Intrathecal IgG4 synthesis in IgG4 related spinal hypertrophic pachymeningitis: a case report.

IF 3.2 Q2 Medicine
Lucia K Feldmann, Regina von Manitius, Birgit Julia Grassmann, Judith Rösler, Julia Onken, Christian Meisel, Arend Koch, Eberhard Siebert, Klemens Ruprecht, Andreas Meisel
{"title":"Intrathecal IgG4 synthesis in IgG4 related spinal hypertrophic pachymeningitis: a case report.","authors":"Lucia K Feldmann, Regina von Manitius, Birgit Julia Grassmann, Judith Rösler, Julia Onken, Christian Meisel, Arend Koch, Eberhard Siebert, Klemens Ruprecht, Andreas Meisel","doi":"10.1186/s42466-024-00343-2","DOIUrl":null,"url":null,"abstract":"<p><p>Immunoglobulin G4 (IgG4) related hypertrophic pachymeningitis of the spinal cord is a rare condition, characterized by infiltration of the spinal meninges with IgG4-producing plasma cells and subsequent hypertrophic fibrosis. Here, we report on a 65-year-old woman with IgG4 associated hypertrophic spinal pachymeningitis, in whom cerebrospinal fluid (CSF) analysis was a decisive diagnostic tool. Not only could we demonstrate an intrathecal IgG4 production, but also IgG4 positive plasma cells in CSF. Following decompressive surgery, diagnosis of IgG4 associated hypertrophic pachymeningitis was confirmed histologically. Surgery and immunosuppressive therapy with rituximab were associated with clinical improvement. This case highlights CSF analyses as diagnostic tool for detection of IgG4 related hypertrophic pachymeningitis.</p>","PeriodicalId":94156,"journal":{"name":"Neurological research and practice","volume":"6 1","pages":"43"},"PeriodicalIF":3.2000,"publicationDate":"2024-08-29","publicationTypes":"Journal Article","fieldsOfStudy":null,"isOpenAccess":false,"openAccessPdf":"https://www.ncbi.nlm.nih.gov/pmc/articles/PMC11360877/pdf/","citationCount":"0","resultStr":null,"platform":"Semanticscholar","paperid":null,"PeriodicalName":"Neurological research and practice","FirstCategoryId":"1085","ListUrlMain":"https://doi.org/10.1186/s42466-024-00343-2","RegionNum":0,"RegionCategory":null,"ArticlePicture":[],"TitleCN":null,"AbstractTextCN":null,"PMCID":null,"EPubDate":"","PubModel":"","JCR":"Q2","JCRName":"Medicine","Score":null,"Total":0}
引用次数: 0

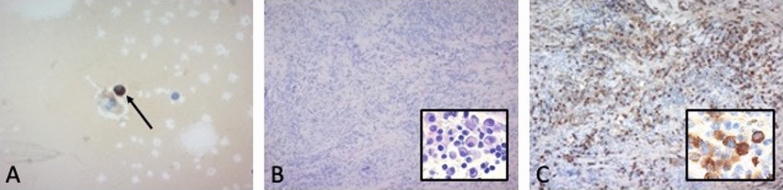
Abstract

Immunoglobulin G4 (IgG4) related hypertrophic pachymeningitis of the spinal cord is a rare condition, characterized by infiltration of the spinal meninges with IgG4-producing plasma cells and subsequent hypertrophic fibrosis. Here, we report on a 65-year-old woman with IgG4 associated hypertrophic spinal pachymeningitis, in whom cerebrospinal fluid (CSF) analysis was a decisive diagnostic tool. Not only could we demonstrate an intrathecal IgG4 production, but also IgG4 positive plasma cells in CSF. Following decompressive surgery, diagnosis of IgG4 associated hypertrophic pachymeningitis was confirmed histologically. Surgery and immunosuppressive therapy with rituximab were associated with clinical improvement. This case highlights CSF analyses as diagnostic tool for detection of IgG4 related hypertrophic pachymeningitis.

Abstract Image

Abstract Image

与 IgG4 相关的脊髓肥厚性小脑膜炎的鞘内 IgG4 合成:一份病例报告。
与免疫球蛋白 G4(IgG4)相关的脊髓肥厚性脊髓膜炎是一种罕见病,其特点是脊髓膜被产生 IgG4 的浆细胞浸润,随后出现肥厚性纤维化。在此,我们报告了一名患有 IgG4 相关性肥厚性脊髓髓膜炎的 65 岁女性,脑脊液(CSF)分析是诊断该病的决定性工具。我们不仅发现了鞘内 IgG4 的产生,还发现了 CSF 中 IgG4 阳性的浆细胞。减压手术后,经组织学检查确诊为 IgG4 相关性肥厚性桥脑膜炎。手术和使用利妥昔单抗进行免疫抑制治疗后,临床症状有所改善。该病例强调了 CSF 分析是检测 IgG4 相关性肥厚性桥脑的诊断工具。
本文章由计算机程序翻译,如有差异,请以英文原文为准。
求助全文
约1分钟内获得全文 求助全文
来源期刊
CiteScore
7.40
自引率
0.00%
发文量
0
审稿时长
14 weeks
×
引用
GB/T 7714-2015
复制
MLA
复制
APA
复制
导出至
BibTeX EndNote RefMan NoteFirst NoteExpress
×
提示
您的信息不完整,为了账户安全,请先补充。
现在去补充
×
提示
您因"违规操作"
具体请查看互助需知
我知道了
×
提示
确定
请完成安全验证×
copy
已复制链接
快去分享给好友吧!
我知道了
右上角分享
点击右上角分享
0
联系我们:info@booksci.cn Book学术提供免费学术资源搜索服务,方便国内外学者检索中英文文献。致力于提供最便捷和优质的服务体验。 Copyright © 2023 布克学术 All rights reserved.
京ICP备2023020795号-1
ghs 京公网安备 11010802042870号
Book学术文献互助
Book学术文献互助群
群 号:604180095
Book学术官方微信