Epithelial Predominant Wilms Tumor in an Adult Patient: Case Report and Literature Review.

IF 1.9 Q3 ONCOLOGY
Journal of Kidney Cancer and VHL Pub Date : 2024-08-12 eCollection Date: 2024-01-01 DOI:10.15586/jkcvhl.v11i3.329
Sofia Chapman, Benjamin Lichtbroun, Hiren Patel, Sai Krishnaraya Doppalapudi, Hatim Thaker, Colton Smith, Cristo Guardado Salazar, Scott Moerdler, Saum Ghodoussipour
{"title":"Epithelial Predominant Wilms Tumor in an Adult Patient: Case Report and Literature Review.","authors":"Sofia Chapman, Benjamin Lichtbroun, Hiren Patel, Sai Krishnaraya Doppalapudi, Hatim Thaker, Colton Smith, Cristo Guardado Salazar, Scott Moerdler, Saum Ghodoussipour","doi":"10.15586/jkcvhl.v11i3.329","DOIUrl":null,"url":null,"abstract":"<p><p>Although rare in adults, Wilms tumor is the most common pediatric renal tumor. Treatment typically involves radical nephrectomy followed by adjuvant chemotherapy or radiation, although outcomes differ between children and adults which may be due to challenges in accurately diagnosing these patients. In this article, we present a case report of an adult patient with Jeune syndrome and multiple urologic abnormalities who underwent radical nephrectomy for a large renal mass and was subsequently diagnosed with an epithelial predominant Wilms tumor. Epithelial predominant Wilms tumor may have distinct origins from other Wilms tumor histological subtypes and may incur better outcomes. Herein, we discuss the literature surrounding this rare entity as well as the anticipated treatment course.</p>","PeriodicalId":44291,"journal":{"name":"Journal of Kidney Cancer and VHL","volume":"11 3","pages":"33-39"},"PeriodicalIF":1.9000,"publicationDate":"2024-08-12","publicationTypes":"Journal Article","fieldsOfStudy":null,"isOpenAccess":false,"openAccessPdf":"https://www.ncbi.nlm.nih.gov/pmc/articles/PMC11325451/pdf/","citationCount":"0","resultStr":null,"platform":"Semanticscholar","paperid":null,"PeriodicalName":"Journal of Kidney Cancer and VHL","FirstCategoryId":"1085","ListUrlMain":"https://doi.org/10.15586/jkcvhl.v11i3.329","RegionNum":0,"RegionCategory":null,"ArticlePicture":[],"TitleCN":null,"AbstractTextCN":null,"PMCID":null,"EPubDate":"2024/1/1 0:00:00","PubModel":"eCollection","JCR":"Q3","JCRName":"ONCOLOGY","Score":null,"Total":0}
引用次数: 0

Abstract

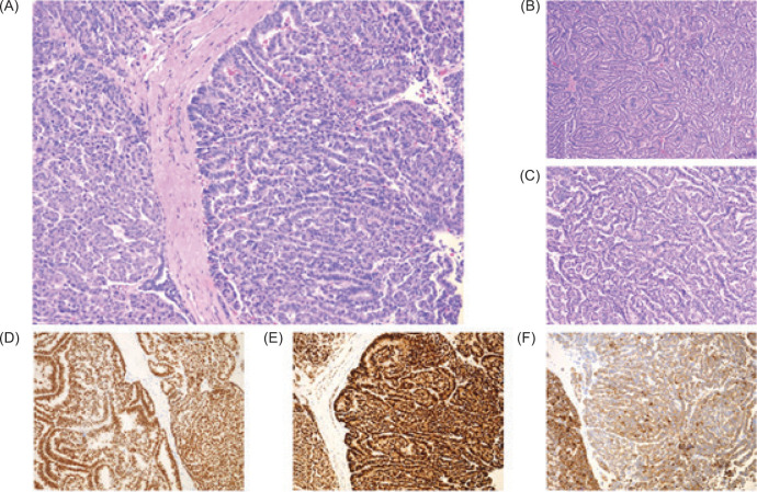
Although rare in adults, Wilms tumor is the most common pediatric renal tumor. Treatment typically involves radical nephrectomy followed by adjuvant chemotherapy or radiation, although outcomes differ between children and adults which may be due to challenges in accurately diagnosing these patients. In this article, we present a case report of an adult patient with Jeune syndrome and multiple urologic abnormalities who underwent radical nephrectomy for a large renal mass and was subsequently diagnosed with an epithelial predominant Wilms tumor. Epithelial predominant Wilms tumor may have distinct origins from other Wilms tumor histological subtypes and may incur better outcomes. Herein, we discuss the literature surrounding this rare entity as well as the anticipated treatment course.

Abstract Image

Abstract Image

一名成年患者的上皮主导型 Wilms 肿瘤:病例报告与文献综述
Wilms 肿瘤虽然在成人中罕见,但却是最常见的儿科肾肿瘤。治疗通常包括根治性肾切除术,然后进行辅助化疗或放疗,但儿童和成人的治疗效果不同,这可能是由于准确诊断这些患者所面临的挑战。本文报告了一例患有 Jeune 综合征和多种泌尿系统异常的成年患者的病例,该患者因巨大肾肿块接受了根治性肾切除术,随后被诊断为上皮占位性 Wilms 肿瘤。上皮占优势的 Wilms 肿瘤可能与其他 Wilms 肿瘤组织学亚型有不同的起源,并可能带来更好的治疗效果。在此,我们将讨论有关这一罕见实体的文献以及预期的治疗过程。
本文章由计算机程序翻译,如有差异,请以英文原文为准。
求助全文
约1分钟内获得全文 求助全文
来源期刊
自引率
6.20%
发文量
22
审稿时长
4 weeks
×
引用
GB/T 7714-2015
复制
MLA
复制
APA
复制
导出至
BibTeX EndNote RefMan NoteFirst NoteExpress
×
提示
您的信息不完整,为了账户安全,请先补充。
现在去补充
×
提示
您因"违规操作"
具体请查看互助需知
我知道了
×
提示
确定
请完成安全验证×
copy
已复制链接
快去分享给好友吧!
我知道了
右上角分享
点击右上角分享
0
联系我们:info@booksci.cn Book学术提供免费学术资源搜索服务,方便国内外学者检索中英文文献。致力于提供最便捷和优质的服务体验。 Copyright © 2023 布克学术 All rights reserved.
京ICP备2023020795号-1
ghs 京公网安备 11010802042870号
Book学术文献互助
Book学术文献互助群
群 号:604180095
Book学术官方微信