Retrievable dual-chamber leadless pacemaker implant (Aveir DR) in an adult patient with congenital heart disease

Q3 Medicine
Howard How-Peng Liu, Daniel Cortez
{"title":"Retrievable dual-chamber leadless pacemaker implant (Aveir DR) in an adult patient with congenital heart disease","authors":"Howard How-Peng Liu,&nbsp;Daniel Cortez","doi":"10.1016/j.ipej.2024.09.001","DOIUrl":null,"url":null,"abstract":"<div><div>Leadless pacemakers have demonstrated potential as a transvenous pacing option in Adult Congenital Heart Disease patients. Aveir™ single-chamber (VR) leadless pacemakers have demonstrated safety in patients without congenital heart disease in a dual chamber approach. We present a case of dual-chamber pacing using the Aveir dual-chamber (DR) leadless pacemaker in a patient with repaired dextro-transposition of the great arteries with ventricular septal defect (VSD) surgical closure.</div><div>A 26-year-old male patient with a history of transposition of the great arteries status post arterial switch and VSD repair neonatally had complicated second degree atrioventricular block and sinus node dysfunction necessitating pacemaker placement. Epicardial single-chamber ventricular pacemaker was placed neonatally, which was switched to dual-chamber pacemaker at age 17 due to malfunction. Recent fracture of pacemaker leads led to implantation of new dual chamber leadless pacemaker.</div><div>Removal of previous pacemaker leads via mechanical extraction occurred and implantation of Aveir DR leadless pacemaker was performed under anesthesia via right femoral vein access without complication. Follow-up demonstrated Aveir VR threshold of [email protected] ms, R-wave of 8.9mV, impedance of 490Ω, and the Aveir AR threshold of [email protected] ms, P-wave of 3.7mV, and impedance of 400Ω.</div><div>This case demonstrates safety and efficacy of dual chamber leadless pacemaker implantation in an ACHD patient.</div></div>","PeriodicalId":35900,"journal":{"name":"Indian Pacing and Electrophysiology Journal","volume":"24 6","pages":"Pages 347-350"},"PeriodicalIF":0.0000,"publicationDate":"2024-11-01","publicationTypes":"Journal Article","fieldsOfStudy":null,"isOpenAccess":false,"openAccessPdf":"https://www.ncbi.nlm.nih.gov/pmc/articles/PMC11662404/pdf/","citationCount":"0","resultStr":null,"platform":"Semanticscholar","paperid":null,"PeriodicalName":"Indian Pacing and Electrophysiology Journal","FirstCategoryId":"1085","ListUrlMain":"https://www.sciencedirect.com/science/article/pii/S0972629224001165","RegionNum":0,"RegionCategory":null,"ArticlePicture":[],"TitleCN":null,"AbstractTextCN":null,"PMCID":null,"EPubDate":"","PubModel":"","JCR":"Q3","JCRName":"Medicine","Score":null,"Total":0}
引用次数: 0

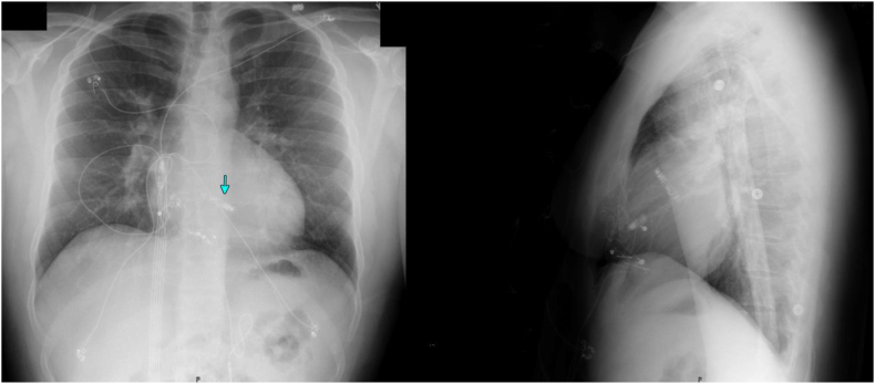
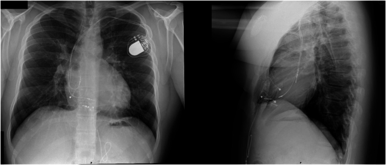
Abstract

Leadless pacemakers have demonstrated potential as a transvenous pacing option in Adult Congenital Heart Disease patients. Aveir™ single-chamber (VR) leadless pacemakers have demonstrated safety in patients without congenital heart disease in a dual chamber approach. We present a case of dual-chamber pacing using the Aveir dual-chamber (DR) leadless pacemaker in a patient with repaired dextro-transposition of the great arteries with ventricular septal defect (VSD) surgical closure.
A 26-year-old male patient with a history of transposition of the great arteries status post arterial switch and VSD repair neonatally had complicated second degree atrioventricular block and sinus node dysfunction necessitating pacemaker placement. Epicardial single-chamber ventricular pacemaker was placed neonatally, which was switched to dual-chamber pacemaker at age 17 due to malfunction. Recent fracture of pacemaker leads led to implantation of new dual chamber leadless pacemaker.
Removal of previous pacemaker leads via mechanical extraction occurred and implantation of Aveir DR leadless pacemaker was performed under anesthesia via right femoral vein access without complication. Follow-up demonstrated Aveir VR threshold of [email protected] ms, R-wave of 8.9mV, impedance of 490Ω, and the Aveir AR threshold of [email protected] ms, P-wave of 3.7mV, and impedance of 400Ω.
This case demonstrates safety and efficacy of dual chamber leadless pacemaker implantation in an ACHD patient.

Abstract Image

Abstract Image

Abstract Image

为一名患有先天性心脏病的成年患者植入双腔无导线起搏器 (Aveir DR)。
无导联起搏器已被证明可作为成人先天性心脏病患者的经静脉起搏选择。Aveir™ 单腔(VR)无引线起搏器已在无先天性心脏病患者中证明了双腔方法的安全性。我们介绍了一例使用 Aveir 双腔(DR)无引线起搏器进行双腔起搏的病例,患者患有修复性右大动脉横断并伴有室间隔缺损(VSD)手术闭合。一名 26 岁的男性患者曾患有大动脉转位,在新生儿期进行动脉转换和室间隔缺损修复术后,出现复杂的二度房室传导阻滞和窦房结功能障碍,因此必须安置起搏器。新生儿期安置了心外膜单腔心室起搏器,17 岁时因故障改用双腔起搏器。最近起搏器导线断裂,因此植入了新的双腔无导联起搏器。在麻醉状态下,通过右股静脉入路取出了之前的起搏器导线,并植入了 Aveir DR 无引线起搏器,未发生并发症。随访显示 Aveir VR 阈值为 1.0V@0.2ms,R 波为 8.9mV,阻抗为 490Ω;Aveir AR 阈值为 0.75V@0.2ms,P 波为 3.7mV,阻抗为 400Ω。本病例证明了在 ACHD 患者中植入双腔无导联起搏器的安全性和有效性。
本文章由计算机程序翻译,如有差异,请以英文原文为准。
求助全文
约1分钟内获得全文 求助全文
来源期刊
Indian Pacing and Electrophysiology Journal
Indian Pacing and Electrophysiology Journal Medicine-Cardiology and Cardiovascular Medicine
CiteScore
2.20
自引率
0.00%
发文量
91
审稿时长
61 days
期刊介绍: Indian Pacing and Electrophysiology Journal is a peer reviewed online journal devoted to cardiac pacing and electrophysiology. Editorial Advisory Board includes eminent personalities in the field of cardiac pacing and electrophysiology from Asia, Australia, Europe and North America.
×
引用
GB/T 7714-2015
复制
MLA
复制
APA
复制
导出至
BibTeX EndNote RefMan NoteFirst NoteExpress
×
提示
您的信息不完整,为了账户安全,请先补充。
现在去补充
×
提示
您因"违规操作"
具体请查看互助需知
我知道了
×
提示
确定
请完成安全验证×
copy
已复制链接
快去分享给好友吧!
我知道了
右上角分享
点击右上角分享
0
联系我们:info@booksci.cn Book学术提供免费学术资源搜索服务,方便国内外学者检索中英文文献。致力于提供最便捷和优质的服务体验。 Copyright © 2023 布克学术 All rights reserved.
京ICP备2023020795号-1
ghs 京公网安备 11010802042870号
Book学术文献互助
Book学术文献互助群
群 号:604180095
Book学术官方微信