Surgical Management of Hereditary Gingival Fibromatosis: Case Series.

IF 1.8 Q3 DENTISTRY, ORAL SURGERY & MEDICINE
Clinical, Cosmetic and Investigational Dentistry Pub Date : 2024-09-11 eCollection Date: 2024-01-01 DOI:10.2147/CCIDE.S480490
Hassina Shadab, Aisha Nawabi, Abdurrahman Anwari, Mohammad Bashir Nejabi, Elaha Somaya Ghafari, Sajeya Karimi, Mohammad Eissa Ahmadi
{"title":"Surgical Management of Hereditary Gingival Fibromatosis: Case Series.","authors":"Hassina Shadab, Aisha Nawabi, Abdurrahman Anwari, Mohammad Bashir Nejabi, Elaha Somaya Ghafari, Sajeya Karimi, Mohammad Eissa Ahmadi","doi":"10.2147/CCIDE.S480490","DOIUrl":null,"url":null,"abstract":"<p><p>Hereditary gingival fibromatosis (HGF) is an uncommon genetic condition marked by gradual and progressive overgrowth of fibrous tissue in the gums, which is benign in nature. It is a genetic disorder inherited in an autosomal dominant pattern, known for its considerable genetic diversity. The marginal, attached, and interdental gingivae are affected by this condition. The affected area appears pink, does not bleed easily, and exhibits a firm, fibrotic texture. Additionally, it displays a hard, widespread nodular growth that is smooth to stippled and has little bleeding tendency. Nevertheless, in certain instances, the enlargement may feel so dense and firm that it resembles bone upon palpation. Accordingly, esthetics and functions related to a healthy gingiva is also affected. The choice of treatment modality often depends on factors such as the severity of gingival overgrowth, available resources, and patient-specific considerations. Laser techniques and electrosurgery have emerged as valuable options, providing benefits like reduced discomfort and enhanced precision. However, traditional surgical methods remain highly effective, particularly when advanced technologies are not available. This article reports on three cases of hereditary gingival fibromatosis (HGF) treated with conventional gingivectomy, flap procedures, and resective osseous surgery (osteoplasty and osteotomy). The aim is to support the efficacy of these interventions in addressing patient complaints and preparing the groundwork for managing additional issues, such as speech and mastication difficulties, delayed eruption of permanent teeth, and malocclusion. The surgical treatment led to significant improvements: masticatory function was markedly enhanced, aesthetic outcomes were notably better, and oral hygiene significantly improved. Additionally, the procedures created favorable conditions for future treatments, including orthodontics, implants, or prosthetics, by providing a more manageable and functional oral environment.</p>","PeriodicalId":10445,"journal":{"name":"Clinical, Cosmetic and Investigational Dentistry","volume":"16 ","pages":"307-319"},"PeriodicalIF":1.8000,"publicationDate":"2024-09-11","publicationTypes":"Journal Article","fieldsOfStudy":null,"isOpenAccess":false,"openAccessPdf":"https://www.ncbi.nlm.nih.gov/pmc/articles/PMC11403129/pdf/","citationCount":"0","resultStr":null,"platform":"Semanticscholar","paperid":null,"PeriodicalName":"Clinical, Cosmetic and Investigational Dentistry","FirstCategoryId":"1085","ListUrlMain":"https://doi.org/10.2147/CCIDE.S480490","RegionNum":0,"RegionCategory":null,"ArticlePicture":[],"TitleCN":null,"AbstractTextCN":null,"PMCID":null,"EPubDate":"2024/1/1 0:00:00","PubModel":"eCollection","JCR":"Q3","JCRName":"DENTISTRY, ORAL SURGERY & MEDICINE","Score":null,"Total":0}
引用次数: 0

Abstract

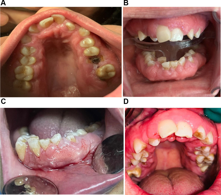
Hereditary gingival fibromatosis (HGF) is an uncommon genetic condition marked by gradual and progressive overgrowth of fibrous tissue in the gums, which is benign in nature. It is a genetic disorder inherited in an autosomal dominant pattern, known for its considerable genetic diversity. The marginal, attached, and interdental gingivae are affected by this condition. The affected area appears pink, does not bleed easily, and exhibits a firm, fibrotic texture. Additionally, it displays a hard, widespread nodular growth that is smooth to stippled and has little bleeding tendency. Nevertheless, in certain instances, the enlargement may feel so dense and firm that it resembles bone upon palpation. Accordingly, esthetics and functions related to a healthy gingiva is also affected. The choice of treatment modality often depends on factors such as the severity of gingival overgrowth, available resources, and patient-specific considerations. Laser techniques and electrosurgery have emerged as valuable options, providing benefits like reduced discomfort and enhanced precision. However, traditional surgical methods remain highly effective, particularly when advanced technologies are not available. This article reports on three cases of hereditary gingival fibromatosis (HGF) treated with conventional gingivectomy, flap procedures, and resective osseous surgery (osteoplasty and osteotomy). The aim is to support the efficacy of these interventions in addressing patient complaints and preparing the groundwork for managing additional issues, such as speech and mastication difficulties, delayed eruption of permanent teeth, and malocclusion. The surgical treatment led to significant improvements: masticatory function was markedly enhanced, aesthetic outcomes were notably better, and oral hygiene significantly improved. Additionally, the procedures created favorable conditions for future treatments, including orthodontics, implants, or prosthetics, by providing a more manageable and functional oral environment.

Abstract Image

Abstract Image

Abstract Image

遗传性牙龈纤维瘤病的手术治疗:病例系列。
遗传性牙龈纤维瘤病(HGF)是一种不常见的遗传病,其特征是牙龈纤维组织逐渐和进行性过度生长,属于良性疾病。它是一种常染色体显性遗传疾病,因其遗传多样性而闻名。牙龈边缘、附着龈和齿间龈都会受到这种疾病的影响。患处呈粉红色,不易出血,质地坚硬、纤维化。此外,它还表现为坚硬、广泛的结节状增生,从光滑到呈条纹状,几乎没有出血倾向。不过,在某些情况下,肿物可能会感觉非常致密坚硬,触诊时类似骨头。因此,健康牙龈的美观和功能也会受到影响。治疗方式的选择通常取决于牙龈增生的严重程度、可用资源和患者的具体情况等因素。激光技术和电外科手术已成为有价值的选择,它们具有减少不适感和提高精确度等优点。然而,传统的手术方法仍然非常有效,尤其是在没有先进技术的情况下。本文报告了三例遗传性牙龈纤维瘤病(HGF)病例,分别采用传统的龈切除术、皮瓣手术和切除性骨手术(骨成形术和截骨术)进行治疗。目的是支持这些干预措施在解决患者主诉方面的疗效,并为处理其他问题(如语言和咀嚼困难、恒牙萌出延迟和咬合不正)奠定基础。手术治疗带来了显著的改善:咀嚼功能明显增强,美观效果明显改善,口腔卫生明显改善。此外,通过提供更易于管理和功能性更强的口腔环境,手术还为今后的治疗(包括正畸、种植或修复)创造了有利条件。
本文章由计算机程序翻译,如有差异,请以英文原文为准。
求助全文
约1分钟内获得全文 求助全文
来源期刊
CiteScore
3.90
自引率
5.60%
发文量
43
审稿时长
16 weeks
×
引用
GB/T 7714-2015
复制
MLA
复制
APA
复制
导出至
BibTeX EndNote RefMan NoteFirst NoteExpress
×
提示
您的信息不完整,为了账户安全,请先补充。
现在去补充
×
提示
您因"违规操作"
具体请查看互助需知
我知道了
×
提示
确定
请完成安全验证×
copy
已复制链接
快去分享给好友吧!
我知道了
右上角分享
点击右上角分享
0
联系我们:info@booksci.cn Book学术提供免费学术资源搜索服务,方便国内外学者检索中英文文献。致力于提供最便捷和优质的服务体验。 Copyright © 2023 布克学术 All rights reserved.
京ICP备2023020795号-1
ghs 京公网安备 11010802042870号
Book学术文献互助
Book学术文献互助群
群 号:604180095
Book学术官方微信