Osseous Metaplasia of Cervix Mimicking Cervical Cancer - A Rare Case Report.

IF 1 Q3 OBSTETRICS & GYNECOLOGY
Journal of Mid-life Health Pub Date : 2024-04-01 Epub Date: 2024-07-05 DOI:10.4103/jmh.jmh_84_23
Sajeeb Mondal, Rajashree Pradhan, Ashmita Chakraborty, Sankha Chatterjee
{"title":"Osseous Metaplasia of Cervix Mimicking Cervical Cancer - A Rare Case Report.","authors":"Sajeeb Mondal, Rajashree Pradhan, Ashmita Chakraborty, Sankha Chatterjee","doi":"10.4103/jmh.jmh_84_23","DOIUrl":null,"url":null,"abstract":"<p><p>Osseous metaplasia (OM) of the cervix without involvement of the uterus is an extremely rare entity. Only few cases had been reported in the literature. We reported a rare case of OM of the cervix clinically mimicking cervical cancer. A 52-year-old female presented with chief complaints of leukorrhea and an unusual sensation of mass in the vagina. On clinical examination, the uterus, adnexa, pouch of Douglas, vulva, and perineum-all were normal except the cervix which was hypertrophied with surface irregularities. Histopathological examination of the cervix showed OM of the cervix. Since this is a benign entity, proper diagnosis is essential to avoid misdiagnosis of malignant tumors, especially malignant mesenchymal tumors.</p>","PeriodicalId":37717,"journal":{"name":"Journal of Mid-life Health","volume":"15 2","pages":"122-124"},"PeriodicalIF":1.0000,"publicationDate":"2024-04-01","publicationTypes":"Journal Article","fieldsOfStudy":null,"isOpenAccess":false,"openAccessPdf":"https://www.ncbi.nlm.nih.gov/pmc/articles/PMC11321509/pdf/","citationCount":"0","resultStr":null,"platform":"Semanticscholar","paperid":null,"PeriodicalName":"Journal of Mid-life Health","FirstCategoryId":"1085","ListUrlMain":"https://doi.org/10.4103/jmh.jmh_84_23","RegionNum":0,"RegionCategory":null,"ArticlePicture":[],"TitleCN":null,"AbstractTextCN":null,"PMCID":null,"EPubDate":"2024/7/5 0:00:00","PubModel":"Epub","JCR":"Q3","JCRName":"OBSTETRICS & GYNECOLOGY","Score":null,"Total":0}
引用次数: 0

Abstract

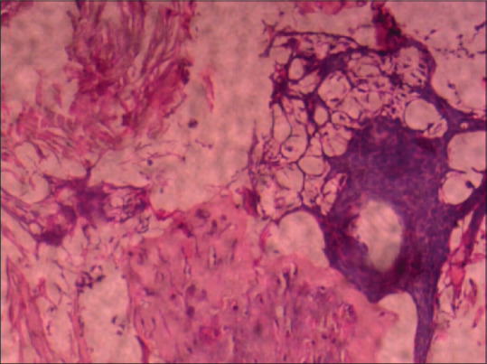
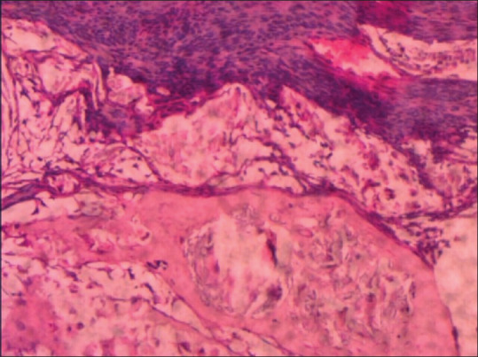
Osseous metaplasia (OM) of the cervix without involvement of the uterus is an extremely rare entity. Only few cases had been reported in the literature. We reported a rare case of OM of the cervix clinically mimicking cervical cancer. A 52-year-old female presented with chief complaints of leukorrhea and an unusual sensation of mass in the vagina. On clinical examination, the uterus, adnexa, pouch of Douglas, vulva, and perineum-all were normal except the cervix which was hypertrophied with surface irregularities. Histopathological examination of the cervix showed OM of the cervix. Since this is a benign entity, proper diagnosis is essential to avoid misdiagnosis of malignant tumors, especially malignant mesenchymal tumors.

Abstract Image

Abstract Image

宫颈骨质增生模仿宫颈癌--罕见病例报告。
未累及子宫的宫颈骨化病(OM)是一种极为罕见的病变。文献中仅有少数病例报道。我们报告了一例罕见的宫颈骨化病(OM),其临床表现酷似宫颈癌。一名 52 岁的女性主诉白带增多,阴道内有不寻常的肿块感。经临床检查,子宫、附件、道格拉斯袋、外阴和会阴均正常,唯独宫颈肥大,表面不规则。宫颈的组织病理学检查显示,宫颈存在肿瘤。由于这是一种良性肿瘤,因此必须进行正确诊断,以避免误诊为恶性肿瘤,尤其是恶性间质瘤。
本文章由计算机程序翻译,如有差异,请以英文原文为准。
求助全文
约1分钟内获得全文 求助全文
来源期刊
Journal of Mid-life Health
Journal of Mid-life Health Social Sciences-Health (social science)
CiteScore
1.70
自引率
9.10%
发文量
39
审稿时长
43 weeks
期刊介绍: Journal of mid-life health is the official journal of the Indian Menopause society published Quarterly in January, April, July and October. It is peer reviewed, scientific journal of mid-life health and its problems. It includes all aspects of mid-life health, preventive as well as curative. The journal publishes on subjects such as gynecology, neurology, geriatrics, psychiatry, endocrinology, urology, andrology, psychology, healthy ageing, cardiovascular health, bone health, quality of life etc. as relevant of men and women in their midlife. The Journal provides a visible platform to the researchers as well as clinicians to publish their experiences in this area thereby helping in the promotion of mid-life health leading to healthy ageing, growing need due to increasing life expectancy. The Editorial team has maintained high standards and published original research papers, case reports and review articles from the best of the best contributors both national & international, consistently so that now, it has become a great tool in the hands of menopause practitioners.
×
引用
GB/T 7714-2015
复制
MLA
复制
APA
复制
导出至
BibTeX EndNote RefMan NoteFirst NoteExpress
×
提示
您的信息不完整,为了账户安全,请先补充。
现在去补充
×
提示
您因"违规操作"
具体请查看互助需知
我知道了
×
提示
确定
请完成安全验证×
copy
已复制链接
快去分享给好友吧!
我知道了
右上角分享
点击右上角分享
0
联系我们:info@booksci.cn Book学术提供免费学术资源搜索服务,方便国内外学者检索中英文文献。致力于提供最便捷和优质的服务体验。 Copyright © 2023 布克学术 All rights reserved.
京ICP备2023020795号-1
ghs 京公网安备 11010802042870号
Book学术文献互助
Book学术文献互助群
群 号:604180095
Book学术官方微信