Living Donor Liver Transplantation for Adult Hepatic Undifferentiated Embryonal Sarcoma: A Case Report.

Journal of cancer & allied specialties Pub Date : 2024-08-16 eCollection Date: 2024-01-01 DOI:10.37029/jcas.v10i2.599
Usman Shafique, Azhar Shafi, Zafar Ali, Belqees Yawar Faiz, Abu Bakar Hafeez Bhatti
{"title":"Living Donor Liver Transplantation for Adult Hepatic Undifferentiated Embryonal Sarcoma: A Case Report.","authors":"Usman Shafique, Azhar Shafi, Zafar Ali, Belqees Yawar Faiz, Abu Bakar Hafeez Bhatti","doi":"10.37029/jcas.v10i2.599","DOIUrl":null,"url":null,"abstract":"<p><strong>Introduction: </strong>Undifferentiated embryonal sarcoma of the liver (UESL) is an aggressive tumor. There is no established treatment, and it is an uncommon tumor in adults. Treatment usually involves a combination of surgery, chemotherapy, and occasionally liver transplantation (LT). The role of LT in patients with irresectable UESL merits exploration.</p><p><strong>Case description: </strong>A 20-year-old boy with a large palpable abdominal mass, shortness of breath, and weight loss presented to our clinic. His computed tomography scan showed showed a large cystic lesion measuring 11.5 × 22.7 × 23 cm, predominantly involving the left lobe and right anterior sector, with a biopsy consistent with UESL. The tumor was abutting to the right hepatic vein, with bland main portal vein thrombosis. Due to an irresectable tumor and deteriorating clinical condition, living donor LT was performed. The patient remains in good health at 16 months of follow-up.</p><p><strong>Practical implication: </strong>In carefully selected patients with UESL, when other options are not feasible, LT might prolong survival and improve quality of life.</p>","PeriodicalId":73631,"journal":{"name":"Journal of cancer & allied specialties","volume":"10 2","pages":"599"},"PeriodicalIF":0.0000,"publicationDate":"2024-08-16","publicationTypes":"Journal Article","fieldsOfStudy":null,"isOpenAccess":false,"openAccessPdf":"https://www.ncbi.nlm.nih.gov/pmc/articles/PMC11326664/pdf/","citationCount":"0","resultStr":null,"platform":"Semanticscholar","paperid":null,"PeriodicalName":"Journal of cancer & allied specialties","FirstCategoryId":"1085","ListUrlMain":"https://doi.org/10.37029/jcas.v10i2.599","RegionNum":0,"RegionCategory":null,"ArticlePicture":[],"TitleCN":null,"AbstractTextCN":null,"PMCID":null,"EPubDate":"2024/1/1 0:00:00","PubModel":"eCollection","JCR":"","JCRName":"","Score":null,"Total":0}
引用次数: 0

Abstract

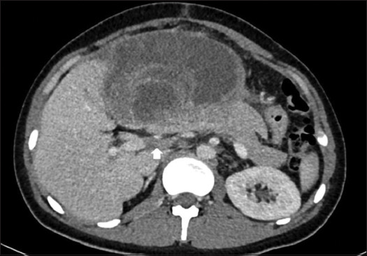
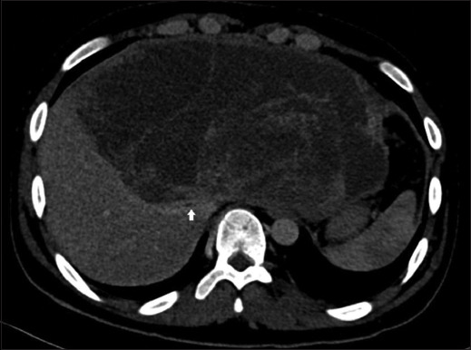
Introduction: Undifferentiated embryonal sarcoma of the liver (UESL) is an aggressive tumor. There is no established treatment, and it is an uncommon tumor in adults. Treatment usually involves a combination of surgery, chemotherapy, and occasionally liver transplantation (LT). The role of LT in patients with irresectable UESL merits exploration.

Case description: A 20-year-old boy with a large palpable abdominal mass, shortness of breath, and weight loss presented to our clinic. His computed tomography scan showed showed a large cystic lesion measuring 11.5 × 22.7 × 23 cm, predominantly involving the left lobe and right anterior sector, with a biopsy consistent with UESL. The tumor was abutting to the right hepatic vein, with bland main portal vein thrombosis. Due to an irresectable tumor and deteriorating clinical condition, living donor LT was performed. The patient remains in good health at 16 months of follow-up.

Practical implication: In carefully selected patients with UESL, when other options are not feasible, LT might prolong survival and improve quality of life.

Abstract Image

Abstract Image

Abstract Image

活体肝移植治疗成人肝未分化胚胎性肉瘤:病例报告。
简介:肝脏未分化胚胎性肉瘤(UESL)是一种侵袭性肿瘤:肝未分化胚胎性肉瘤(UESL)是一种侵袭性肿瘤。目前尚无成熟的治疗方法,而且这种肿瘤在成人中并不常见。治疗方法通常包括手术、化疗和肝移植(LT)。LT在不可切除的UESL患者中的作用值得探讨:一名 20 岁男孩因腹部可触及巨大肿块、呼吸急促和体重减轻来我院就诊。计算机断层扫描显示,他的腹部有一个 11.5 × 22.7 × 23 厘米的巨大囊性病变,主要累及左叶和右前部,活检结果与 UESL 一致。肿瘤与右肝静脉相邻,门静脉主干血栓形成。由于肿瘤无法切除,且临床状况恶化,患者接受了活体肝移植手术。随访16个月后,患者的健康状况依然良好:实际意义:对于精心挑选的 UESL 患者,当其他选择不可行时,LT 可延长生存期并改善生活质量。
本文章由计算机程序翻译,如有差异,请以英文原文为准。
求助全文
约1分钟内获得全文 求助全文
来源期刊
自引率
0.00%
发文量
0
审稿时长
12 weeks
×
引用
GB/T 7714-2015
复制
MLA
复制
APA
复制
导出至
BibTeX EndNote RefMan NoteFirst NoteExpress
×
提示
您的信息不完整,为了账户安全,请先补充。
现在去补充
×
提示
您因"违规操作"
具体请查看互助需知
我知道了
×
提示
确定
请完成安全验证×
copy
已复制链接
快去分享给好友吧!
我知道了
右上角分享
点击右上角分享
0
联系我们:info@booksci.cn Book学术提供免费学术资源搜索服务,方便国内外学者检索中英文文献。致力于提供最便捷和优质的服务体验。 Copyright © 2023 布克学术 All rights reserved.
京ICP备2023020795号-1
ghs 京公网安备 11010802042870号
Book学术文献互助
Book学术文献互助群
群 号:604180095
Book学术官方微信