A case of primary osteosarcoma in the occipital bone: A relatively common tumor in an uncommon location.

IF 1 Q4 RADIOLOGY, NUCLEAR MEDICINE & MEDICAL IMAGING
Acta radiologica open Pub Date : 2024-08-30 eCollection Date: 2024-09-01 DOI:10.1177/20584601241279134
Kezhou Xing, Guoli Ren, Shuning Liu, Chuanchen Zhang
{"title":"A case of primary osteosarcoma in the occipital bone: A relatively common tumor in an uncommon location.","authors":"Kezhou Xing, Guoli Ren, Shuning Liu, Chuanchen Zhang","doi":"10.1177/20584601241279134","DOIUrl":null,"url":null,"abstract":"<p><p>Osteosarcomas predominantly manifest in the long bones of the extremities, with rare occurrences in the skull. A case involving of a 53-year-old female who presented to the authors' hospital for examination due to dizziness was incidentally found to have an occipital bone mass, which was initially diagnosed as a benign tumor and did not receive sufficient attention. Two years later, owing to tumor enlargement, the patient underwent further evaluation at the same institution, which revealed evidence of occipital bone destruction. Pathological analysis confirmed the diagnosis of osteosarcoma. The patient underwent surgical resection followed by radiotherapy. Despite its infrequency and uncharacteristic initial presentation, skull osteosarcomas should not be overlooked.</p>","PeriodicalId":72063,"journal":{"name":"Acta radiologica open","volume":"13 9","pages":"20584601241279134"},"PeriodicalIF":1.0000,"publicationDate":"2024-08-30","publicationTypes":"Journal Article","fieldsOfStudy":null,"isOpenAccess":false,"openAccessPdf":"https://www.ncbi.nlm.nih.gov/pmc/articles/PMC11366106/pdf/","citationCount":"0","resultStr":null,"platform":"Semanticscholar","paperid":null,"PeriodicalName":"Acta radiologica open","FirstCategoryId":"1085","ListUrlMain":"https://doi.org/10.1177/20584601241279134","RegionNum":0,"RegionCategory":null,"ArticlePicture":[],"TitleCN":null,"AbstractTextCN":null,"PMCID":null,"EPubDate":"2024/9/1 0:00:00","PubModel":"eCollection","JCR":"Q4","JCRName":"RADIOLOGY, NUCLEAR MEDICINE & MEDICAL IMAGING","Score":null,"Total":0}
引用次数: 0

Abstract

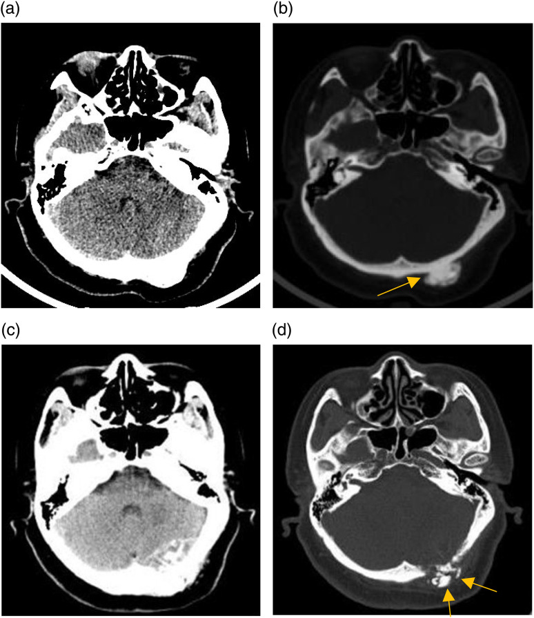
Osteosarcomas predominantly manifest in the long bones of the extremities, with rare occurrences in the skull. A case involving of a 53-year-old female who presented to the authors' hospital for examination due to dizziness was incidentally found to have an occipital bone mass, which was initially diagnosed as a benign tumor and did not receive sufficient attention. Two years later, owing to tumor enlargement, the patient underwent further evaluation at the same institution, which revealed evidence of occipital bone destruction. Pathological analysis confirmed the diagnosis of osteosarcoma. The patient underwent surgical resection followed by radiotherapy. Despite its infrequency and uncharacteristic initial presentation, skull osteosarcomas should not be overlooked.

Abstract Image

Abstract Image

Abstract Image

一例枕骨原发性骨肉瘤:不常见部位的一种相对常见的肿瘤。
骨肉瘤主要发生在四肢的长骨中,在颅骨中很少见。作者所在医院曾接诊过一例 53 岁女性患者,因头晕到医院检查,偶然发现枕骨肿块,最初诊断为良性肿瘤,未引起足够重视。两年后,由于肿瘤增大,患者在同一家医院接受了进一步评估,结果显示枕骨骨质破坏。病理分析证实了骨肉瘤的诊断。患者接受了手术切除和放射治疗。尽管颅骨骨肉瘤并不常见,而且最初表现也不典型,但不应被忽视。
本文章由计算机程序翻译,如有差异,请以英文原文为准。
求助全文
约1分钟内获得全文 求助全文
来源期刊
自引率
0.00%
发文量
0
审稿时长
12 weeks
×
引用
GB/T 7714-2015
复制
MLA
复制
APA
复制
导出至
BibTeX EndNote RefMan NoteFirst NoteExpress
×
提示
您的信息不完整,为了账户安全,请先补充。
现在去补充
×
提示
您因"违规操作"
具体请查看互助需知
我知道了
×
提示
确定
请完成安全验证×
copy
已复制链接
快去分享给好友吧!
我知道了
右上角分享
点击右上角分享
0
联系我们:info@booksci.cn Book学术提供免费学术资源搜索服务,方便国内外学者检索中英文文献。致力于提供最便捷和优质的服务体验。 Copyright © 2023 布克学术 All rights reserved.
京ICP备2023020795号-1
ghs 京公网安备 11010802042870号
Book学术文献互助
Book学术文献互助群
群 号:604180095
Book学术官方微信