Phenotypic Heterogeneity in ORAI-1-Associated Congenital Myopathy.

IF 1.5 Q4 GENETICS & HEREDITY
Global Medical Genetics Pub Date : 2024-09-05 eCollection Date: 2024-12-01 DOI:10.1055/s-0044-1790245
Dipti Baskar, Seena Vengalil, Kiran Polavarapu, Veeramani Preethish-Kumar, Gautham Arunachal, Ramya Sukrutha, Mainak Bardhan, Akshata Huddar, Gopikrishnan Unnikrishnan, Girish Baburao Kulkarni, Yasha T Chickabasaviah, Rashmi Santhosh Kumar, Atchayaram Nalini, Saraswati Nashi
{"title":"Phenotypic Heterogeneity in ORAI-1-Associated Congenital Myopathy.","authors":"Dipti Baskar, Seena Vengalil, Kiran Polavarapu, Veeramani Preethish-Kumar, Gautham Arunachal, Ramya Sukrutha, Mainak Bardhan, Akshata Huddar, Gopikrishnan Unnikrishnan, Girish Baburao Kulkarni, Yasha T Chickabasaviah, Rashmi Santhosh Kumar, Atchayaram Nalini, Saraswati Nashi","doi":"10.1055/s-0044-1790245","DOIUrl":null,"url":null,"abstract":"<p><p><b>Introduction</b>  ORAI-1 is a plasma membrane calcium release-activated calcium channel that plays a crucial role in the excitation-contraction of skeletal muscles. Loss-of-function mutations of <i>ORAI-1</i> cause severe combined immunodeficiency, nonprogressive muscle hypotonia, and anhidrotic ectodermal dysplasia. Autosomal dominant gain-of-function mutation causes Stormorken's syndrome, which includes tubular aggregate myopathy along with bleeding diathesis. <b>Methods</b>  This is a description of a genetically confirmed case of ORAI-1-associated myopathy with clinical, histopathological, and imaging characteristics and a detailed literature review. <b>Results</b>  We report an 18-year-old woman who presented with 2-and-a-half year history of slowly progressive proximal lower limb weakness and ophthalmoparesis. Her serum creatine kinase levels were normal. Magnetic resonance imaging of the muscle showed predominant fatty infiltration of the glutei and quadriceps femoris. Histopathological analysis of muscle biopsy was suggestive of congenital fiber-type disproportion (CFTD). Clinical exome sequencing showed novel homozygous nonsense pathogenic variant NC_000012.12 (NM_032790.3): c.205G > T (p.Glu69Ter) in <i>ORAI-1</i> gene. <b>Conclusion</b>  This report expands the phenotypic spectrum of ORAI-1-related myopathy to include congenital myopathy-CFTD with ophthalmoparesis, a novel manifestation.</p>","PeriodicalId":40142,"journal":{"name":"Global Medical Genetics","volume":"11 4","pages":"297-303"},"PeriodicalIF":1.5000,"publicationDate":"2024-09-05","publicationTypes":"Journal Article","fieldsOfStudy":null,"isOpenAccess":false,"openAccessPdf":"https://www.ncbi.nlm.nih.gov/pmc/articles/PMC11377103/pdf/","citationCount":"0","resultStr":null,"platform":"Semanticscholar","paperid":null,"PeriodicalName":"Global Medical Genetics","FirstCategoryId":"1085","ListUrlMain":"https://doi.org/10.1055/s-0044-1790245","RegionNum":0,"RegionCategory":null,"ArticlePicture":[],"TitleCN":null,"AbstractTextCN":null,"PMCID":null,"EPubDate":"2024/12/1 0:00:00","PubModel":"eCollection","JCR":"Q4","JCRName":"GENETICS & HEREDITY","Score":null,"Total":0}
引用次数: 0

Abstract

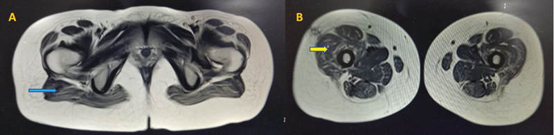
Introduction  ORAI-1 is a plasma membrane calcium release-activated calcium channel that plays a crucial role in the excitation-contraction of skeletal muscles. Loss-of-function mutations of ORAI-1 cause severe combined immunodeficiency, nonprogressive muscle hypotonia, and anhidrotic ectodermal dysplasia. Autosomal dominant gain-of-function mutation causes Stormorken's syndrome, which includes tubular aggregate myopathy along with bleeding diathesis. Methods  This is a description of a genetically confirmed case of ORAI-1-associated myopathy with clinical, histopathological, and imaging characteristics and a detailed literature review. Results  We report an 18-year-old woman who presented with 2-and-a-half year history of slowly progressive proximal lower limb weakness and ophthalmoparesis. Her serum creatine kinase levels were normal. Magnetic resonance imaging of the muscle showed predominant fatty infiltration of the glutei and quadriceps femoris. Histopathological analysis of muscle biopsy was suggestive of congenital fiber-type disproportion (CFTD). Clinical exome sequencing showed novel homozygous nonsense pathogenic variant NC_000012.12 (NM_032790.3): c.205G > T (p.Glu69Ter) in ORAI-1 gene. Conclusion  This report expands the phenotypic spectrum of ORAI-1-related myopathy to include congenital myopathy-CFTD with ophthalmoparesis, a novel manifestation.

Abstract Image

Abstract Image

Abstract Image

ORAI-1 相关先天性肌病的表型异质性
导言 ORAI-1 是一种质膜钙释放激活的钙通道,在骨骼肌的兴奋-收缩过程中起着至关重要的作用。ORAI-1的功能缺失突变可导致严重的联合免疫缺陷、非进行性肌张力低下和潮湿性外胚层发育不良。常染色体显性功能增益突变导致斯托莫肯综合征,其中包括小管聚集性肌病和出血综合征。方法 本文描述了一例经遗传学证实的 ORAI-1 相关肌病,包括临床、组织病理学和影像学特征,以及详细的文献综述。结果 我们报告了一名 18 岁女性患者的病史,她出现缓慢进行性下肢近端无力和眼肌麻痹已有两年半时间。她的血清肌酸激酶水平正常。肌肉磁共振成像显示,臀肌和股四头肌主要有脂肪浸润。肌肉活检的组织病理学分析提示为先天性纤维型比例失调(CFTD)。临床外显子组测序显示,ORAI-1基因存在新型同卵无义致病变体NC_000012.12 (NM_032790.3):c.205G > T (p.Glu69Ter)。结论 本报告扩展了ORAI-1相关肌病的表型谱,包括先天性肌病-CFTD伴眼瘫这一新型表现。
本文章由计算机程序翻译,如有差异,请以英文原文为准。
求助全文
约1分钟内获得全文 求助全文
来源期刊
Global Medical Genetics
Global Medical Genetics GENETICS & HEREDITY-
自引率
11.80%
发文量
30
审稿时长
14 weeks
×
引用
GB/T 7714-2015
复制
MLA
复制
APA
复制
导出至
BibTeX EndNote RefMan NoteFirst NoteExpress
×
提示
您的信息不完整,为了账户安全,请先补充。
现在去补充
×
提示
您因"违规操作"
具体请查看互助需知
我知道了
×
提示
确定
请完成安全验证×
copy
已复制链接
快去分享给好友吧!
我知道了
右上角分享
点击右上角分享
0
联系我们:info@booksci.cn Book学术提供免费学术资源搜索服务,方便国内外学者检索中英文文献。致力于提供最便捷和优质的服务体验。 Copyright © 2023 布克学术 All rights reserved.
京ICP备2023020795号-1
ghs 京公网安备 11010802042870号
Book学术文献互助
Book学术文献互助群
群 号:604180095
Book学术官方微信