More than chest pain: A case of oesophageal foreign body ingestion.

IF 1.4 Q2 MEDICINE, GENERAL & INTERNAL
Mohammed M A Agbabiaka, Idris T Akinwande, Chika K Egenasi, Mathew O Benedict
{"title":"More than chest pain: A case of oesophageal foreign body ingestion.","authors":"Mohammed M A Agbabiaka, Idris T Akinwande, Chika K Egenasi, Mathew O Benedict","doi":"10.4102/safp.v66i1.5942","DOIUrl":null,"url":null,"abstract":"<p><strong>Background: </strong>Physicians often focus on possible cardiac causes in patients presenting with chest pain. However, this case highlights a patient who presented with chest pain caused by ingestion of a foreign body after an uneventful meal eaten an hour prior to presentation. The fishbone was discovered after imaging. The article aims to raise awareness regarding the potential origins of chest pain, highlighting that it may stem from non-cardiac conditions.</p><p><strong>Methods: </strong>The methodology employed in this study involved conducting a case study that meticulously examined the repercussions and management strategies associated with foreign body ingestion.</p><p><strong>Results: </strong>The case report delineates the scenario of a 27-year-old male patient who inadvertently ingested a fishbone during a routine meal. It details the swift decline in clinical status, the meticulous diagnostic procedures employed, the subsequent management strategies implemented and the ultimate discharge of the patient in a stable condition.</p><p><strong>Conclusion: </strong>This case highlights the importance of comprehensive history taking and considering a wide range of causes of chest pain when evaluating a patient. The foreign body ingested with the resulting cardiac complications could have been fatal if not promptly diagnosed.Contribution: This study contributed to advancing awareness surrounding foreign body ingestion, shedding light on potential complications and offering valuable insights into effective management strategies.</p>","PeriodicalId":22040,"journal":{"name":"South African Family Practice","volume":"66 1","pages":"e1-e4"},"PeriodicalIF":1.4000,"publicationDate":"2024-08-14","publicationTypes":"Journal Article","fieldsOfStudy":null,"isOpenAccess":false,"openAccessPdf":"https://www.ncbi.nlm.nih.gov/pmc/articles/PMC11369581/pdf/","citationCount":"0","resultStr":null,"platform":"Semanticscholar","paperid":null,"PeriodicalName":"South African Family Practice","FirstCategoryId":"1085","ListUrlMain":"https://doi.org/10.4102/safp.v66i1.5942","RegionNum":0,"RegionCategory":null,"ArticlePicture":[],"TitleCN":null,"AbstractTextCN":null,"PMCID":null,"EPubDate":"","PubModel":"","JCR":"Q2","JCRName":"MEDICINE, GENERAL & INTERNAL","Score":null,"Total":0}
引用次数: 0

Abstract

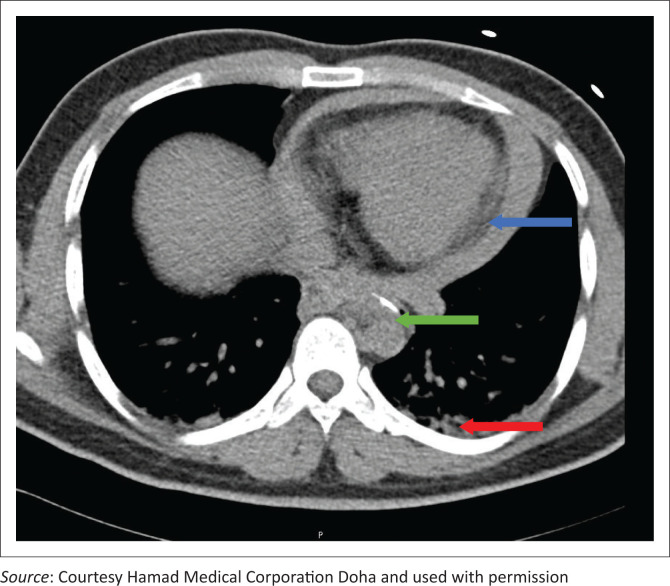
Background: Physicians often focus on possible cardiac causes in patients presenting with chest pain. However, this case highlights a patient who presented with chest pain caused by ingestion of a foreign body after an uneventful meal eaten an hour prior to presentation. The fishbone was discovered after imaging. The article aims to raise awareness regarding the potential origins of chest pain, highlighting that it may stem from non-cardiac conditions.

Methods: The methodology employed in this study involved conducting a case study that meticulously examined the repercussions and management strategies associated with foreign body ingestion.

Results: The case report delineates the scenario of a 27-year-old male patient who inadvertently ingested a fishbone during a routine meal. It details the swift decline in clinical status, the meticulous diagnostic procedures employed, the subsequent management strategies implemented and the ultimate discharge of the patient in a stable condition.

Conclusion: This case highlights the importance of comprehensive history taking and considering a wide range of causes of chest pain when evaluating a patient. The foreign body ingested with the resulting cardiac complications could have been fatal if not promptly diagnosed.Contribution: This study contributed to advancing awareness surrounding foreign body ingestion, shedding light on potential complications and offering valuable insights into effective management strategies.

Abstract Image

Abstract Image

不仅仅是胸痛一例食道异物误食病例
背景: 医生通常会关注胸痛患者可能的心脏原因。然而,本病例的重点是一名患者在就诊前一小时吃了一顿平淡的饭后,因误食异物而导致胸痛。影像学检查后发现了鱼刺。文章旨在提高人们对胸痛潜在来源的认识,强调胸痛可能源于非心脏疾病: 本研究采用的方法是进行病例研究,仔细研究与异物摄入相关的影响和处理策略: 病例报告描述了一名 27 岁男性患者在一次例行进餐时不慎误食鱼刺的情况。报告详细描述了患者临床状况的迅速恶化、采用的细致诊断程序、随后实施的处理策略以及患者最终病情稳定出院的情况: 本病例强调了在评估患者时全面采集病史和考虑各种胸痛原因的重要性。如果没有及时诊断,异物摄入及其导致的心脏并发症可能会致命:本研究有助于提高人们对异物误食的认识,揭示潜在的并发症,并为有效的管理策略提供宝贵的见解。
本文章由计算机程序翻译,如有差异,请以英文原文为准。
求助全文
约1分钟内获得全文 求助全文
来源期刊
South African Family Practice
South African Family Practice MEDICINE, GENERAL & INTERNAL-
CiteScore
1.50
自引率
20.00%
发文量
79
审稿时长
25 weeks
期刊介绍: South African Family Practice (SAFP) is a peer-reviewed scientific journal, which strives to provide primary care physicians and researchers with a broad range of scholarly work in the disciplines of Family Medicine, Primary Health Care, Rural Medicine, District Health and other related fields. SAFP publishes original research, clinical reviews, and pertinent commentary that advance the knowledge base of these disciplines. The content of SAFP is designed to reflect and support further development of the broad basis of these disciplines through original research and critical review of evidence in important clinical areas; as well as to provide practitioners with continuing professional development material.
×
引用
GB/T 7714-2015
复制
MLA
复制
APA
复制
导出至
BibTeX EndNote RefMan NoteFirst NoteExpress
×
提示
您的信息不完整,为了账户安全,请先补充。
现在去补充
×
提示
您因"违规操作"
具体请查看互助需知
我知道了
×
提示
确定
请完成安全验证×
copy
已复制链接
快去分享给好友吧!
我知道了
右上角分享
点击右上角分享
0
联系我们:info@booksci.cn Book学术提供免费学术资源搜索服务,方便国内外学者检索中英文文献。致力于提供最便捷和优质的服务体验。 Copyright © 2023 布克学术 All rights reserved.
京ICP备2023020795号-1
ghs 京公网安备 11010802042870号
Book学术文献互助
Book学术文献互助群
群 号:604180095
Book学术官方微信