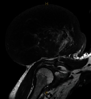
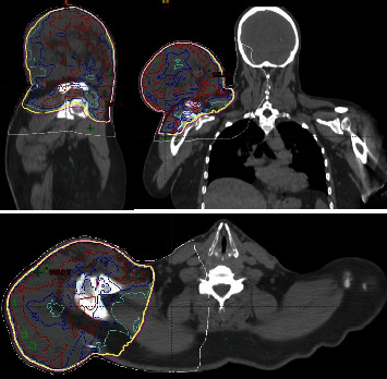
Successful Preoperative Radiotherapy for Neglected Shoulder Liposarcoma: A Retrospective Case Report.

IF 0.6 Q4 ONCOLOGY
Case Reports in Oncological Medicine Pub Date : 2024-08-27 eCollection Date: 2024-01-01 DOI:10.1155/2024/5782352
Camilla Linhart, Craig MacLeod
{"title":"Successful Preoperative Radiotherapy for Neglected Shoulder Liposarcoma: A Retrospective Case Report.","authors":"Camilla Linhart, Craig MacLeod","doi":"10.1155/2024/5782352","DOIUrl":null,"url":null,"abstract":"<p><p>This study examines a unique case of a 61-year-old male with a 5-year history of a progressively growing mass above his right shoulder, diagnosed as a dedifferentiated pleomorphic liposarcoma. Using computerized tomography-guided core needle biopsy, the tumour was identified as intermediate to high grade. Surgical removal required preoperative radiotherapy to reduce the size of the tumour. Several unique characteristics set apart this particular case of liposarcoma: its substantial size, its unpredictable growth pattern, its absence of metastasis, and notably, its prolonged period of being untreated. This case report outlines the clinical background, diagnostic procedures, and treatment modalities employed in managing this condition, emphasizing a localized dual therapy approach combining radiotherapy and surgery. Emphasis is placed on distinguishing liposarcoma from lipoblastoma, a benign adipocyte tumour, to facilitate accurate diagnosis and appropriate treatment selection. The positive result achieved in this case could provide valuable insights for the future treatment and management of similarly sized aggressive tumours.</p>","PeriodicalId":9636,"journal":{"name":"Case Reports in Oncological Medicine","volume":"2024 ","pages":"5782352"},"PeriodicalIF":0.6000,"publicationDate":"2024-08-27","publicationTypes":"Journal Article","fieldsOfStudy":null,"isOpenAccess":false,"openAccessPdf":"https://www.ncbi.nlm.nih.gov/pmc/articles/PMC11371449/pdf/","citationCount":"0","resultStr":null,"platform":"Semanticscholar","paperid":null,"PeriodicalName":"Case Reports in Oncological Medicine","FirstCategoryId":"1085","ListUrlMain":"https://doi.org/10.1155/2024/5782352","RegionNum":0,"RegionCategory":null,"ArticlePicture":[],"TitleCN":null,"AbstractTextCN":null,"PMCID":null,"EPubDate":"2024/1/1 0:00:00","PubModel":"eCollection","JCR":"Q4","JCRName":"ONCOLOGY","Score":null,"Total":0}
引用次数: 0

Abstract

This study examines a unique case of a 61-year-old male with a 5-year history of a progressively growing mass above his right shoulder, diagnosed as a dedifferentiated pleomorphic liposarcoma. Using computerized tomography-guided core needle biopsy, the tumour was identified as intermediate to high grade. Surgical removal required preoperative radiotherapy to reduce the size of the tumour. Several unique characteristics set apart this particular case of liposarcoma: its substantial size, its unpredictable growth pattern, its absence of metastasis, and notably, its prolonged period of being untreated. This case report outlines the clinical background, diagnostic procedures, and treatment modalities employed in managing this condition, emphasizing a localized dual therapy approach combining radiotherapy and surgery. Emphasis is placed on distinguishing liposarcoma from lipoblastoma, a benign adipocyte tumour, to facilitate accurate diagnosis and appropriate treatment selection. The positive result achieved in this case could provide valuable insights for the future treatment and management of similarly sized aggressive tumours.

Abstract Image

Abstract Image

Abstract Image

被忽视的肩部脂肪肉瘤术前放疗成功:回顾性病例报告
本研究探讨了一例独特的病例:一名 61 岁男性的右肩上方肿块逐渐增大,病史长达 5 年,诊断为脱分化多形性脂肪肉瘤。通过计算机断层扫描引导下的核心针活检,该肿瘤被确定为中高级肿瘤。手术切除需要术前放疗来缩小肿瘤。该脂肪肉瘤病例有几个独特之处:体积巨大、生长模式难以预测、没有转移,尤其是长期未接受治疗。本病例报告概述了该病的临床背景、诊断程序和治疗方法,强调了结合放疗和手术的局部双重治疗方法。报告强调了脂肪肉瘤与脂肪母细胞瘤(一种良性脂肪细胞肿瘤)的鉴别,以便于准确诊断和选择适当的治疗方法。本病例取得的积极疗效可为今后治疗和管理类似大小的侵袭性肿瘤提供有价值的启示。
本文章由计算机程序翻译,如有差异,请以英文原文为准。
求助全文
约1分钟内获得全文 求助全文
来源期刊
自引率
0.00%
发文量
11
审稿时长
16 weeks
期刊介绍: Case Reports in Oncological Medicine is a peer-reviewed, Open Access journal that publishes case reports and case series related to breast cancer, lung cancer, gastrointestinal cancer, skin cancer, head and neck cancer, paediatric oncology, neurooncology as well as genitourinary cancer.
×
引用
GB/T 7714-2015
复制
MLA
复制
APA
复制
导出至
BibTeX EndNote RefMan NoteFirst NoteExpress
×
提示
您的信息不完整,为了账户安全,请先补充。
现在去补充
×
提示
您因"违规操作"
具体请查看互助需知
我知道了
×
提示
确定
请完成安全验证×
copy
已复制链接
快去分享给好友吧!
我知道了
右上角分享
点击右上角分享
0
联系我们:info@booksci.cn Book学术提供免费学术资源搜索服务,方便国内外学者检索中英文文献。致力于提供最便捷和优质的服务体验。 Copyright © 2023 布克学术 All rights reserved.
京ICP备2023020795号-1
ghs 京公网安备 11010802042870号
Book学术文献互助
Book学术文献互助群
群 号:604180095
Book学术官方微信