An Uncommon Case of Sinonasal Adenoid Cystic Carcinoma Metastatic to the Kidney Treated with Metastasectomy.

IF 1.9 Q3 ONCOLOGY
Journal of Kidney Cancer and VHL Pub Date : 2024-08-30 eCollection Date: 2024-01-01 DOI:10.15586/jkcvhl.v11i3.306
Alyssa M Lombardo, Tyler Sheetz, Ricardo L Carrau, Debra L Zynger, Eric A Singer
{"title":"An Uncommon Case of Sinonasal Adenoid Cystic Carcinoma Metastatic to the Kidney Treated with Metastasectomy.","authors":"Alyssa M Lombardo, Tyler Sheetz, Ricardo L Carrau, Debra L Zynger, Eric A Singer","doi":"10.15586/jkcvhl.v11i3.306","DOIUrl":null,"url":null,"abstract":"<p><p>Adenoid cystic carcinoma (ACC) is a rare tumor, accounting for 1% of all head and neck cancers, with an aggressive nature characterized by local recurrence, delayed metastasis, and survival of less than 50% at 10 years. This is a case of biopsy-proven ACC to the kidney, 1 of 29 known occurrences, managed by metastasectomy by robotic-assisted nephrectomy, with plans for resection of lung metastasis. Thirteen years after diagnosis of sinonasal ACC treated with resection, the patient presented with shortness of breath. This prompted a CT scan of the chest, which led to the incidental finding of left renal mass and pulmonary lesion. Literature suggests improved disease-specific survival in locoregional recurrence treated with surgery versus radiation; in patients with metastasis to the lung, metastasectomy offers greater survival benefit than supportive therapy. But, this is not significantly better than chemotherapy or radiation alone. While the optimal therapeutic approach remains to be identified in distant metastatic ACC, metastasectomy remains a viable option for patients who have potentially completely resectable metastatic tumors, appropriate performance status, and adequate affected-organ function. Preoperative counseling should include discussion on partial nephrectomy with prioritization of nephron-sparing but potential for increased perioperative risk versus radical nephrectomy to ensure negative margins and expedite timeline to systemic therapy.</p>","PeriodicalId":44291,"journal":{"name":"Journal of Kidney Cancer and VHL","volume":"11 3","pages":"45-50"},"PeriodicalIF":1.9000,"publicationDate":"2024-08-30","publicationTypes":"Journal Article","fieldsOfStudy":null,"isOpenAccess":false,"openAccessPdf":"https://www.ncbi.nlm.nih.gov/pmc/articles/PMC11370810/pdf/","citationCount":"0","resultStr":null,"platform":"Semanticscholar","paperid":null,"PeriodicalName":"Journal of Kidney Cancer and VHL","FirstCategoryId":"1085","ListUrlMain":"https://doi.org/10.15586/jkcvhl.v11i3.306","RegionNum":0,"RegionCategory":null,"ArticlePicture":[],"TitleCN":null,"AbstractTextCN":null,"PMCID":null,"EPubDate":"2024/1/1 0:00:00","PubModel":"eCollection","JCR":"Q3","JCRName":"ONCOLOGY","Score":null,"Total":0}
引用次数: 0

Abstract

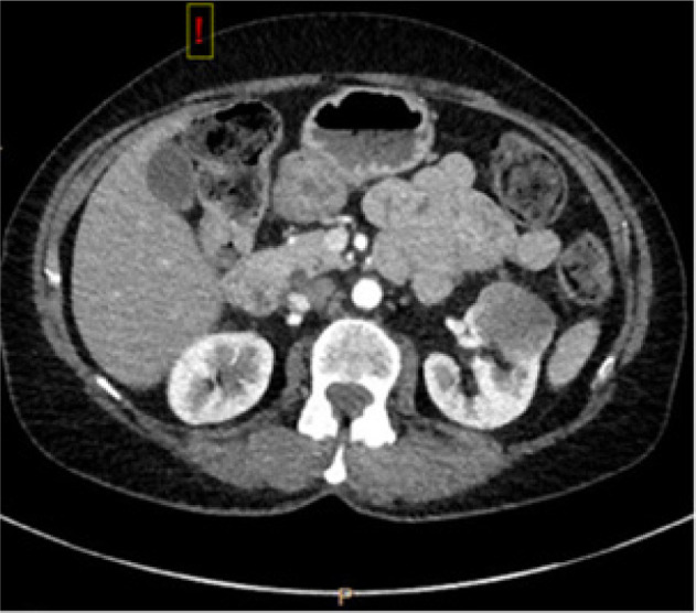
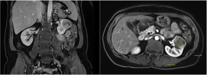
Adenoid cystic carcinoma (ACC) is a rare tumor, accounting for 1% of all head and neck cancers, with an aggressive nature characterized by local recurrence, delayed metastasis, and survival of less than 50% at 10 years. This is a case of biopsy-proven ACC to the kidney, 1 of 29 known occurrences, managed by metastasectomy by robotic-assisted nephrectomy, with plans for resection of lung metastasis. Thirteen years after diagnosis of sinonasal ACC treated with resection, the patient presented with shortness of breath. This prompted a CT scan of the chest, which led to the incidental finding of left renal mass and pulmonary lesion. Literature suggests improved disease-specific survival in locoregional recurrence treated with surgery versus radiation; in patients with metastasis to the lung, metastasectomy offers greater survival benefit than supportive therapy. But, this is not significantly better than chemotherapy or radiation alone. While the optimal therapeutic approach remains to be identified in distant metastatic ACC, metastasectomy remains a viable option for patients who have potentially completely resectable metastatic tumors, appropriate performance status, and adequate affected-organ function. Preoperative counseling should include discussion on partial nephrectomy with prioritization of nephron-sparing but potential for increased perioperative risk versus radical nephrectomy to ensure negative margins and expedite timeline to systemic therapy.

Abstract Image

Abstract Image

Abstract Image

通过转移灶切除术治疗转移至肾脏的鼻窦腺样囊性癌的罕见病例。
腺样囊性癌(ACC)是一种罕见肿瘤,占所有头颈部癌症的1%,具有侵袭性,特点是局部复发、延迟转移,10年生存率低于50%。这是一例经活检证实的肾脏 ACC 病例,是 29 例已知病例中的 1 例,通过机器人辅助肾切除术进行转移切除,并计划切除肺转移灶。在确诊鼻窦 ACC 并进行切除治疗 13 年后,患者出现呼吸急促。这促使他进行了胸部 CT 扫描,结果意外发现了左肾肿块和肺部病变。文献表明,手术治疗与放射治疗相比,可提高局部区域复发患者的疾病特异性生存率;对于转移至肺部的患者,转移灶切除术比支持疗法更能提高生存率。但这并不明显优于单纯化疗或放疗。虽然远处转移性 ACC 的最佳治疗方法仍有待确定,但对于可能完全切除转移性肿瘤、表现状况良好且受累器官功能正常的患者来说,转移瘤切除术仍是一种可行的选择。术前咨询应包括讨论肾部分切除术与根治性肾切除术,前者优先考虑保留肾脏,但可能增加围手术期风险,后者则确保阴性边缘并加快系统治疗的时间。
本文章由计算机程序翻译,如有差异,请以英文原文为准。
求助全文
约1分钟内获得全文 求助全文
来源期刊
自引率
6.20%
发文量
22
审稿时长
4 weeks
×
引用
GB/T 7714-2015
复制
MLA
复制
APA
复制
导出至
BibTeX EndNote RefMan NoteFirst NoteExpress
×
提示
您的信息不完整,为了账户安全,请先补充。
现在去补充
×
提示
您因"违规操作"
具体请查看互助需知
我知道了
×
提示
确定
请完成安全验证×
copy
已复制链接
快去分享给好友吧!
我知道了
右上角分享
点击右上角分享
0
联系我们:info@booksci.cn Book学术提供免费学术资源搜索服务,方便国内外学者检索中英文文献。致力于提供最便捷和优质的服务体验。 Copyright © 2023 布克学术 All rights reserved.
京ICP备2023020795号-1
ghs 京公网安备 11010802042870号
Book学术文献互助
Book学术文献互助群
群 号:604180095
Book学术官方微信