Finding the Balance: Venous Thromboembolism Prophylaxis during Hematochezia in Crohn's Disease.

IF 0.6 Q4 GASTROENTEROLOGY & HEPATOLOGY
Case Reports in Gastroenterology Pub Date : 2024-07-22 eCollection Date: 2024-01-01 DOI:10.1159/000540128
Kain Kim, Danielle Llanos, Christopher Ramos, Nikrad Shahnavaz, Bhavin B Adhyaru
{"title":"Finding the Balance: Venous Thromboembolism Prophylaxis during Hematochezia in Crohn's Disease.","authors":"Kain Kim, Danielle Llanos, Christopher Ramos, Nikrad Shahnavaz, Bhavin B Adhyaru","doi":"10.1159/000540128","DOIUrl":null,"url":null,"abstract":"<p><strong>Introduction: </strong>Despite heightened risk of venous thromboembolism (VTE) in hospitalized patients with inflammatory bowel disease (IBD), pharmacologic prophylaxis remains underutilized, particularly in those presenting with hematochezia. Although placement of retrievable inferior vena cava filters (rIVCF) may be considered in those with contraindications to anticoagulation and VTE risk, current recommendations from clinical guidelines are incongruent, leading to wide variation in practice.</p><p><strong>Case presentation: </strong>This report highlights a case of rIVCF used in the management of recurrent VTEs in a patient hospitalized for persistent gastrointestinal bleeding.</p><p><strong>Conclusion: </strong>Our case demonstrates the need for a lower threshold for initiating VTE prophylaxis in patients with active IBD, even when hematochezia is the presenting symptom. A small group of patients with recurrent VTE and clear contraindications to anticoagulation may require IVCFs, necessitating close follow-up and monitoring for filter complications.</p>","PeriodicalId":9614,"journal":{"name":"Case Reports in Gastroenterology","volume":"18 1","pages":"367-372"},"PeriodicalIF":0.6000,"publicationDate":"2024-07-22","publicationTypes":"Journal Article","fieldsOfStudy":null,"isOpenAccess":false,"openAccessPdf":"https://www.ncbi.nlm.nih.gov/pmc/articles/PMC11324262/pdf/","citationCount":"0","resultStr":null,"platform":"Semanticscholar","paperid":null,"PeriodicalName":"Case Reports in Gastroenterology","FirstCategoryId":"1085","ListUrlMain":"https://doi.org/10.1159/000540128","RegionNum":0,"RegionCategory":null,"ArticlePicture":[],"TitleCN":null,"AbstractTextCN":null,"PMCID":null,"EPubDate":"2024/1/1 0:00:00","PubModel":"eCollection","JCR":"Q4","JCRName":"GASTROENTEROLOGY & HEPATOLOGY","Score":null,"Total":0}
引用次数: 0

Abstract

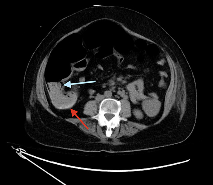
Introduction: Despite heightened risk of venous thromboembolism (VTE) in hospitalized patients with inflammatory bowel disease (IBD), pharmacologic prophylaxis remains underutilized, particularly in those presenting with hematochezia. Although placement of retrievable inferior vena cava filters (rIVCF) may be considered in those with contraindications to anticoagulation and VTE risk, current recommendations from clinical guidelines are incongruent, leading to wide variation in practice.

Case presentation: This report highlights a case of rIVCF used in the management of recurrent VTEs in a patient hospitalized for persistent gastrointestinal bleeding.

Conclusion: Our case demonstrates the need for a lower threshold for initiating VTE prophylaxis in patients with active IBD, even when hematochezia is the presenting symptom. A small group of patients with recurrent VTE and clear contraindications to anticoagulation may require IVCFs, necessitating close follow-up and monitoring for filter complications.

Abstract Image

寻找平衡:克罗恩病患者血崩期间的静脉血栓栓塞预防。
简介:尽管住院的炎症性肠病(IBD)患者发生静脉血栓栓塞症(VTE)的风险增加,但药物预防仍未得到充分利用,尤其是在出现血性便血的患者中。虽然有抗凝禁忌症和 VTE 风险的患者可以考虑放置可回收下腔静脉滤器(rIVCF),但目前临床指南的建议并不一致,导致实践中的差异很大:本报告重点介绍了一例使用 rIVCF 治疗因持续消化道出血而住院的患者复发性 VTE 的病例:我们的病例表明,活动性 IBD 患者在开始预防 VTE 时需要降低阈值,即使以血性便血为主要症状。一小部分复发性 VTE 患者有明确的抗凝禁忌症,可能需要使用 IVCF,因此需要密切随访和监测滤器并发症。
本文章由计算机程序翻译,如有差异,请以英文原文为准。
求助全文
约1分钟内获得全文 求助全文
来源期刊
Case Reports in Gastroenterology
Case Reports in Gastroenterology Medicine-Gastroenterology
CiteScore
1.10
自引率
0.00%
发文量
99
审稿时长
7 weeks
期刊介绍:
×
引用
GB/T 7714-2015
复制
MLA
复制
APA
复制
导出至
BibTeX EndNote RefMan NoteFirst NoteExpress
×
提示
您的信息不完整,为了账户安全,请先补充。
现在去补充
×
提示
您因"违规操作"
具体请查看互助需知
我知道了
×
提示
确定
请完成安全验证×
copy
已复制链接
快去分享给好友吧!
我知道了
右上角分享
点击右上角分享
0
联系我们:info@booksci.cn Book学术提供免费学术资源搜索服务,方便国内外学者检索中英文文献。致力于提供最便捷和优质的服务体验。 Copyright © 2023 布克学术 All rights reserved.
京ICP备2023020795号-1
ghs 京公网安备 11010802042870号
Book学术文献互助
Book学术文献互助群
群 号:604180095
Book学术官方微信