Manilkara zapota (L.) P. Royen Leaf Mitigates Colitis-Associated Colon Cancer through Anti-inflammatory Modulation in BALB/C Mice.

IF 3 Q3 PHARMACOLOGY & PHARMACY
Advances in Pharmacological and Pharmaceutical Sciences Pub Date : 2024-09-10 eCollection Date: 2024-01-01 DOI:10.1155/2024/1137696
Norain Mohd Tamsir, Norhaizan Mohd Esa, Nurul Husna Shafie, Hazilawati Hamzah
{"title":"<i>Manilkara zapota</i> (L.) P. Royen Leaf Mitigates Colitis-Associated Colon Cancer through Anti-inflammatory Modulation in BALB/C Mice.","authors":"Norain Mohd Tamsir, Norhaizan Mohd Esa, Nurul Husna Shafie, Hazilawati Hamzah","doi":"10.1155/2024/1137696","DOIUrl":null,"url":null,"abstract":"<p><p>Colitis-associated colon cancer (CAC) arises from prolonged inflammation of the inner colon lining. An alternative approach to treating or preventing CAC involves the use of natural products such as <i>Manilkara zapota</i> (L.) P. Royen or <i>M. zapota,</i> which has been studied for its medicinal and pharmacological properties. Previous research has demonstrated the anticancer effects of <i>M. zapota</i> leaf aqueous extract (MZLAE) on colon cancer cells. However, no animal study has investigated the effects of MZLAE on CAC. Therefore, this study aimed to assess the potential anti-inflammatory effects of MZLAE on CAC in mice. In the present study, CAC was induced using azoxymethane (AOM) and dextran sodium sulphate (DSS). The mice were randomly assigned into five groups: (a) normal, (b) AOM/DSS, (c) AOM/DSS + 50 mg/kg MZLAE, (d) AOM/DSS + 100 mg/kg MZLAE, and (e) AOM/DSS + 200 mg/kg MZLAE. Various parameters including disease activity index (DAI), colon length and weight, reactive oxygen species (ROS), superoxide, superoxide dismutase (SOD), histopathological assessment, and proinflammatory cytokines expression were analysed. The results indicated that MZLAE improved DAI scores, colon length, colon histological dysplasia and inflammation scores, and SOD level, while also reducing ROS production and expression of proinflammatory cytokines (tumour necrosis factor-alpha (TNF- <i>α</i>) and interleukin 6 (IL-6)). In conclusion, this study suggests that MZLAE may serve as a promising source of antioxidants and anti-inflammatory agents for alleviating CAC.</p>","PeriodicalId":7369,"journal":{"name":"Advances in Pharmacological and Pharmaceutical Sciences","volume":"2024 ","pages":"1137696"},"PeriodicalIF":3.0000,"publicationDate":"2024-09-10","publicationTypes":"Journal Article","fieldsOfStudy":null,"isOpenAccess":false,"openAccessPdf":"https://www.ncbi.nlm.nih.gov/pmc/articles/PMC11407886/pdf/","citationCount":"0","resultStr":null,"platform":"Semanticscholar","paperid":null,"PeriodicalName":"Advances in Pharmacological and Pharmaceutical Sciences","FirstCategoryId":"1085","ListUrlMain":"https://doi.org/10.1155/2024/1137696","RegionNum":0,"RegionCategory":null,"ArticlePicture":[],"TitleCN":null,"AbstractTextCN":null,"PMCID":null,"EPubDate":"2024/1/1 0:00:00","PubModel":"eCollection","JCR":"Q3","JCRName":"PHARMACOLOGY & PHARMACY","Score":null,"Total":0}
引用次数: 0

Abstract

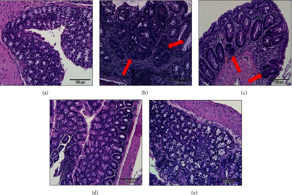
Colitis-associated colon cancer (CAC) arises from prolonged inflammation of the inner colon lining. An alternative approach to treating or preventing CAC involves the use of natural products such as Manilkara zapota (L.) P. Royen or M. zapota, which has been studied for its medicinal and pharmacological properties. Previous research has demonstrated the anticancer effects of M. zapota leaf aqueous extract (MZLAE) on colon cancer cells. However, no animal study has investigated the effects of MZLAE on CAC. Therefore, this study aimed to assess the potential anti-inflammatory effects of MZLAE on CAC in mice. In the present study, CAC was induced using azoxymethane (AOM) and dextran sodium sulphate (DSS). The mice were randomly assigned into five groups: (a) normal, (b) AOM/DSS, (c) AOM/DSS + 50 mg/kg MZLAE, (d) AOM/DSS + 100 mg/kg MZLAE, and (e) AOM/DSS + 200 mg/kg MZLAE. Various parameters including disease activity index (DAI), colon length and weight, reactive oxygen species (ROS), superoxide, superoxide dismutase (SOD), histopathological assessment, and proinflammatory cytokines expression were analysed. The results indicated that MZLAE improved DAI scores, colon length, colon histological dysplasia and inflammation scores, and SOD level, while also reducing ROS production and expression of proinflammatory cytokines (tumour necrosis factor-alpha (TNF- α) and interleukin 6 (IL-6)). In conclusion, this study suggests that MZLAE may serve as a promising source of antioxidants and anti-inflammatory agents for alleviating CAC.

Abstract Image

Abstract Image

Abstract Image

Manilkara zapota (L.) P. Royen Leaf 通过对 BALB/C 小鼠的抗炎调节减轻结肠炎相关性结肠癌
结肠炎相关结肠癌(CAC)源于结肠内壁的长期炎症。治疗或预防 CAC 的另一种方法是使用 Manilkara zapota (L.) P. Royen 或 M. zapota 等天然产品。以前的研究表明,M. zapota 叶水提取物(MZLAE)对结肠癌细胞有抗癌作用。然而,还没有动物实验研究过 MZLAE 对 CAC 的影响。因此,本研究旨在评估 MZLAE 对小鼠 CAC 的潜在抗炎作用。在本研究中,使用偶氮甲烷(AOM)和右旋糖酐硫酸钠(DSS)诱导 CAC。小鼠被随机分为五组:(a) 正常组;(b) AOM/DSS组;(c) AOM/DSS + 50 mg/kg MZLAE组;(d) AOM/DSS + 100 mg/kg MZLAE组;(e) AOM/DSS + 200 mg/kg MZLAE组。分析了各种参数,包括疾病活动指数(DAI)、结肠长度和重量、活性氧(ROS)、超氧化物、超氧化物歧化酶(SOD)、组织病理学评估以及促炎细胞因子的表达。结果表明,MZLAE 改善了 DAI 评分、结肠长度、结肠组织学发育不良和炎症评分以及 SOD 水平,同时还减少了 ROS 的产生和促炎细胞因子(肿瘤坏死因子-α (TNF- α) 和白细胞介素 6 (IL-6))的表达。总之,这项研究表明,MZLAE 可作为一种抗氧化剂和抗炎剂的来源,用于缓解 CAC。
本文章由计算机程序翻译,如有差异,请以英文原文为准。
求助全文
约1分钟内获得全文 求助全文
来源期刊
CiteScore
4.30
自引率
3.60%
发文量
0
审稿时长
17 weeks
×
引用
GB/T 7714-2015
复制
MLA
复制
APA
复制
导出至
BibTeX EndNote RefMan NoteFirst NoteExpress
×
提示
您的信息不完整,为了账户安全,请先补充。
现在去补充
×
提示
您因"违规操作"
具体请查看互助需知
我知道了
×
提示
确定
请完成安全验证×
copy
已复制链接
快去分享给好友吧!
我知道了
右上角分享
点击右上角分享
0
联系我们:info@booksci.cn Book学术提供免费学术资源搜索服务,方便国内外学者检索中英文文献。致力于提供最便捷和优质的服务体验。 Copyright © 2023 布克学术 All rights reserved.
京ICP备2023020795号-1
ghs 京公网安备 11010802042870号
Book学术文献互助
Book学术文献互助群
群 号:604180095
Book学术官方微信