周部位。NF 的常见病因很多,但由恶性肿瘤诱发的 NF 却极为罕见。一些研究报告指出,NF 可能与肿瘤部位(直肠癌/乙状结肠癌)和靶向治疗药物(贝伐单抗、阿弗利百普、ramucirumab)引起的供血功能障碍有关。结直肠癌穿孔是导致 NF 的一个独特风险因素。然而,在我们的两个病例中,直肠癌患者接受了CapeOX(奥沙利铂+卡培他滨)+贝伐珠单抗+替舒瑞珠单抗3个周期的治疗,没有发生穿孔,但却出现了NF。清创术后一个月,患者继续接受免疫治疗,第四个周期单独使用替斯利珠单抗,又维持了 3 个周期,NF 没有复发。因此,NF 的发生是否与肿瘤部位(直肠)和靶向免疫疗法有关?另一名肝细胞癌患者在接受两个周期的来伐替尼+辛替利单抗治疗后也出现了NF。第三周期的辛替利单抗免疫治疗是在术后第13天进行的,随后又维持了2个周期,NF没有复发。肝细胞癌和直肠肿瘤位置以及免疫疗法之间没有直接关联,这表明NF可能与靶向治疗密切相关。
本文章由计算机程序翻译,如有差异,请以英文原文为准。
求助全文
约1分钟内获得全文 求助全文
来源期刊
Infectious Agents and Cancer
Infectious Agents and Cancer ONCOLOGY-IMMUNOLOGY
CiteScore
5.80
自引率
2.70%
发文量
54
期刊介绍: Infectious Agents and Cancer is an open access, peer-reviewed online journal that encompasses all aspects of basic, clinical, epidemiological and translational research providing an insight into the association between chronic infections and cancer. The journal welcomes submissions in the pathogen-related cancer areas and other related topics, in particular: • HPV and anogenital cancers, as well as head and neck cancers; • EBV and Burkitt lymphoma; • HCV/HBV and hepatocellular carcinoma as well as lymphoproliferative diseases; • HHV8 and Kaposi sarcoma; • HTLV and leukemia; • Cancers in Low- and Middle-income countries. The link between infection and cancer has become well established over the past 50 years, and infection-associated cancer contribute up to 16% of cancers in developed countries and 33% in less developed countries. Preventive vaccines have been developed for only two cancer-causing viruses, highlighting both the opportunity to prevent infection-associated cancers by vaccination and the gaps that remain before vaccines can be developed for other cancer-causing agents. These gaps are due to incomplete understanding of the basic biology, natural history, epidemiology of many of the pathogens that cause cancer, the mechanisms they exploit to cause cancer, and how to interrupt progression to cancer in human populations. Early diagnosis or identification of lesions at high risk of progression represent the current most critical research area of the field supported by recent advances in genomics and proteomics technologies.
×
引用
GB/T 7714-2015
复制
MLA
复制
APA
复制
导出至
BibTeX EndNote RefMan NoteFirst NoteExpress
×
提示
您的信息不完整,为了账户安全,请先补充。
现在去补充
×
提示
您因"违规操作"
具体请查看互助需知
我知道了
×
提示
确定
请完成安全验证×
copy
已复制链接
快去分享给好友吧!
我知道了
右上角分享
点击右上角分享
0
联系我们:info@booksci.cn Book学术提供免费学术资源搜索服务,方便国内外学者检索中英文文献。致力于提供最便捷和优质的服务体验。 Copyright © 2023 布克学术 All rights reserved.
京ICP备2023020795号-1
ghs 京公网安备 11010802042870号
Book学术文献互助
Book学术文献互助群
群 号:604180095
Book学术官方微信