Two Unrelated Iranian Patients with Adenosine Deaminase 2 Deficiency: A Case Report and Review of Treatment.

IF 1.5 Q4 IMMUNOLOGY
Case Reports in Immunology Pub Date : 2024-08-12 eCollection Date: 2024-01-01 DOI:10.1155/2024/4380689
Parvaneh Karimzade, Aziz Eghbali, Mohammad Keramatipour, Reza Shiari, Zahra Golchehre, Mahdieh Taghizadeh, Mazdak Fallahi, Shahrzad Fallah, Nasrin Khakbazan Fard, Narges Eslami, Narges Bazgir, Mahnaz Jamee, Zahra Chavoshzadeh
{"title":"Two Unrelated Iranian Patients with Adenosine Deaminase 2 Deficiency: A Case Report and Review of Treatment.","authors":"Parvaneh Karimzade, Aziz Eghbali, Mohammad Keramatipour, Reza Shiari, Zahra Golchehre, Mahdieh Taghizadeh, Mazdak Fallahi, Shahrzad Fallah, Nasrin Khakbazan Fard, Narges Eslami, Narges Bazgir, Mahnaz Jamee, Zahra Chavoshzadeh","doi":"10.1155/2024/4380689","DOIUrl":null,"url":null,"abstract":"<p><strong>Background: </strong>Adenosine deaminase deficiency 2 (DADA2) is an autoinflammatory disorder, caused by the <i>CECR1</i> gene mutation. The major clinical manifestations include recurrent vasculitis, neurological disorders such as stroke, hematologic abnormalities, and immunodeficiency. As reported in previous studies, DADA2 may be manifested by ischemic or hemorrhagic strokes. This disorder also includes various hematological manifestations (pure red cell aplasia, pancytopenia, hemolytic anemia, and pancytopenia with bone marrow involvement). <i>Case Presentation</i>. In this case report, we present the clinical and immunological findings of two unrelated patients with DADA2. The first patient was a 7-year-old female who experienced recurrent neurological symptoms such as vertigo, tinnitus, hearing loss, and right-sided hemiparesis. Her brain magnetic resonance imaging (MRI) revealed a left-sided stroke, and she responded well to antitumor necrosis factor alpha agents and plasmapheresis. The second patient was a 6-year-old female who had recurrent fever and bicytopenia, aphthous lesions, cervical lymphadenopathy, and elevated liver enzymes. We also discussed the strategies used to manage the clinical manifestations in these two DADA2 patients.</p><p><strong>Conclusion: </strong>In this case report, we discussed two cases with DADA2 deficiency and their respective manifestations. The first case showed neurological symptoms while the second case had hematological symptoms. Although there is no established treatment for DADA2 due to its rarity, steroids are commonly used to treat this disorder. Antitumor necrosis factor is also effective in controlling the symptoms, especially the neurological ones. In cases where there is no appropriate response to these treatments, hematopoietic stem cell transplantation can be beneficial.</p>","PeriodicalId":42865,"journal":{"name":"Case Reports in Immunology","volume":"2024 ","pages":"4380689"},"PeriodicalIF":1.5000,"publicationDate":"2024-08-12","publicationTypes":"Journal Article","fieldsOfStudy":null,"isOpenAccess":false,"openAccessPdf":"https://www.ncbi.nlm.nih.gov/pmc/articles/PMC11333127/pdf/","citationCount":"0","resultStr":null,"platform":"Semanticscholar","paperid":null,"PeriodicalName":"Case Reports in Immunology","FirstCategoryId":"1085","ListUrlMain":"https://doi.org/10.1155/2024/4380689","RegionNum":0,"RegionCategory":null,"ArticlePicture":[],"TitleCN":null,"AbstractTextCN":null,"PMCID":null,"EPubDate":"2024/1/1 0:00:00","PubModel":"eCollection","JCR":"Q4","JCRName":"IMMUNOLOGY","Score":null,"Total":0}
引用次数: 0

Abstract

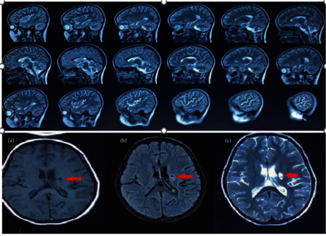
Background: Adenosine deaminase deficiency 2 (DADA2) is an autoinflammatory disorder, caused by the CECR1 gene mutation. The major clinical manifestations include recurrent vasculitis, neurological disorders such as stroke, hematologic abnormalities, and immunodeficiency. As reported in previous studies, DADA2 may be manifested by ischemic or hemorrhagic strokes. This disorder also includes various hematological manifestations (pure red cell aplasia, pancytopenia, hemolytic anemia, and pancytopenia with bone marrow involvement). Case Presentation. In this case report, we present the clinical and immunological findings of two unrelated patients with DADA2. The first patient was a 7-year-old female who experienced recurrent neurological symptoms such as vertigo, tinnitus, hearing loss, and right-sided hemiparesis. Her brain magnetic resonance imaging (MRI) revealed a left-sided stroke, and she responded well to antitumor necrosis factor alpha agents and plasmapheresis. The second patient was a 6-year-old female who had recurrent fever and bicytopenia, aphthous lesions, cervical lymphadenopathy, and elevated liver enzymes. We also discussed the strategies used to manage the clinical manifestations in these two DADA2 patients.

Conclusion: In this case report, we discussed two cases with DADA2 deficiency and their respective manifestations. The first case showed neurological symptoms while the second case had hematological symptoms. Although there is no established treatment for DADA2 due to its rarity, steroids are commonly used to treat this disorder. Antitumor necrosis factor is also effective in controlling the symptoms, especially the neurological ones. In cases where there is no appropriate response to these treatments, hematopoietic stem cell transplantation can be beneficial.

Abstract Image

Abstract Image

两名无亲属关系的伊朗腺苷脱氨酶 2 缺乏症患者:病例报告和治疗回顾
背景介绍腺苷脱氨酶缺乏症 2(DADA2)是一种自身炎症性疾病,由 CECR1 基因突变引起。主要临床表现包括反复发作的血管炎、中风等神经系统疾病、血液学异常和免疫缺陷。根据以往的研究报告,DADA2 可表现为缺血性或出血性中风。这种疾病还包括各种血液学表现(纯红细胞再生不良、泛红细胞增多症、溶血性贫血和骨髓受累的泛红细胞增多症)。病例介绍。在本病例报告中,我们介绍了两名无血缘关系的 DADA2 患者的临床和免疫学结果。第一例患者是一名 7 岁女性,反复出现眩晕、耳鸣、听力下降和右侧偏瘫等神经系统症状。她的脑磁共振成像(MRI)显示为左侧中风,对抗肿瘤坏死因子α药物和血浆置换反应良好。第二名患者是一名 6 岁女性,反复发热、双血细胞减少、口腔溃疡、颈淋巴结病和肝酶升高。我们还讨论了处理这两名 DADA2 患者临床表现的策略:在这份病例报告中,我们讨论了两例 DADA2 缺乏症患者及其各自的表现。第一个病例表现为神经系统症状,第二个病例则表现为血液系统症状。尽管由于 DADA2 缺乏症的罕见性,目前尚无成熟的治疗方法,但类固醇是治疗这种疾病的常用药物。抗肿瘤坏死因子也能有效控制症状,尤其是神经系统症状。如果对这些治疗方法没有适当的反应,造血干细胞移植可能是有益的。
本文章由计算机程序翻译,如有差异,请以英文原文为准。
求助全文
约1分钟内获得全文 求助全文
来源期刊
CiteScore
1.90
自引率
0.00%
发文量
14
审稿时长
15 weeks
期刊介绍: Case Reports in Immunology is a peer-reviewed, Open Access journal that publishes case reports and case series related to allergies, immunodeficiencies, autoimmune diseases, immune disorders, cancer immunology and transplantation immunology.
×
引用
GB/T 7714-2015
复制
MLA
复制
APA
复制
导出至
BibTeX EndNote RefMan NoteFirst NoteExpress
×
提示
您的信息不完整,为了账户安全,请先补充。
现在去补充
×
提示
您因"违规操作"
具体请查看互助需知
我知道了
×
提示
确定
请完成安全验证×
copy
已复制链接
快去分享给好友吧!
我知道了
右上角分享
点击右上角分享
0
联系我们:info@booksci.cn Book学术提供免费学术资源搜索服务,方便国内外学者检索中英文文献。致力于提供最便捷和优质的服务体验。 Copyright © 2023 布克学术 All rights reserved.
京ICP备2023020795号-1
ghs 京公网安备 11010802042870号
Book学术文献互助
Book学术文献互助群
群 号:604180095
Book学术官方微信