Early Neonatal Shock: Case Report and Lessons Learned in Management.

IF 1.4 Q3 PEDIATRICS
Global Pediatric Health Pub Date : 2024-09-09 eCollection Date: 2024-01-01 DOI:10.1177/2333794X241273204
Aso Faeq Salih, Ali M Jawad, Majeed H Jawad
{"title":"Early Neonatal Shock: Case Report and Lessons Learned in Management.","authors":"Aso Faeq Salih, Ali M Jawad, Majeed H Jawad","doi":"10.1177/2333794X241273204","DOIUrl":null,"url":null,"abstract":"<p><p>We report a case of a neonate, delivered by C-section, that rapidly developed respiratory compromise and hemodynamic instability prompting admission to critical care. Urgent cardiology assessment with echocardiography revealed severe systolic dysfunction from localized myocardial ischemia and pulmonary hypertension. Their management progressively escalated, eventually requiring inotropic support. Despite intensive treatment and meticulous nursing with demonstrable improvement of cardiac function, they deteriorated suddenly and died on Day 2 post-partum. This case emphasizes the challenge in early recognition of neonatal shock due to often nonspecific presentations, with hemodynamic compromise arising later. We recommend close vigilance for deterioration, awareness of indolent etiology including viral myocarditis, titration of appropriate inotropes and synergistic adjunctive vasodilators, and consideration of immune modulators such as corticosteroids that addresses biochemical deficiencies and support cardiac function. Ultimately, aggressive, targeted, and multi-focal treatment, especially in resource-limited environments, maximizes the chances of survival in challenging clinical situations such as progressive neonatal shock.</p>","PeriodicalId":12576,"journal":{"name":"Global Pediatric Health","volume":"11 ","pages":"2333794X241273204"},"PeriodicalIF":1.4000,"publicationDate":"2024-09-09","publicationTypes":"Journal Article","fieldsOfStudy":null,"isOpenAccess":false,"openAccessPdf":"https://www.ncbi.nlm.nih.gov/pmc/articles/PMC11384514/pdf/","citationCount":"0","resultStr":null,"platform":"Semanticscholar","paperid":null,"PeriodicalName":"Global Pediatric Health","FirstCategoryId":"1085","ListUrlMain":"https://doi.org/10.1177/2333794X241273204","RegionNum":0,"RegionCategory":null,"ArticlePicture":[],"TitleCN":null,"AbstractTextCN":null,"PMCID":null,"EPubDate":"2024/1/1 0:00:00","PubModel":"eCollection","JCR":"Q3","JCRName":"PEDIATRICS","Score":null,"Total":0}
引用次数: 0

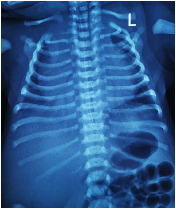
Abstract

We report a case of a neonate, delivered by C-section, that rapidly developed respiratory compromise and hemodynamic instability prompting admission to critical care. Urgent cardiology assessment with echocardiography revealed severe systolic dysfunction from localized myocardial ischemia and pulmonary hypertension. Their management progressively escalated, eventually requiring inotropic support. Despite intensive treatment and meticulous nursing with demonstrable improvement of cardiac function, they deteriorated suddenly and died on Day 2 post-partum. This case emphasizes the challenge in early recognition of neonatal shock due to often nonspecific presentations, with hemodynamic compromise arising later. We recommend close vigilance for deterioration, awareness of indolent etiology including viral myocarditis, titration of appropriate inotropes and synergistic adjunctive vasodilators, and consideration of immune modulators such as corticosteroids that addresses biochemical deficiencies and support cardiac function. Ultimately, aggressive, targeted, and multi-focal treatment, especially in resource-limited environments, maximizes the chances of survival in challenging clinical situations such as progressive neonatal shock.

Abstract Image

Abstract Image

Abstract Image

新生儿早期休克:病例报告和处理经验。
我们报告了一例剖腹产新生儿的病例,该新生儿迅速出现呼吸衰竭和血流动力学不稳定,因此被送入重症监护室。心脏科紧急进行的超声心动图评估显示,局部心肌缺血和肺动脉高压导致严重的收缩功能障碍。对他们的治疗逐步升级,最终需要肌力支持。尽管进行了强化治疗和精心护理,心功能明显改善,但她们的病情突然恶化,于产后第 2 天死亡。本病例强调了早期识别新生儿休克所面临的挑战,因为新生儿休克往往表现为非特异性休克,血流动力学损害出现得较晚。我们建议密切警惕病情恶化,了解包括病毒性心肌炎在内的懒惰性病因,滴注适当的肌力药物和协同辅助性血管扩张剂,并考虑使用免疫调节剂(如皮质类固醇)来解决生化缺陷和支持心脏功能。最终,积极、有针对性和多病灶治疗(尤其是在资源有限的环境中)可最大限度地提高新生儿进展性休克等具有挑战性的临床情况下的存活机会。
本文章由计算机程序翻译,如有差异,请以英文原文为准。
求助全文
约1分钟内获得全文 求助全文
来源期刊
Global Pediatric Health
Global Pediatric Health Nursing-Pediatrics
CiteScore
2.20
自引率
0.00%
发文量
105
审稿时长
12 weeks
×
引用
GB/T 7714-2015
复制
MLA
复制
APA
复制
导出至
BibTeX EndNote RefMan NoteFirst NoteExpress
×
提示
您的信息不完整,为了账户安全,请先补充。
现在去补充
×
提示
您因"违规操作"
具体请查看互助需知
我知道了
×
提示
确定
请完成安全验证×
copy
已复制链接
快去分享给好友吧!
我知道了
右上角分享
点击右上角分享
0
联系我们:info@booksci.cn Book学术提供免费学术资源搜索服务,方便国内外学者检索中英文文献。致力于提供最便捷和优质的服务体验。 Copyright © 2023 布克学术 All rights reserved.
京ICP备2023020795号-1
ghs 京公网安备 11010802042870号
Book学术文献互助
Book学术文献互助群
群 号:604180095
Book学术官方微信