Serous Tubal Intraepithelial Carcinoma After Neoadjuvant Chemotherapy: A Report of 2 Cases.

IF 1.7 4区 医学 Q3 OBSTETRICS & GYNECOLOGY
Iris A S Stroot, Leonie Smit, Geertruida H de Bock, Marise M Wagner, Mathilde Jalving, Léon C L T van Kempen, Joost Bart, Marian J E Mourits
{"title":"Serous Tubal Intraepithelial Carcinoma After Neoadjuvant Chemotherapy: A Report of 2 Cases.","authors":"Iris A S Stroot, Leonie Smit, Geertruida H de Bock, Marise M Wagner, Mathilde Jalving, Léon C L T van Kempen, Joost Bart, Marian J E Mourits","doi":"10.1097/PGP.0000000000001045","DOIUrl":null,"url":null,"abstract":"<p><p>Serous tubal intraepithelial carcinoma (STIC) is regarded as the origin of most high-grade serous carcinomas (HGSC). After a diagnosis of isolated STIC, risk of developing HGSC is substantial. Since surveillance cannot detect HGSC in time to cure the disease, there is no consensus on the optimal treatment after a diagnosis of isolated STIC, but chemotherapy is considered one of the possible strategies. In this case report, we describe 2 women with advanced-stage HGSC treated with 3 cycles of neoadjuvant chemotherapy followed by interval debulking surgery. In both women, histopathological examination showed a complete histopathological tumor response, but a vital STIC was found in both cases. The 2 cases presented here indicate that STICs may not respond to chemotherapy. Further research focused on the underlying biology and chemosensitivity of STIC, as well as the effectiveness of treatment to prevent HGSC in case of isolated STIC, is needed.</p>","PeriodicalId":14001,"journal":{"name":"International Journal of Gynecological Pathology","volume":" ","pages":"94-97"},"PeriodicalIF":1.7000,"publicationDate":"2025-01-01","publicationTypes":"Journal Article","fieldsOfStudy":null,"isOpenAccess":false,"openAccessPdf":"https://www.ncbi.nlm.nih.gov/pmc/articles/PMC11627307/pdf/","citationCount":"0","resultStr":null,"platform":"Semanticscholar","paperid":null,"PeriodicalName":"International Journal of Gynecological Pathology","FirstCategoryId":"3","ListUrlMain":"https://doi.org/10.1097/PGP.0000000000001045","RegionNum":4,"RegionCategory":"医学","ArticlePicture":[],"TitleCN":null,"AbstractTextCN":null,"PMCID":null,"EPubDate":"2024/8/22 0:00:00","PubModel":"Epub","JCR":"Q3","JCRName":"OBSTETRICS & GYNECOLOGY","Score":null,"Total":0}
引用次数: 0

Abstract

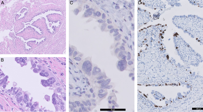
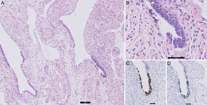
Serous tubal intraepithelial carcinoma (STIC) is regarded as the origin of most high-grade serous carcinomas (HGSC). After a diagnosis of isolated STIC, risk of developing HGSC is substantial. Since surveillance cannot detect HGSC in time to cure the disease, there is no consensus on the optimal treatment after a diagnosis of isolated STIC, but chemotherapy is considered one of the possible strategies. In this case report, we describe 2 women with advanced-stage HGSC treated with 3 cycles of neoadjuvant chemotherapy followed by interval debulking surgery. In both women, histopathological examination showed a complete histopathological tumor response, but a vital STIC was found in both cases. The 2 cases presented here indicate that STICs may not respond to chemotherapy. Further research focused on the underlying biology and chemosensitivity of STIC, as well as the effectiveness of treatment to prevent HGSC in case of isolated STIC, is needed.

Abstract Image

Abstract Image

新辅助化疗后的浆液性输卵管上皮内癌:2例报告
浆液性输卵管上皮内癌(STIC)被认为是大多数高级别浆液性癌(HGSC)的起源。确诊为孤立的 STIC 后,罹患 HGSC 的风险很大。由于监测不能及时发现 HGSC 以治愈疾病,因此对于确诊孤立性 STIC 后的最佳治疗方法尚未达成共识,但化疗被认为是可行的策略之一。在本病例报告中,我们介绍了两名晚期 HGSC 患者,她们均接受了 3 个周期的新辅助化疗,随后进行了间隔性剥脱手术。在这两名女性患者中,组织病理学检查均显示肿瘤组织病理学反应完全,但均发现了重要的 STIC。本文介绍的两个病例表明,STIC 可能对化疗无反应。需要进一步研究STIC的潜在生物学特性和化疗敏感性,以及预防孤立STIC发生HGSC的治疗效果。
本文章由计算机程序翻译,如有差异,请以英文原文为准。
求助全文
约1分钟内获得全文 求助全文
来源期刊
CiteScore
3.90
自引率
12.50%
发文量
154
审稿时长
6-12 weeks
期刊介绍: International Journal of Gynecological Pathology is the official journal of the International Society of Gynecological Pathologists (ISGyP), and provides complete and timely coverage of advances in the understanding and management of gynecological disease. Emphasis is placed on investigations in the field of anatomic pathology. Articles devoted to experimental or animal pathology clearly relevant to an understanding of human disease are published, as are pathological and clinicopathological studies and individual case reports that offer new insights.
×
引用
GB/T 7714-2015
复制
MLA
复制
APA
复制
导出至
BibTeX EndNote RefMan NoteFirst NoteExpress
×
提示
您的信息不完整,为了账户安全,请先补充。
现在去补充
×
提示
您因"违规操作"
具体请查看互助需知
我知道了
×
提示
确定
请完成安全验证×
copy
已复制链接
快去分享给好友吧!
我知道了
右上角分享
点击右上角分享
0
联系我们:info@booksci.cn Book学术提供免费学术资源搜索服务,方便国内外学者检索中英文文献。致力于提供最便捷和优质的服务体验。 Copyright © 2023 布克学术 All rights reserved.
京ICP备2023020795号-1
ghs 京公网安备 11010802042870号
Book学术文献互助
Book学术文献互助群
群 号:604180095
Book学术官方微信