Benefits of osimertinib treat a lung adenocarcinoma patient with germline EGFR T790M, somatic EGFR 19-Del, TP53 and PIK3CA mutations.

IF 2.4 4区 医学 Q3 ONCOLOGY
Yingxue Li, Guangqi Li, Zheng Zheng, Wenjuan Wen, Haihui Zhao, Xia Liu, Jiaping Xie, Lin Han
{"title":"Benefits of osimertinib treat a lung adenocarcinoma patient with germline EGFR T790M, somatic EGFR 19-Del, TP53 and PIK3CA mutations.","authors":"Yingxue Li, Guangqi Li, Zheng Zheng, Wenjuan Wen, Haihui Zhao, Xia Liu, Jiaping Xie, Lin Han","doi":"10.1186/s13053-024-00286-4","DOIUrl":null,"url":null,"abstract":"<p><strong>Background: </strong>Somatic mutations in the EGFR gene occur in about 50% of non-small cell lung cancers, with the T790M mutation significantly contributing to secondary resistance against EGFR-TKI drugs. However, EGFR T790M germline mutations rarely occur.</p><p><strong>Case presentation: </strong>In this study, we report a case of a lung adenocarcinoma family lineage linked to a germline EGFR T790M mutation. The main subject was diagnosed with stage IV lung adenocarcinoma and experienced a 19-month period without disease progression while treated with Osimertinib. We collected both clinicopathological and familial data from a patient with lung adenocarcinoma. Next-generation sequencing of 40 key genes was performed on the proband's tumor tissue. To detect EGFR germline mutations, Sanger sequencing was conducted on peripheral blood mononuclear cells from the proband and his two daughters. Mutations such as EGFR T790M, EGFR 19-Del, TP53, and PIK3CA were identified in the proband's lung cancer tissue. Additionally, germline EGFR T790M mutations were confirmed in the proband and his daughters through sequencing of their peripheral blood samples. CT scans revealed multiple pulmonary nodules in both daughters.</p><p><strong>Conclusions: </strong>These observations suggest that germline mutations in EGFR T790M could be strongly linked to a familial predisposition to lung cancer.</p>","PeriodicalId":55058,"journal":{"name":"Hereditary Cancer in Clinical Practice","volume":"22 1","pages":"13"},"PeriodicalIF":2.4000,"publicationDate":"2024-08-19","publicationTypes":"Journal Article","fieldsOfStudy":null,"isOpenAccess":false,"openAccessPdf":"https://www.ncbi.nlm.nih.gov/pmc/articles/PMC11331667/pdf/","citationCount":"0","resultStr":null,"platform":"Semanticscholar","paperid":null,"PeriodicalName":"Hereditary Cancer in Clinical Practice","FirstCategoryId":"3","ListUrlMain":"https://doi.org/10.1186/s13053-024-00286-4","RegionNum":4,"RegionCategory":"医学","ArticlePicture":[],"TitleCN":null,"AbstractTextCN":null,"PMCID":null,"EPubDate":"","PubModel":"","JCR":"Q3","JCRName":"ONCOLOGY","Score":null,"Total":0}
引用次数: 0

Abstract

Background: Somatic mutations in the EGFR gene occur in about 50% of non-small cell lung cancers, with the T790M mutation significantly contributing to secondary resistance against EGFR-TKI drugs. However, EGFR T790M germline mutations rarely occur.

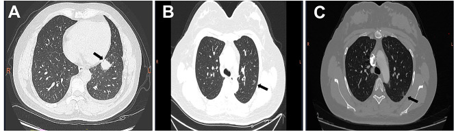
Case presentation: In this study, we report a case of a lung adenocarcinoma family lineage linked to a germline EGFR T790M mutation. The main subject was diagnosed with stage IV lung adenocarcinoma and experienced a 19-month period without disease progression while treated with Osimertinib. We collected both clinicopathological and familial data from a patient with lung adenocarcinoma. Next-generation sequencing of 40 key genes was performed on the proband's tumor tissue. To detect EGFR germline mutations, Sanger sequencing was conducted on peripheral blood mononuclear cells from the proband and his two daughters. Mutations such as EGFR T790M, EGFR 19-Del, TP53, and PIK3CA were identified in the proband's lung cancer tissue. Additionally, germline EGFR T790M mutations were confirmed in the proband and his daughters through sequencing of their peripheral blood samples. CT scans revealed multiple pulmonary nodules in both daughters.

Conclusions: These observations suggest that germline mutations in EGFR T790M could be strongly linked to a familial predisposition to lung cancer.

Abstract Image

Abstract Image

Abstract Image

奥西美替尼治疗患有胚系表皮生长因子受体 T790M、体细胞表皮生长因子受体 19-Del、TP53 和 PIK3CA 突变的肺腺癌患者的疗效。
背景:约50%的非小细胞肺癌会发生表皮生长因子受体基因的体细胞突变,其中T790M突变是导致表皮生长因子受体-TKI药物继发性耐药的重要原因。然而,EGFR T790M 基因突变很少发生:在本研究中,我们报告了一例与表皮生长因子受体(EGFR)T790M 基因突变相关的肺腺癌家族性病例。主要研究对象被诊断为肺腺癌 IV 期,在接受奥希替尼治疗的 19 个月期间疾病未见进展。我们收集了一名肺腺癌患者的临床病理和家族数据。我们对该患者的肿瘤组织进行了 40 个关键基因的新一代测序。为了检测表皮生长因子受体种系突变,对该患者及其两个女儿的外周血单核细胞进行了桑格测序。在原告的肺癌组织中发现了表皮生长因子受体 T790M、表皮生长因子受体 19-Del、TP53 和 PIK3CA 等突变。此外,通过对该患者及其女儿的外周血样本进行测序,确认了他们的种系表皮生长因子受体(EGFR)T790M突变。CT 扫描显示,两个女儿都有多发性肺结节:这些观察结果表明,表皮生长因子受体 T790M 的种系突变可能与肺癌的家族易感性密切相关。
本文章由计算机程序翻译,如有差异,请以英文原文为准。
求助全文
约1分钟内获得全文 求助全文
来源期刊
CiteScore
3.10
自引率
5.90%
发文量
38
审稿时长
>12 weeks
期刊介绍: Hereditary Cancer in Clinical Practice is an open access journal that publishes articles of interest for the cancer genetics community and serves as a discussion forum for the development appropriate healthcare strategies. Cancer genetics encompasses a wide variety of disciplines and knowledge in the field is rapidly growing, especially as the amount of information linking genetic differences to inherited cancer predispositions continues expanding. With the increased knowledge of genetic variability and how this relates to cancer risk there is a growing demand not only to disseminate this information into clinical practice but also to enable competent debate concerning how such information is managed and what it implies for patient care. Topics covered by the journal include but are not limited to: Original research articles on any aspect of inherited predispositions to cancer. Reviews of inherited cancer predispositions. Application of molecular and cytogenetic analysis to clinical decision making. Clinical aspects of the management of hereditary cancers. Genetic counselling issues associated with cancer genetics. The role of registries in improving health care of patients with an inherited predisposition to cancer.
×
引用
GB/T 7714-2015
复制
MLA
复制
APA
复制
导出至
BibTeX EndNote RefMan NoteFirst NoteExpress
×
提示
您的信息不完整,为了账户安全,请先补充。
现在去补充
×
提示
您因"违规操作"
具体请查看互助需知
我知道了
×
提示
确定
请完成安全验证×
copy
已复制链接
快去分享给好友吧!
我知道了
右上角分享
点击右上角分享
0
联系我们:info@booksci.cn Book学术提供免费学术资源搜索服务,方便国内外学者检索中英文文献。致力于提供最便捷和优质的服务体验。 Copyright © 2023 布克学术 All rights reserved.
京ICP备2023020795号-1
ghs 京公网安备 11010802042870号
Book学术文献互助
Book学术文献互助群
群 号:604180095
Book学术官方微信