Synchronous Invasive Ductal Carcinoma of Breast and Diffuse Large B-cell Lymphoma: A Case Report.

Journal of cancer & allied specialties Pub Date : 2024-08-16 eCollection Date: 2024-01-01 DOI:10.37029/jcas.v10i2.655
Tahira Yasmeen, Sobia Umar, Mariah Mairah Razi
{"title":"Synchronous Invasive Ductal Carcinoma of Breast and Diffuse Large B-cell Lymphoma: A Case Report.","authors":"Tahira Yasmeen, Sobia Umar, Mariah Mairah Razi","doi":"10.37029/jcas.v10i2.655","DOIUrl":null,"url":null,"abstract":"<p><strong>Introduction: </strong>It is uncommon for breast cancer and non-Hodgkin lymphoma to present simultaneously. An increase in the rate of simultaneous malignancy identification has resulted from adopting more sensitive staging imaging techniques.</p><p><strong>Case description: </strong>Here, we describe a patient who was diagnosed with axillary diffuse large B cell lymphoma (DLBCL) in a cancer hospital during a staging work-up for suspected breast cancer. Breast cancer was staged as Stage IIA and DLBCL as Stage IE. She was given three cycles of rituximab, cyclophosphamide, vincristine, doxorubicin, and prednisolone (R-CHOP) protocol. Interim positron emission tomography scan showed a complete metabolic response (Deauville score 2). She was given one more cycle of R-CHOP. Then, she had right breast-conserving surgery with axillary lymph node dissection in August 2023. Histopathology report showed residual disease with ductal carcinoma <i>in situ</i>. She was recommended weekly paclitaxel for 12 cycles and trastuzumab and pertuzumab for 1 year. She is currently having her adjuvant systemic therapy, after which she will be planned for local radiation. Endocrine treatment will be started once chemotherapy is completed.</p><p><strong>Practical implications: </strong>Complete baseline work-up per standard protocols/guidelines should be done in each malignancy. Biopsy of metastatic sites should be done wherever possible. All histopathologies should be reviewed thoroughly before treatment initiation, as they may significantly alter patient management.</p>","PeriodicalId":73631,"journal":{"name":"Journal of cancer & allied specialties","volume":"10 2","pages":"655"},"PeriodicalIF":0.0000,"publicationDate":"2024-08-16","publicationTypes":"Journal Article","fieldsOfStudy":null,"isOpenAccess":false,"openAccessPdf":"https://www.ncbi.nlm.nih.gov/pmc/articles/PMC11326658/pdf/","citationCount":"0","resultStr":null,"platform":"Semanticscholar","paperid":null,"PeriodicalName":"Journal of cancer & allied specialties","FirstCategoryId":"1085","ListUrlMain":"https://doi.org/10.37029/jcas.v10i2.655","RegionNum":0,"RegionCategory":null,"ArticlePicture":[],"TitleCN":null,"AbstractTextCN":null,"PMCID":null,"EPubDate":"2024/1/1 0:00:00","PubModel":"eCollection","JCR":"","JCRName":"","Score":null,"Total":0}
引用次数: 0

Abstract

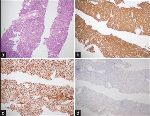
Introduction: It is uncommon for breast cancer and non-Hodgkin lymphoma to present simultaneously. An increase in the rate of simultaneous malignancy identification has resulted from adopting more sensitive staging imaging techniques.

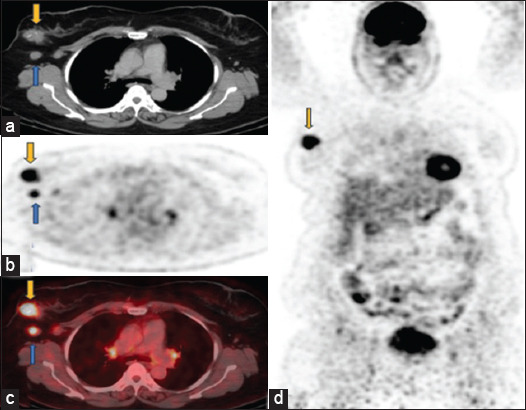
Case description: Here, we describe a patient who was diagnosed with axillary diffuse large B cell lymphoma (DLBCL) in a cancer hospital during a staging work-up for suspected breast cancer. Breast cancer was staged as Stage IIA and DLBCL as Stage IE. She was given three cycles of rituximab, cyclophosphamide, vincristine, doxorubicin, and prednisolone (R-CHOP) protocol. Interim positron emission tomography scan showed a complete metabolic response (Deauville score 2). She was given one more cycle of R-CHOP. Then, she had right breast-conserving surgery with axillary lymph node dissection in August 2023. Histopathology report showed residual disease with ductal carcinoma in situ. She was recommended weekly paclitaxel for 12 cycles and trastuzumab and pertuzumab for 1 year. She is currently having her adjuvant systemic therapy, after which she will be planned for local radiation. Endocrine treatment will be started once chemotherapy is completed.

Practical implications: Complete baseline work-up per standard protocols/guidelines should be done in each malignancy. Biopsy of metastatic sites should be done wherever possible. All histopathologies should be reviewed thoroughly before treatment initiation, as they may significantly alter patient management.

Abstract Image

Abstract Image

Abstract Image

同步浸润性乳腺导管癌和弥漫大 B 细胞淋巴瘤:病例报告。
导言乳腺癌和非霍奇金淋巴瘤同时出现的情况并不多见。由于采用了更敏感的分期成像技术,同时发现恶性肿瘤的比率有所提高:在这里,我们描述了一名在一家肿瘤医院接受疑似乳腺癌分期检查时被诊断出患有腋窝弥漫大 B 细胞淋巴瘤(DLBCL)的患者。乳腺癌被分期为 IIA 期,DLBCL 被分期为 IE 期。她接受了三个周期的利妥昔单抗、环磷酰胺、长春新碱、多柔比星和泼尼松龙(R-CHOP)治疗方案。中期正电子发射断层扫描显示,患者的代谢反应完全(多维尔评分 2 分)。她又接受了一个周期的 R-CHOP 治疗。之后,她于 2023 年 8 月接受了右侧乳房保乳手术和腋窝淋巴结清扫术。组织病理学报告显示,残留病变为导管原位癌。医生建议她每周使用紫杉醇 12 个周期,并使用曲妥珠单抗和百妥珠单抗 1 年。她目前正在接受辅助系统治疗,之后将计划进行局部放射治疗。化疗结束后将开始内分泌治疗:对每种恶性肿瘤都应按照标准方案/指南进行全面的基线检查。应尽可能对转移部位进行活检。在开始治疗前,应彻底检查所有组织病理学,因为它们可能会显著改变患者的治疗方案。
本文章由计算机程序翻译,如有差异,请以英文原文为准。
求助全文
约1分钟内获得全文 求助全文
来源期刊
自引率
0.00%
发文量
0
审稿时长
12 weeks
×
引用
GB/T 7714-2015
复制
MLA
复制
APA
复制
导出至
BibTeX EndNote RefMan NoteFirst NoteExpress
×
提示
您的信息不完整,为了账户安全,请先补充。
现在去补充
×
提示
您因"违规操作"
具体请查看互助需知
我知道了
×
提示
确定
请完成安全验证×
copy
已复制链接
快去分享给好友吧!
我知道了
右上角分享
点击右上角分享
0
联系我们:info@booksci.cn Book学术提供免费学术资源搜索服务,方便国内外学者检索中英文文献。致力于提供最便捷和优质的服务体验。 Copyright © 2023 布克学术 All rights reserved.
京ICP备2023020795号-1
ghs 京公网安备 11010802042870号
Book学术文献互助
Book学术文献互助群
群 号:604180095
Book学术官方微信