Surgical correction of facial bone deformity and enophthalmos after tripod fracture using an acellular dermal matrix: a case report.

Q2 Medicine
Archives of Craniofacial Surgery Pub Date : 2024-10-01 Epub Date: 2024-08-23 DOI:10.7181/acfs.2024.00066
Woo Young Choi, Jun Mo Kim, Ji Seon Cheon, Jeong Yeol Yang
{"title":"Surgical correction of facial bone deformity and enophthalmos after tripod fracture using an acellular dermal matrix: a case report.","authors":"Woo Young Choi, Jun Mo Kim, Ji Seon Cheon, Jeong Yeol Yang","doi":"10.7181/acfs.2024.00066","DOIUrl":null,"url":null,"abstract":"<p><p>This paper presents a novel approach to the correction of zygomatic malposition and secondary reconstruction orbital floor fractures, highlighting the use of hydrated acellular dermal matrix (ADM), specifically CGDerm One-Step, in a case where traditional solid implants failed to maintain structural integrity and volume. A 27-year-old woman with persistent facial deformities following a traumatic incident underwent a transformative procedure that utilized ADM for volume correction and structural support, addressing significant challenges such as enophthalmos and facial contour depression. This approach was necessitated by the descent of the entire orbital floor and a previously placed implant (Medpor), leading to unsatisfactory volume correction. By integrating ADM with titanium-reinforced fan plates (Synpor), the surgery successfully restored the patient's facial symmetry and addressed her functional concerns, including diplopia and limited eye movement. Postoperative evaluations demonstrated the long-term effectiveness of this method, with significant improvements in facial contour and eye symmetry. Our findings suggest that ADM, particularly in its hydrated form, offers a reliable alternative to traditional bone grafts and implants for correcting complex craniofacial deformities, providing both aesthetic and functional benefits. This case underscores the importance of adaptable, tissue-mimicking materials in facial reconstructive surgery, offering insights into their potential for broader application in post-traumatic facial corrections.</p>","PeriodicalId":52238,"journal":{"name":"Archives of Craniofacial Surgery","volume":" ","pages":"252-256"},"PeriodicalIF":0.0000,"publicationDate":"2024-10-01","publicationTypes":"Journal Article","fieldsOfStudy":null,"isOpenAccess":false,"openAccessPdf":"https://www.ncbi.nlm.nih.gov/pmc/articles/PMC11540491/pdf/","citationCount":"0","resultStr":null,"platform":"Semanticscholar","paperid":null,"PeriodicalName":"Archives of Craniofacial Surgery","FirstCategoryId":"1085","ListUrlMain":"https://doi.org/10.7181/acfs.2024.00066","RegionNum":0,"RegionCategory":null,"ArticlePicture":[],"TitleCN":null,"AbstractTextCN":null,"PMCID":null,"EPubDate":"2024/8/23 0:00:00","PubModel":"Epub","JCR":"Q2","JCRName":"Medicine","Score":null,"Total":0}
引用次数: 0

Abstract

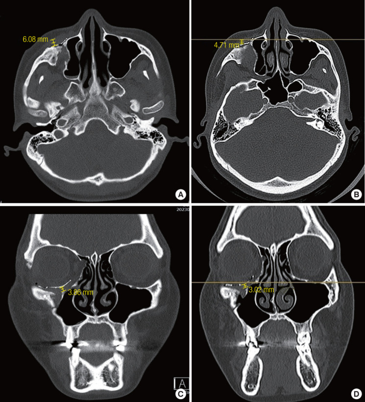
This paper presents a novel approach to the correction of zygomatic malposition and secondary reconstruction orbital floor fractures, highlighting the use of hydrated acellular dermal matrix (ADM), specifically CGDerm One-Step, in a case where traditional solid implants failed to maintain structural integrity and volume. A 27-year-old woman with persistent facial deformities following a traumatic incident underwent a transformative procedure that utilized ADM for volume correction and structural support, addressing significant challenges such as enophthalmos and facial contour depression. This approach was necessitated by the descent of the entire orbital floor and a previously placed implant (Medpor), leading to unsatisfactory volume correction. By integrating ADM with titanium-reinforced fan plates (Synpor), the surgery successfully restored the patient's facial symmetry and addressed her functional concerns, including diplopia and limited eye movement. Postoperative evaluations demonstrated the long-term effectiveness of this method, with significant improvements in facial contour and eye symmetry. Our findings suggest that ADM, particularly in its hydrated form, offers a reliable alternative to traditional bone grafts and implants for correcting complex craniofacial deformities, providing both aesthetic and functional benefits. This case underscores the importance of adaptable, tissue-mimicking materials in facial reconstructive surgery, offering insights into their potential for broader application in post-traumatic facial corrections.

Abstract Image

Abstract Image

Abstract Image

使用非细胞真皮基质手术矫正三脚架骨折后的面部骨骼畸形和眼球突出:病例报告。
本文介绍了一种矫正颧骨错位和二次重建眶底骨折的新方法,重点介绍了水合非细胞真皮基质(ADM),特别是 CGDerm One-Step,在传统固体植入物无法保持结构完整性和容积的病例中的应用。一位 27 岁的女性因外伤导致面部持续畸形,她接受了一项变革性手术,利用 ADM 进行容积矫正和结构支撑,解决了眼球突出和面部轮廓凹陷等重大难题。由于整个眶底和之前植入的植入体(Medpor)下垂,导致容积矫正效果不理想,因此必须采用这种方法。通过将 ADM 与钛加固扇形板(Synpor)相结合,手术成功恢复了患者的面部对称,并解决了她的复视和眼球活动受限等功能问题。术后评估表明,这种方法长期有效,面部轮廓和眼部对称性都有显著改善。我们的研究结果表明,ADM(尤其是水合形式的 ADM)是矫正复杂颅面畸形的可靠方法,可替代传统的骨移植和植入物,在美观和功能上都有好处。该病例强调了可适应的仿组织材料在面部重建手术中的重要性,为其在创伤后面部矫正中的更广泛应用提供了启示。
本文章由计算机程序翻译,如有差异,请以英文原文为准。
求助全文
约1分钟内获得全文 求助全文
来源期刊
Archives of Craniofacial Surgery
Archives of Craniofacial Surgery Medicine-Otorhinolaryngology
CiteScore
2.90
自引率
0.00%
发文量
44
×
引用
GB/T 7714-2015
复制
MLA
复制
APA
复制
导出至
BibTeX EndNote RefMan NoteFirst NoteExpress
×
提示
您的信息不完整,为了账户安全,请先补充。
现在去补充
×
提示
您因"违规操作"
具体请查看互助需知
我知道了
×
提示
确定
请完成安全验证×
copy
已复制链接
快去分享给好友吧!
我知道了
右上角分享
点击右上角分享
0
联系我们:info@booksci.cn Book学术提供免费学术资源搜索服务,方便国内外学者检索中英文文献。致力于提供最便捷和优质的服务体验。 Copyright © 2023 布克学术 All rights reserved.
京ICP备2023020795号-1
ghs 京公网安备 11010802042870号
Book学术文献互助
Book学术文献互助群
群 号:604180095
Book学术官方微信