Patient With a Diffuse Large B-Cell Non-Hodgkin Lymphoma in the Right Heart Chamber That Caused Cardiogenic Shock Was Well-Responded to Corticosteroids and Chemotherapy.

IF 0.6 Q3 MEDICINE, GENERAL & INTERNAL
Clinical Medicine Insights. Case Reports Pub Date : 2024-09-13 eCollection Date: 2024-01-01 DOI:10.1177/11795476241277663
Kien Trung Nguyen, Ba Van Dang, Dung Thai Pham, Tien Viet Tran, Tuan Dinh Le, Son Tien Nguyen, Duong Minh Vu, Dung Tien Le, Bang Van Nguyen, Hai Anh Vu, Hung Manh Do, Huy Quang Nguyen, Thang Ba Ta, Hoang Huy Duong, Ha Pham Vu Thu, Toan Duy Nguyen, Trung Hong Le, Dan Van Ngo, Hoa Trung Dinh, Thuc Luong Cong
{"title":"Patient With a Diffuse Large B-Cell Non-Hodgkin Lymphoma in the Right Heart Chamber That Caused Cardiogenic Shock Was Well-Responded to Corticosteroids and Chemotherapy.","authors":"Kien Trung Nguyen, Ba Van Dang, Dung Thai Pham, Tien Viet Tran, Tuan Dinh Le, Son Tien Nguyen, Duong Minh Vu, Dung Tien Le, Bang Van Nguyen, Hai Anh Vu, Hung Manh Do, Huy Quang Nguyen, Thang Ba Ta, Hoang Huy Duong, Ha Pham Vu Thu, Toan Duy Nguyen, Trung Hong Le, Dan Van Ngo, Hoa Trung Dinh, Thuc Luong Cong","doi":"10.1177/11795476241277663","DOIUrl":null,"url":null,"abstract":"<p><p>Heart tumors are sporadic. Secondary heart tumors are 30 times more common than primary ones. Depending on the location and origin of the tumor, clinical pictures vary from asymptomatic to severe manifestations such as arrhythmia, heart failure, pericardial effusion, and cardiogenic shock. We report hereby a rare case who presented with faint clinical symptoms, rapidly progressing to right heart failure within a month. Echocardiography and computed tomography of the chest revealed a tumor in the right heart chamber of 72.0 × 43.0 mm, in addition to large mediastinal lymph and left supraclavicular lymph nodes, cardiogenic shock appeared 4 days after admission. Through examination, it was suspected that this was a cardiac lymphoma. The patient was treated with 2 mg methylprednisolone per kg body weight. Symptoms of cardiogenic shock improved significantly and disappeared after 6 hours of treatment. After supraclavicular lymph node biopsy and immunohistochemistry, the final result was diagnosed as diffuse large B-cell non-Hodgkin lymphoma with large lymphoma in the right heart. The patient received chemotherapy with the R-CHOP regimen (Rituximab, Cyclophosphamide, Doxorubicin, Vincristine, and Prednisolone). Re-examination before the 5th chemotherapy cycle showed no signs of right heart failure, normal self-activity, and no dyspnea on exertion, and the tumor size in the heart on the echocardiogram was 23.8 × 19.1 mm. The report shows that a large right heart tumor with a clinical picture of cardiogenic shock in a patient with diffuse large B-cell non-Hodgkin's lymphoma was well-responded to initial treatment with methylprednisolone at a dose of 2 mg/kg body weight and R-CHOP chemotherapy.</p>","PeriodicalId":10357,"journal":{"name":"Clinical Medicine Insights. Case Reports","volume":"17 ","pages":"11795476241277663"},"PeriodicalIF":0.6000,"publicationDate":"2024-09-13","publicationTypes":"Journal Article","fieldsOfStudy":null,"isOpenAccess":false,"openAccessPdf":"https://www.ncbi.nlm.nih.gov/pmc/articles/PMC11401011/pdf/","citationCount":"0","resultStr":null,"platform":"Semanticscholar","paperid":null,"PeriodicalName":"Clinical Medicine Insights. Case Reports","FirstCategoryId":"1085","ListUrlMain":"https://doi.org/10.1177/11795476241277663","RegionNum":0,"RegionCategory":null,"ArticlePicture":[],"TitleCN":null,"AbstractTextCN":null,"PMCID":null,"EPubDate":"2024/1/1 0:00:00","PubModel":"eCollection","JCR":"Q3","JCRName":"MEDICINE, GENERAL & INTERNAL","Score":null,"Total":0}
引用次数: 0

Abstract

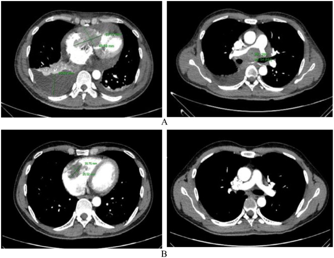
Heart tumors are sporadic. Secondary heart tumors are 30 times more common than primary ones. Depending on the location and origin of the tumor, clinical pictures vary from asymptomatic to severe manifestations such as arrhythmia, heart failure, pericardial effusion, and cardiogenic shock. We report hereby a rare case who presented with faint clinical symptoms, rapidly progressing to right heart failure within a month. Echocardiography and computed tomography of the chest revealed a tumor in the right heart chamber of 72.0 × 43.0 mm, in addition to large mediastinal lymph and left supraclavicular lymph nodes, cardiogenic shock appeared 4 days after admission. Through examination, it was suspected that this was a cardiac lymphoma. The patient was treated with 2 mg methylprednisolone per kg body weight. Symptoms of cardiogenic shock improved significantly and disappeared after 6 hours of treatment. After supraclavicular lymph node biopsy and immunohistochemistry, the final result was diagnosed as diffuse large B-cell non-Hodgkin lymphoma with large lymphoma in the right heart. The patient received chemotherapy with the R-CHOP regimen (Rituximab, Cyclophosphamide, Doxorubicin, Vincristine, and Prednisolone). Re-examination before the 5th chemotherapy cycle showed no signs of right heart failure, normal self-activity, and no dyspnea on exertion, and the tumor size in the heart on the echocardiogram was 23.8 × 19.1 mm. The report shows that a large right heart tumor with a clinical picture of cardiogenic shock in a patient with diffuse large B-cell non-Hodgkin's lymphoma was well-responded to initial treatment with methylprednisolone at a dose of 2 mg/kg body weight and R-CHOP chemotherapy.

Abstract Image

Abstract Image

Abstract Image

右心室弥漫性大 B 细胞非霍奇金淋巴瘤患者引发心源性休克,但对皮质类固醇和化疗反应良好。
心脏肿瘤是散发性的。继发性心脏肿瘤的发病率是原发性心脏肿瘤的 30 倍。根据肿瘤的位置和来源,临床表现从无症状到心律失常、心力衰竭、心包积液和心源性休克等严重表现不一而足。我们在此报告了一例罕见病例,患者临床症状微弱,在一个月内迅速发展为右心衰竭。胸部超声心动图和计算机断层扫描显示右心室有一个 72.0 × 43.0 毫米的肿瘤,此外还有巨大的纵隔淋巴和左锁骨上淋巴结,入院 4 天后出现心源性休克。通过检查,怀疑这是一种心脏淋巴瘤。患者接受了每公斤体重 2 毫克甲基强的松龙的治疗。治疗 6 小时后,心源性休克症状明显改善并消失。锁骨上淋巴结活检和免疫组化后,最终诊断为弥漫大 B 细胞非霍奇金淋巴瘤,右心有大淋巴瘤。患者接受了 R-CHOP 方案(利妥昔单抗、环磷酰胺、多柔比星、长春新碱和泼尼松龙)化疗。第 5 个化疗周期前的复查显示,患者无右心衰竭迹象,自我活动正常,无用力呼吸困难,超声心动图显示心脏内肿瘤大小为 23.8 × 19.1 毫米。该报告显示,弥漫大 B 细胞非霍奇金淋巴瘤患者右心巨大肿瘤伴心源性休克的临床表现,在接受 2 毫克/公斤体重剂量的甲基强的松龙初始治疗和 R-CHOP 化疗后反应良好。
本文章由计算机程序翻译,如有差异,请以英文原文为准。
求助全文
约1分钟内获得全文 求助全文
来源期刊
Clinical Medicine Insights. Case Reports
Clinical Medicine Insights. Case Reports MEDICINE, GENERAL & INTERNAL-
CiteScore
1.10
自引率
0.00%
发文量
57
审稿时长
8 weeks
×
引用
GB/T 7714-2015
复制
MLA
复制
APA
复制
导出至
BibTeX EndNote RefMan NoteFirst NoteExpress
×
提示
您的信息不完整,为了账户安全,请先补充。
现在去补充
×
提示
您因"违规操作"
具体请查看互助需知
我知道了
×
提示
确定
请完成安全验证×
copy
已复制链接
快去分享给好友吧!
我知道了
右上角分享
点击右上角分享
0
联系我们:info@booksci.cn Book学术提供免费学术资源搜索服务,方便国内外学者检索中英文文献。致力于提供最便捷和优质的服务体验。 Copyright © 2023 布克学术 All rights reserved.
京ICP备2023020795号-1
ghs 京公网安备 11010802042870号
Book学术文献互助
Book学术文献互助群
群 号:604180095
Book学术官方微信