Nonocclusive mesenteric ischemia in a toddler during hypothermia after cardiac arrest: a case report.

IF 2.3 Q2 EMERGENCY MEDICINE
Clinical and Experimental Emergency Medicine Pub Date : 2025-06-01 Epub Date: 2024-09-06 DOI:10.15441/ceem.24.213
Koji Kanno, Kentaro Watanabe, Yu Kanokogi, Marina Tsujimura, Akira Yoshida, Tomoya Hanada, Yuji Yamagami, Yusuke Ito
{"title":"Nonocclusive mesenteric ischemia in a toddler during hypothermia after cardiac arrest: a case report.","authors":"Koji Kanno, Kentaro Watanabe, Yu Kanokogi, Marina Tsujimura, Akira Yoshida, Tomoya Hanada, Yuji Yamagami, Yusuke Ito","doi":"10.15441/ceem.24.213","DOIUrl":null,"url":null,"abstract":"<p><p>While nonocclusive mesenteric ischemia (NOMI) has been reported in a significant percentage of adults who were resuscitated after cardiac arrest, it is rare in children. This report presents the first known Japanese case of pediatric NOMI after return of spontaneous circulation following cardiac arrest. A 16-month-old boy experienced cardiac arrest due to asphyxiation from foreign bodies in the airway. After receiving 10 doses of adrenaline, with a maximum arrest time of 95 minutes, the patient achieved return of spontaneous circulation. However, 40 hours after onset, the patient developed NOMI, resulting in refractory hypotensive shock with decreased blood pressure, distended abdomen, and increased intravesical pressure. The patient was successfully rescued with two laparotomies and was discharged. Although NOMI is uncommon in children, appropriate treatment can be lifesaving.</p>","PeriodicalId":10325,"journal":{"name":"Clinical and Experimental Emergency Medicine","volume":" ","pages":"169-172"},"PeriodicalIF":2.3000,"publicationDate":"2025-06-01","publicationTypes":"Journal Article","fieldsOfStudy":null,"isOpenAccess":false,"openAccessPdf":"https://www.ncbi.nlm.nih.gov/pmc/articles/PMC12245649/pdf/","citationCount":"0","resultStr":null,"platform":"Semanticscholar","paperid":null,"PeriodicalName":"Clinical and Experimental Emergency Medicine","FirstCategoryId":"1085","ListUrlMain":"https://doi.org/10.15441/ceem.24.213","RegionNum":0,"RegionCategory":null,"ArticlePicture":[],"TitleCN":null,"AbstractTextCN":null,"PMCID":null,"EPubDate":"2024/9/6 0:00:00","PubModel":"Epub","JCR":"Q2","JCRName":"EMERGENCY MEDICINE","Score":null,"Total":0}
引用次数: 0

Abstract

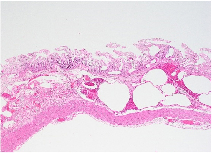
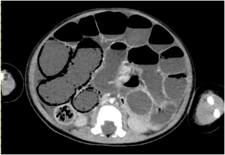
While nonocclusive mesenteric ischemia (NOMI) has been reported in a significant percentage of adults who were resuscitated after cardiac arrest, it is rare in children. This report presents the first known Japanese case of pediatric NOMI after return of spontaneous circulation following cardiac arrest. A 16-month-old boy experienced cardiac arrest due to asphyxiation from foreign bodies in the airway. After receiving 10 doses of adrenaline, with a maximum arrest time of 95 minutes, the patient achieved return of spontaneous circulation. However, 40 hours after onset, the patient developed NOMI, resulting in refractory hypotensive shock with decreased blood pressure, distended abdomen, and increased intravesical pressure. The patient was successfully rescued with two laparotomies and was discharged. Although NOMI is uncommon in children, appropriate treatment can be lifesaving.

Abstract Image

Abstract Image

Abstract Image

心脏骤停后低体温时幼儿肠系膜非闭塞性缺血:病例报告。
据报道,非闭塞性肠系膜缺血(NOMI)在心脏骤停后复苏的成人中占很大比例,但在儿童中却很罕见。本报告介绍了日本首例已知的小儿在心脏骤停后恢复自主循环后出现非闭塞性肠系膜缺血的病例。一名16个月大的男孩因呼吸道异物窒息导致心跳骤停。在接受了10次肾上腺素注射(最长停搏时间为95分钟)后,患者恢复了自主循环。然而,在发病 40 小时后,患者出现了 NOMI,导致难治性低血压休克,血压下降,腹部膨胀,膀胱内压升高。经过两次开腹手术成功抢救,患者康复出院。虽然 NOMI 在儿童中并不常见,但适当的治疗可以挽救生命。
本文章由计算机程序翻译,如有差异,请以英文原文为准。
求助全文
约1分钟内获得全文 求助全文
来源期刊
CiteScore
2.80
自引率
10.50%
发文量
59
×
引用
GB/T 7714-2015
复制
MLA
复制
APA
复制
导出至
BibTeX EndNote RefMan NoteFirst NoteExpress
×
提示
您的信息不完整,为了账户安全,请先补充。
现在去补充
×
提示
您因"违规操作"
具体请查看互助需知
我知道了
×
提示
确定
请完成安全验证×
copy
已复制链接
快去分享给好友吧!
我知道了
右上角分享
点击右上角分享
0
联系我们:info@booksci.cn Book学术提供免费学术资源搜索服务,方便国内外学者检索中英文文献。致力于提供最便捷和优质的服务体验。 Copyright © 2023 布克学术 All rights reserved.
京ICP备2023020795号-1
ghs 京公网安备 11010802042870号
Book学术文献互助
Book学术文献互助群
群 号:604180095
Book学术官方微信