Comparison of clinical outcomes of anterior combined latissimus dorsi and teres major tendon transfer for anterior superior irreparable rotator cuff tear between young and elderly patients.

IF 1.7 Q2 ORTHOPEDICS
Clinics in Shoulder and Elbow Pub Date : 2024-09-01 Epub Date: 2024-08-06 DOI:10.5397/cise.2024.00248
Chang Hee Baek, Bo Taek Kim, Jung Gon Kim, Seung Jin Kim
{"title":"Comparison of clinical outcomes of anterior combined latissimus dorsi and teres major tendon transfer for anterior superior irreparable rotator cuff tear between young and elderly patients.","authors":"Chang Hee Baek, Bo Taek Kim, Jung Gon Kim, Seung Jin Kim","doi":"10.5397/cise.2024.00248","DOIUrl":null,"url":null,"abstract":"<p><strong>Background: </strong>Anterior combined latissimus dorsi and teres major (aLDTM) tendon transfer has shown promise as a treatment for anterior superior irreparable rotator cuff tears (ASIRCTs). Our study aimed to compare aLDTM clinical outcomes for ASIRCTs between young and elderly patients.</p><p><strong>Methods: </strong>This retrospective study reviewed data from patients who underwent aLDTM tendon transfer for ASIRCTs with minimum 2-year follow-up. Clinical evaluations included visual analog scale (VAS), American Shoulder and Elbow Surgeons (ASES) score, Single Assessment Numeric Evaluation (SANE), active range of motion (aROM), strength, and complications. Radiologic assessments included acromiohumeral distance, Hamada classification, and integrity of transferred tendon. Patients were divided into group total (all ages), group old (≥70 years), and group young (≤60 years).</p><p><strong>Results: </strong>A total of 123 patients were enrolled with 39 in group young (mean age, 56.6±4.9 years) and 27 in group old (mean age, 73.6±2.3 years). Postoperatively, both groups showed significant improvements in VAS, ASES, and SANE scores and improved aROM for forward elevation, abduction, and internal rotation. No significant differences in clinical coutcomes were noted between the groups. Furthermore, similar rates of complications, including retears and postoperative infections, were observed across all three groups.</p><p><strong>Conclusions: </strong>Our study highlights the effectiveness of aLDTM transfer for ASIRCTs with minimal glenohumeral arthritis, demonstrating similar outcomes in both group young and group old patients. Moreover, patients in these distinct age groups showed comparable clinical results when compared to group total. Level of evidence: III.</p>","PeriodicalId":33981,"journal":{"name":"Clinics in Shoulder and Elbow","volume":" ","pages":"327-337"},"PeriodicalIF":1.7000,"publicationDate":"2024-09-01","publicationTypes":"Journal Article","fieldsOfStudy":null,"isOpenAccess":false,"openAccessPdf":"https://www.ncbi.nlm.nih.gov/pmc/articles/PMC11393437/pdf/","citationCount":"0","resultStr":null,"platform":"Semanticscholar","paperid":null,"PeriodicalName":"Clinics in Shoulder and Elbow","FirstCategoryId":"1085","ListUrlMain":"https://doi.org/10.5397/cise.2024.00248","RegionNum":0,"RegionCategory":null,"ArticlePicture":[],"TitleCN":null,"AbstractTextCN":null,"PMCID":null,"EPubDate":"2024/8/6 0:00:00","PubModel":"Epub","JCR":"Q2","JCRName":"ORTHOPEDICS","Score":null,"Total":0}
引用次数: 0

Abstract

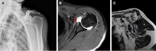
Background: Anterior combined latissimus dorsi and teres major (aLDTM) tendon transfer has shown promise as a treatment for anterior superior irreparable rotator cuff tears (ASIRCTs). Our study aimed to compare aLDTM clinical outcomes for ASIRCTs between young and elderly patients.

Methods: This retrospective study reviewed data from patients who underwent aLDTM tendon transfer for ASIRCTs with minimum 2-year follow-up. Clinical evaluations included visual analog scale (VAS), American Shoulder and Elbow Surgeons (ASES) score, Single Assessment Numeric Evaluation (SANE), active range of motion (aROM), strength, and complications. Radiologic assessments included acromiohumeral distance, Hamada classification, and integrity of transferred tendon. Patients were divided into group total (all ages), group old (≥70 years), and group young (≤60 years).

Results: A total of 123 patients were enrolled with 39 in group young (mean age, 56.6±4.9 years) and 27 in group old (mean age, 73.6±2.3 years). Postoperatively, both groups showed significant improvements in VAS, ASES, and SANE scores and improved aROM for forward elevation, abduction, and internal rotation. No significant differences in clinical coutcomes were noted between the groups. Furthermore, similar rates of complications, including retears and postoperative infections, were observed across all three groups.

Conclusions: Our study highlights the effectiveness of aLDTM transfer for ASIRCTs with minimal glenohumeral arthritis, demonstrating similar outcomes in both group young and group old patients. Moreover, patients in these distinct age groups showed comparable clinical results when compared to group total. Level of evidence: III.

Abstract Image

Abstract Image

Abstract Image

年轻和老年患者前方背阔肌和大圆肌腱联合转移治疗前上不可修复肩袖撕裂的临床疗效比较。
背景:前联合背阔肌和大圆肌腱(aLDTM)转移作为一种治疗前上不可修复肩袖撕裂(ASIRCTs)的方法,已显示出良好的前景。我们的研究旨在比较年轻患者和老年患者的 aLDTM 治疗 ASIRCT 的临床效果:这项回顾性研究回顾了因 ASIRCT 而接受 aLDTM 肌腱转移术的患者的数据。排除标准为无法进行评估:共有 123 例患者入组,其中年轻组 39 例(平均年龄为 56.6±4.9 岁),老年组 27 例(平均年龄为 73.6±2.3 岁)。术后,两组患者的 VAS、ASES 和 SANE 评分均有明显改善,前倾、外展和内旋的 aROM 均有改善。两组间无明显差异。两组之间的力量增量无明显差异。与所有组别相比,年轻组和年长组在 VAS、ASES 和 SANE 评分以及 aROM 和放射学评估方面的结果相当。此外,三组患者的并发症发生率相似,包括再次撕裂和术后感染:我们的研究强调了在盂肱关节炎程度较轻的 ASIRCT 中采用 aLDTM 转移术的有效性,在年轻组和年长组患者中均显示出相似的疗效。此外,与全组相比,这些不同年龄组患者的临床效果相当。证据等级:III.
本文章由计算机程序翻译,如有差异,请以英文原文为准。
求助全文
约1分钟内获得全文 求助全文
来源期刊
CiteScore
0.30
自引率
0.00%
发文量
55
审稿时长
15 weeks
×
引用
GB/T 7714-2015
复制
MLA
复制
APA
复制
导出至
BibTeX EndNote RefMan NoteFirst NoteExpress
×
提示
您的信息不完整,为了账户安全,请先补充。
现在去补充
×
提示
您因"违规操作"
具体请查看互助需知
我知道了
×
提示
确定
请完成安全验证×
copy
已复制链接
快去分享给好友吧!
我知道了
右上角分享
点击右上角分享
0
联系我们:info@booksci.cn Book学术提供免费学术资源搜索服务,方便国内外学者检索中英文文献。致力于提供最便捷和优质的服务体验。 Copyright © 2023 布克学术 All rights reserved.
京ICP备2023020795号-1
ghs 京公网安备 11010802042870号
Book学术文献互助
Book学术文献互助群
群 号:604180095
Book学术官方微信